












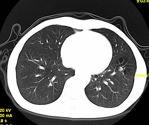
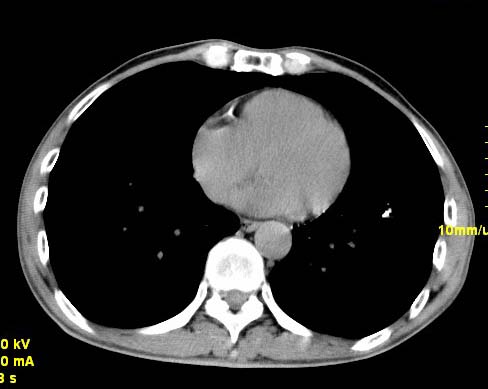
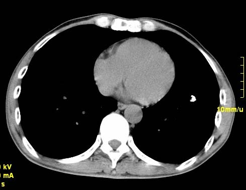
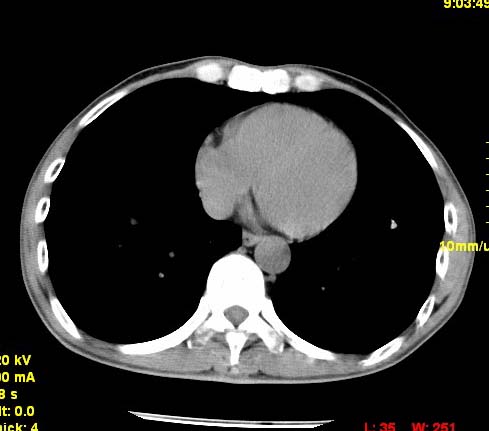
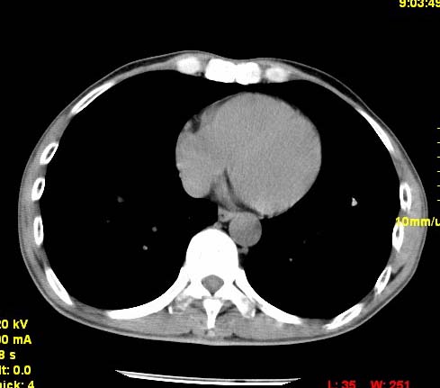
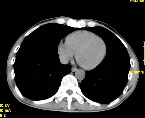
以下是引用wangzhengyuan在2007-11-11 23:31:00的发言:[br]钙化灶,看上去不像转移。

以下是引用wangzhengyuan在2007-11-11 23:31:00的发言:[br]钙化灶,看上去不像转移。
以下是引用zjzjr在2007-11-12 8:35:00的发言:[br]考虑错构瘤,建议定期复查.
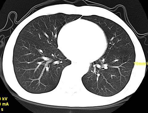
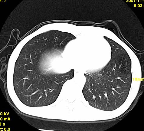
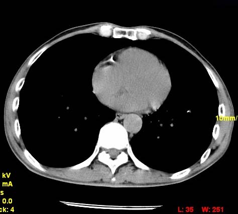
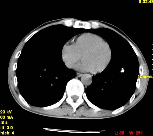
以下是引用卜一在2007-11-12 5:59:00的发言:[br]病灶本身不像转移,不知有没有以前的胸部ct片,若有,则可以对比以下,若是新出现病灶,应高度警惕“转移”的可能![br]
| 欢迎光临 医影在线 (http://bbs.radida.com/bbs/) | Powered by Discuz! X3.2 |