




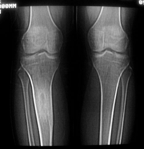
以下是引用卜一在2007-11-12 5:56:00的发言:[br]胫骨中上段骨内外膜增生,骨质硬化,部分骨皮质增厚,髓腔高度变窄,界限不清。多考虑:1 慢性低毒性感染。2 不除外骨纤维异常增殖症!
以下是引用卜一在2007-11-12 5:56:00的发言:[br]胫骨中上段骨内外膜增生,骨质硬化,部分骨皮质增厚,髓腔高度变窄,界限不清。多考虑:1 慢性低毒性感染。2 不除外骨纤维异常增殖症!
| 欢迎光临 医影在线 (http://bbs.radida.com/bbs/) | Powered by Discuz! X3.2 |