医影在线
标题: CT10401: 男,57,胆总管扩张,请大家会诊 [打印本页]
作者: yiyingren 时间: 2007-11-12 20:43
标题: CT10401: 男,57,胆总管扩张,请大家会诊
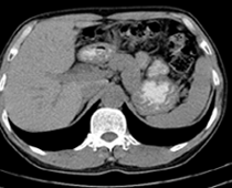
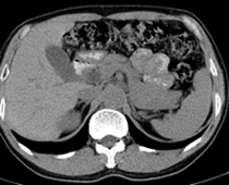
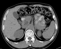
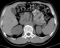
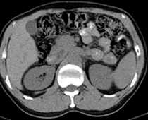
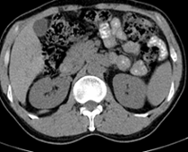
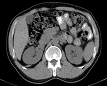
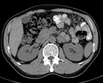
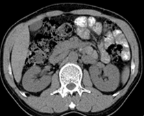
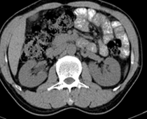
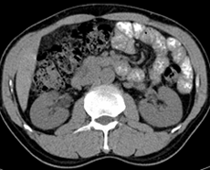
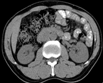
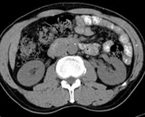
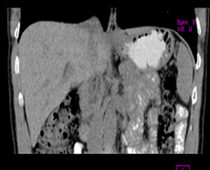
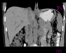
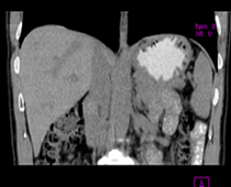
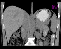
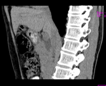
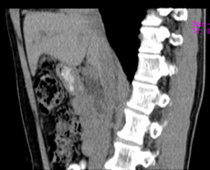
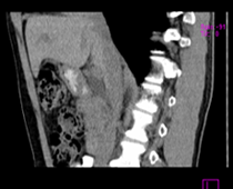
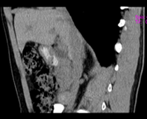
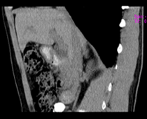
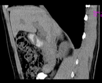
患者,男,57,常年不吃午饭,近一个月来腹部隐痛,无明显黄疸,明天进行增强扫描,图象另上传,麻烦各位帮忙一起看看讨论讨论







































[本贴已被 jiajie 于 2007-11-12 14:45:34 修改过]
作者: dyqct 时间: 2007-11-12 22:19
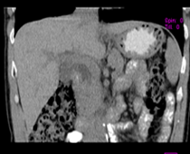
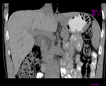
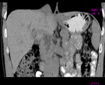
肝外胆管扩张,胰头增大,肠系膜上静脉似有包埋征象。
考虑:胰头占位性病变,建议增强进一步检查。
作者: 同 时间: 2007-11-12 22:31
肝外胆管扩张,胰头增大,占位性病变可能性大.
作者: wangdch2008 时间: 2007-11-12 23:32
肝内外胆管扩张,胆管未端阻塞,建议mri检查
作者: zjzjr 时间: 2007-11-12 23:52
考虑肝总管或胆总管占位性病变,建议mrcp或ercp.
作者: 卜一 时间: 2007-11-13 00:07
胰头占位可能性大!建议增强!
作者: ydx_74 时间: 2007-11-13 00:44
肝外胆管稍扩张,胰腺钩突略增大,但外形尚可,境界清楚。(常年不吃午饭)提示胰腺炎可能大,肿瘤第二步考虑。
作者: 余辉 时间: 2007-11-13 02:29
支持考胰头占位性病变,感觉十二指肠壁不规则增厚,不排除十二指肠降部占位可炎症
作者: 紫云陈剑 时间: 2007-11-13 03:29
胰头增大,考虑胰头占位性病变。
作者: 拾荒者 时间: 2007-11-13 03:37
有没有做过胃大部切除?
作者: xionwe 时间: 2007-11-13 03:40
胰头区占位
作者: 王仕学 时间: 2007-11-13 03:50
标题: 回复:ct10401: 男,57,胆总管扩张,请大家会诊
以下是引用dyqct在2007-11-12 14:19:00的发言:[br]肝外胆管扩张,胰头增大,肠系膜上静脉似有包埋征象。[br]考虑:胰头占位性病变,建议增强进一步检查。
作者: xulianj 时间: 2007-11-13 04:22
肝外胆管扩张,胆管未端阻塞?建议mri检查或mrcp或ercp检察院查.
作者: yiyingren 时间: 2007-11-13 04:44
标题: 回复:ct10401: 男,57,胆总管扩张,请大家会诊
没有做过胃大部手术
作者: zxczxc 时间: 2007-11-13 05:25
胰头占位性病变?
作者: 吴勇建 时间: 2007-11-13 06:15
胰头增大,胆总管增宽,考虑胰头癌可能性大,明天看增强片有助诊断.
作者: gdxiaozhe 时间: 2007-11-13 06:16
胰头占位可能性大!建议增强!
作者: zyyzzy 时间: 2007-11-13 07:08
肝内外胆管扩张,胆管未端阻塞,建议mri检查
作者: 宝天曼 时间: 2007-11-13 15:11
肝外胆管扩张,胰头增大,占位性病变可能性大.
作者: zyx168 时间: 2007-11-13 19:18
支持胰头占位性病变
作者: doc张 时间: 2007-11-14 17:43
单纯性胆总管扩张,下端梗阻.
作者: jinguoji 时间: 2007-11-25 06:12
肝外胆管扩张,胰头增大,肠系膜上静脉似有包埋征象。
考虑:胰头占位性病变,建议增强进一步检查。
| 欢迎光临 医影在线 (http://bbs.radida.com/bbs/) |
Powered by Discuz! X3.2 |