医影在线
标题: CT10417:F36Y,跟骨跟腱附着处下方骨质密度影,请会诊. [打印本页]
作者: qiuleiyu 时间: 2007-11-14 01:19
标题: CT10417:F36Y,跟骨跟腱附着处下方骨质密度影,请会诊.
(结果公布:http://www.radida.com/bbs/forum.php?mod=viewthread&tid=32296)
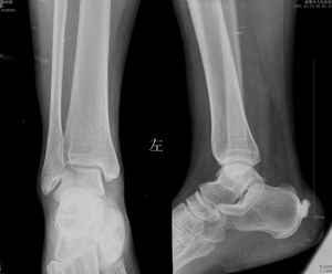
跟骨结节后部肿块半年,无明确外伤史,及红肿热痛.










[本贴已被 jiajie 于 2007-12-7 19:30:49 修改过]
作者: 柳絮 时间: 2007-11-14 01:36
骨软骨瘤
作者: elity69 时间: 2007-11-14 02:04
骨软骨瘤?
骨化性肌炎症?
作者: happyverycd 时间: 2007-11-14 02:30
标题: 回复
附丽病
附丽病:是指肌腱、关节囊、韧带于骨附着处的骨化和骨质侵蚀改变,常见于坐骨结节、髂骨嵴、坐骨耻骨支、股骨大小粗隆、跟骨结节等处。
x线表现为具有骨密度的细条索状影自骨面伸向附近的韧带、肌腱,宛如浓厚的胡须,以病变晚期更为明显,并有局部骨质侵蚀。
[本贴已被 happyverycd 于 2007-11-14 19:17:59 修改过]
作者: gaoshengjiang 时间: 2007-11-14 02:43
跟腱附着处骨化致骨化性肌炎。
作者: 卜一 时间: 2007-11-14 02:48
跟腱附着处骨化致骨化性肌炎。
支持!
作者: 风云01 时间: 2007-11-14 02:58
跟腱附着处骨化致骨化性肌炎
作者: 我想了解 时间: 2007-11-14 03:42
支持骨化性肌炎.
作者: 宝天曼 时间: 2007-11-14 04:31
跟腱附着处骨化致骨化性肌炎
作者: 小初学者 时间: 2007-11-14 16:02
跟骨骨刺
作者: dyqct 时间: 2007-11-14 17:03
支持跟腱附着处骨化性肌炎。
作者: muzi888 时间: 2007-11-14 18:17
骨化性肌炎!
作者: fskwqh 时间: 2007-11-14 19:04
肌腱钙化.
作者: 龙在野 时间: 2007-11-14 19:10
骨化性肌炎
作者: zjzjr 时间: 2007-11-14 19:15
支持骨化性肌炎或韧带钙化.
作者: wangdch2008 时间: 2007-11-14 22:42
肌腱骨化
作者: zyyzzy 时间: 2007-11-14 22:48
跟骨骨刺
作者: 拾荒者 时间: 2007-11-15 02:37
支持跟腱附着处骨化性肌炎。
作者: gjj6818 时间: 2007-11-15 04:10
跟腱附着处骨化致骨化性肌炎
作者: 李文星 时间: 2007-11-15 06:12
附丽病
附丽病:是指肌腱、关节囊、韧带于骨附着处的骨化和骨质侵蚀改变,常见于坐骨结节、髂骨嵴、坐骨耻骨支、股骨大小粗隆、跟骨结节等处。
x线表现为具有骨密度的细条索状影自骨面伸向附近的韧带、肌腱,宛如浓厚的胡须,以病变晚期更为明显,并有局部骨质侵蚀。
作者: jinguoji 时间: 2007-11-25 03:18
支持跟腱附着处骨化性肌炎。
作者: wqs571018 时间: 2007-11-25 03:39
支持:跟腱附着处骨化致骨化性肌炎。
作者: ZHANGZHONGSHOU 时间: 2007-12-8 06:04
如果是骨瘤,也应该是骨旁骨瘤。发生部位不支持骨瘤,骨肿瘤提倡临床、放射、病理三结合诊断。
| 欢迎光临 医影在线 (http://bbs.radida.com/bbs/) |
Powered by Discuz! X3.2 |