医影在线
标题: CT10470:M 73Y,颅内占位,请会诊:定位?定性? [打印本页]
作者: 蚂蚁 时间: 2007-11-18 01:57
标题: CT10470:M 73Y,颅内占位,请会诊:定位?定性?
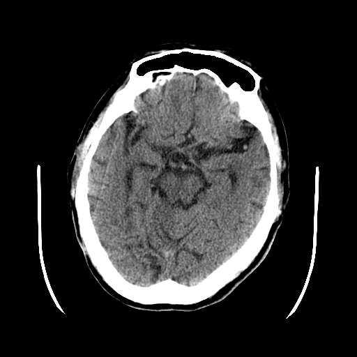
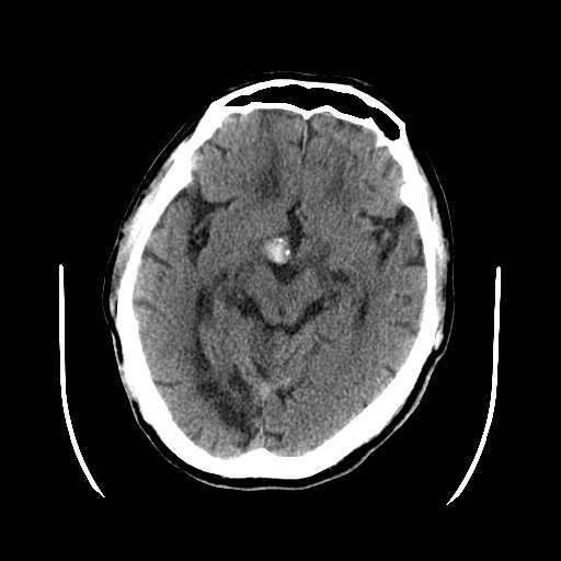
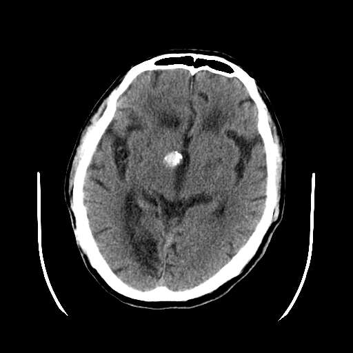
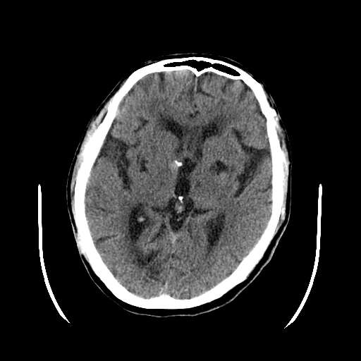
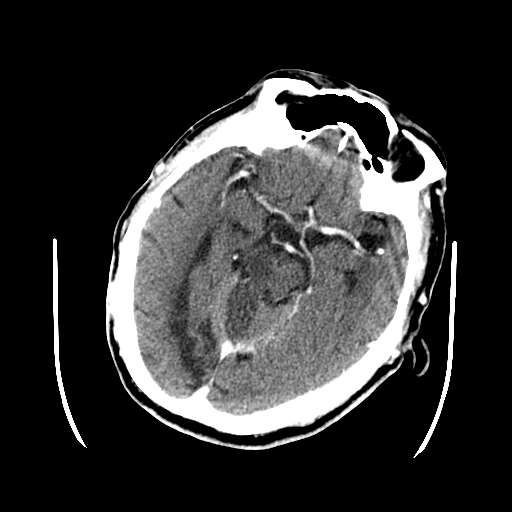
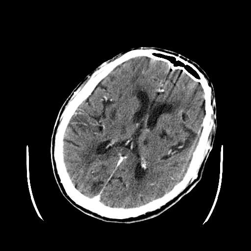
m 73
呕吐,意识障碍1小时,伴左侧偏瘫,自诉曾有过左眼视力下降。
病灶区ct值约75hu









[本贴已被 jiajie 于 2007-11-17 18:58:56 修改过]
作者: zsl6918 时间: 2007-11-18 02:13
多发性脑梗塞肯定存在,请问版主,病灶是否有强化?定位应在脑外病变,脑膜瘤?动脉瘤?
作者: dingn 时间: 2007-11-18 02:38
标题: 回复:颅内占位,请会诊:定位?定性?

作者: 风云01 时间: 2007-11-18 02:55
皮脑应该可以诊断,不知道增强病灶有没有强化(ct值),从片上看好像有轻度强化,定位像是脑外的,圆形高密度,内部有点状更高密度考虑为点状钙化,首先考虑为脑膜瘤.鉴别诊断:胶质瘤,垂体瘤,听神经瘤等.
作者: zyyzzy 时间: 2007-11-18 03:30
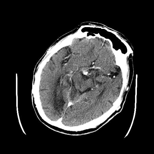
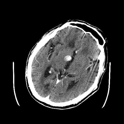
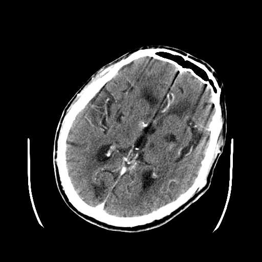
这次病变主要是是因为脑干及小脑的梗塞,另外原有多发脑梗塞。右侧鞍上池及颞叶区可见一大部钙化的病灶,强化后略有增大,并见一条血管进入,考虑血管瘤。不排除脑膜瘤可能!~!
作者: yanghaochen88 时间: 2007-11-18 03:50
无占位,无水肿带,大部分钙化,av畸形?增强的图片都不尽量在同层面,难比较强化,如果有强化迹象肯定是av畸形!
作者: dyqct 时间: 2007-11-18 03:57
考虑:1、中脑右侧、右侧小脑半球、双侧丘脑缺血性脑梗塞;
2、右侧后交通动脉动脉瘤;
3、双侧基底节区腔隙性脑软化灶;
4、脑白质稀疏症。
作者: 王仕学 时间: 2007-11-18 03:58
标题: 回复:ct10470:m 73y,颅内占位,请会诊:定位?定性?
以下是引用zyyzzy在2007-11-17 19:30:00的发言:[br]这次病变主要是是因为脑干及小脑的梗塞,另外原有多发脑梗塞。右侧鞍上池及颞叶区可见一大部钙化的病灶,强化后略有增大,并见一条血管进入,考虑血管瘤。不排除脑膜瘤可能!~!
作者: zjzjr 时间: 2007-11-18 04:10
考虑:1、中脑右侧、右侧小脑半球缺血性脑梗塞;
2、右侧后交通动脉动脉瘤;
3、双侧基底节区\\双侧丘脑腔隙性脑软化灶;
4、脑白质稀疏症。
作者: shaohz 时间: 2007-11-18 04:16
多发梗塞,脑膜瘤,不排除动脉瘤
作者: 卜一 时间: 2007-11-18 04:52
以下是引用zyyzzy在2007-11-17 19:30:00的发言:
这次病变主要是是因为脑干及小脑的梗塞,另外原有多发脑梗塞。右侧鞍上池及颞叶区可见一大部钙化的病灶,强化后略有增大,并见一条血管进入,考虑血管瘤。不排除脑膜瘤可能!~!
支持!
作者: xulianj 时间: 2007-11-18 05:26
多发梗塞,脑膜瘤,不排除动脉瘤
作者: 随缘的人 时间: 2007-11-18 05:38
考虑:1、中脑右侧、右侧小脑半球缺血性脑梗塞;
2、右侧后交通动脉动脉瘤;
3、双侧基底节区\\双侧丘脑腔隙性脑软化灶;
4、脑白质稀疏症。
作者: liuyue 时间: 2007-11-18 05:47
考虑:1、中脑右侧、右侧小脑半球缺血性脑梗塞;
2、右侧后交通动脉动脉瘤;
3、双侧基底节区\\双侧丘脑腔隙性脑软化灶;
作者: lirenxiong 时间: 2007-11-18 06:44
无占位,无水肿带,大部分钙化,av畸形?或钙化灶?多发腔梗
作者: 宝天曼 时间: 2007-11-18 06:49
这次病变主要是是因为脑干及小脑的梗塞,另外原有多发脑梗塞。右侧鞍上池及颞叶区可见一大部钙化的病灶,强化后略有增大,并见一条血管进入,考虑血管瘤。不排除脑膜瘤可能!~!
作者: wangzhengyuan 时间: 2007-11-18 08:10
考虑:1、中脑右侧、右侧小脑半球缺血性脑梗塞;
2、右侧后交通动脉动脉瘤;
3、双侧基底节区\\双侧丘脑腔隙性脑软化灶;
4、脑白质稀疏症。
作者: 天山影士 时间: 2007-11-18 08:16
考虑:颅底脑膜瘤。双侧基底节区脑腔隙性脑软化灶。脑萎缩。脑白质变性。
作者: 拾荒者 时间: 2007-11-19 04:05
以下是引用zyyzzy在2007-11-17 19:30:00的发言:
这次病变主要是是因为脑干及小脑的梗塞,另外原有多发脑梗塞。右侧鞍上池及颞叶区可见一大部钙化的病灶,强化后略有增大,并见一条血管进入,考虑血管瘤。不排除脑膜瘤可能!~!
支持!
作者: 甲子114 时间: 2007-11-19 07:27
考虑血管瘤。不排除脑膜瘤及单纯钙化可能!
作者: jinguoji 时间: 2007-11-24 06:15
考虑:1、中脑右侧、右侧小脑半球缺血性脑梗塞;
2、右侧后交通动脉动脉瘤;
3、双侧基底节区\\双侧丘脑腔隙性脑软化灶;
4、脑白质稀疏症。
作者: 蚂蚁 时间: 2007-11-27 01:45
此患者10天后又行ct平扫,病灶内部密度下降,整理后发布于:
http://www.radida.com/radinet/read.php?tid=31856
作者: wqs571018 时间: 2007-11-27 02:58
支持:1、中脑右侧、右侧小脑半球缺血性脑梗塞;
2、右侧后交通动脉动脉瘤;
3、双侧基底节区\\双侧丘脑腔隙性脑软化灶;
作者: 同 时间: 2007-11-27 03:12
标题: 回复:ct10470:m 73y,颅内占位,请会诊:定位?定性?
以下是引用zjzjr在2007-11-17 20:10:00的发言:[br]考虑:1、中脑右侧、右侧小脑半球缺血性脑梗塞;[br] 2、右侧后交通动脉动脉瘤;[br] 3、双侧基底节区\\双侧丘脑腔隙性脑软化灶;[br] 4、脑白质稀疏症。
作者: 大漠情怀 时间: 2007-11-27 07:19
支持7楼
作者: qc80012345 时间: 2007-11-27 07:55
考虑:1、中脑右侧、右侧小脑半球缺血性脑梗塞;
2、右侧后交通动脉动脉瘤;
3、双侧基底节区\\双侧丘脑腔隙性脑软化灶;
4、脑白质稀疏症
作者: dr.yang 时间: 2011-4-6 12:45
这次病变主要是是因为脑干及小脑的梗塞,另外原有多发脑梗塞。右侧鞍上池及颞叶区可见一大部钙化的病灶,强化后略有增大,并见一条血管进入,考虑血管瘤。不排除脑膜瘤可能!~!
支持!
| 欢迎光临 医影在线 (http://bbs.radida.com/bbs/) |
Powered by Discuz! X3.2 |