医影在线

标题: CT10479:请各位老师帮我分析,分析! [打印本页]

作者: 尔玛X线    时间: 2007-11-18 17:32
标题: CT10479:请各位老师帮我分析,分析!
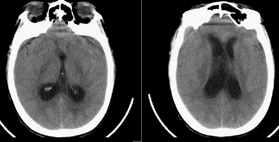
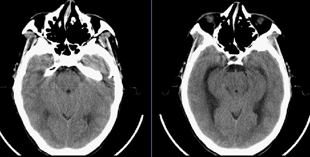
患者,女,32岁,因胆囊结石入院,手术非常成功,准备出院,突然却昏迷不醒,ct检查发现。。。。。







[本贴已被 翁志蓬 于 2007-11-18 22:02:44 修改过]

作者: 178915175    时间: 2007-11-18 17:55
建议mri,是否有脂栓形成?
作者: jiangjing    时间: 2007-11-18 19:07
脑积水,脑肿胀。不知小脑及脑干如何,请上传
作者: ydx_74    时间: 2007-11-18 21:14
弥漫性脑梗塞致脑水肿、脑积水。(桥中脑多发低密度区)
作者: wqs571018    时间: 2007-11-19 04:09
脑积水,脑水肿。原因:感染?
作者: ldsh1975    时间: 2007-11-19 04:54
尽快做mri
作者: qc80012345    时间: 2007-11-19 05:17
脑水肿;梗阻性脑积水。
作者: wangdch2008    时间: 2007-11-19 06:07
脑积水,脑水肿
作者: 尔玛X线    时间: 2007-11-19 07:04
临床上考虑的结核性脑膜炎,现在正在查脑脊液。
作者: 袁张锋    时间: 2007-11-19 07:11
脑栓塞,建议急查mr.
作者: 拾荒者    时间: 2007-11-20 05:39
发病突然,考虑脑梗塞可能。
作者: shaohz    时间: 2007-11-20 05:47
脑积水,脑梗塞
作者: zyyzzy    时间: 2007-11-20 07:42
脑积水,脑水肿。原因:感染?
作者: jinguoji    时间: 2007-11-21 18:30
脑积水,脑梗塞
作者: dr.yang    时间: 2011-4-6 12:50
发病突然,考虑脑梗塞可能。




欢迎光临 医影在线 (http://bbs.radida.com/bbs/) Powered by Discuz! X3.2