医影在线
标题: CT10510:男.18岁,咳嗽咳痰两月.(有病理) [打印本页]
作者: dzctdcq 时间: 2007-11-19 22:27
标题: CT10510:男.18岁,咳嗽咳痰两月.(有病理)





























[本贴已被 dzctdcq 于 2007-11-19 14:30:44 修改过]
[本贴已被 jiajie 于 2007-11-19 15:54:09 修改过]
作者: 齐原 时间: 2007-11-19 22:44
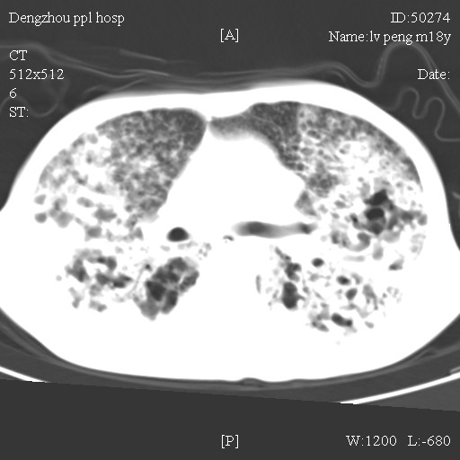
支气管囊肿伴感染,肺大泡,双下肺炎症
作者: 卜一 时间: 2007-11-20 00:36
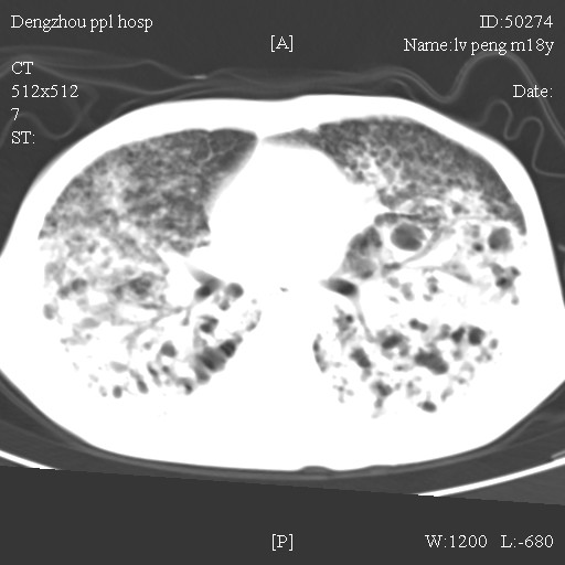
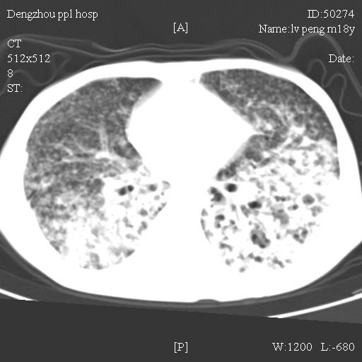
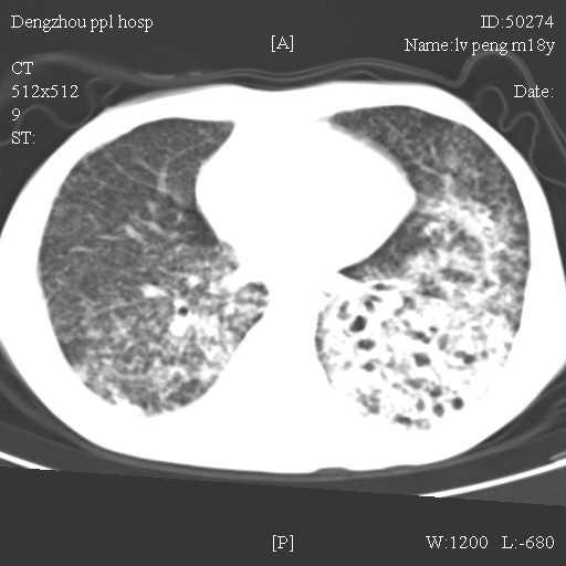
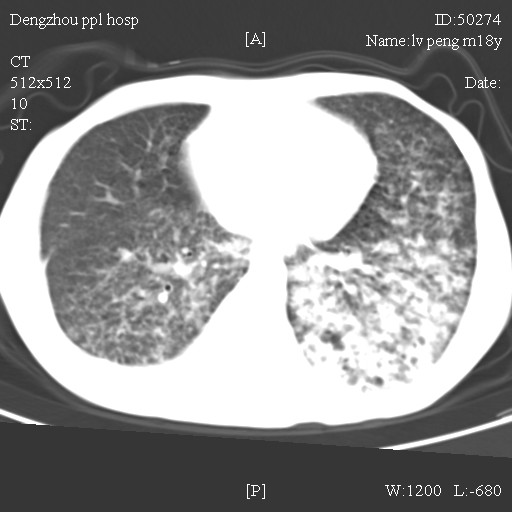
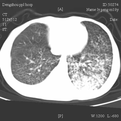
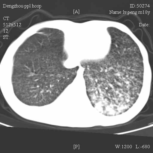
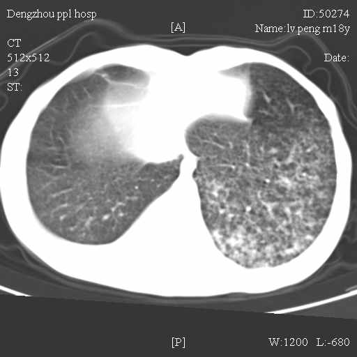
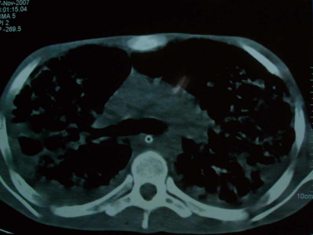
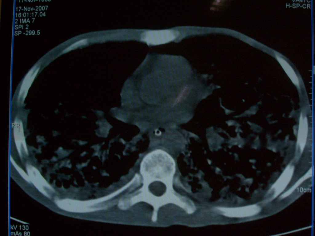
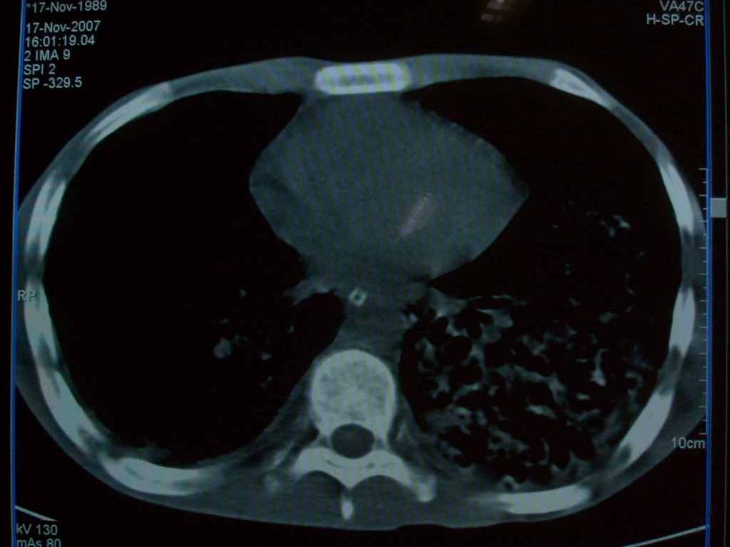
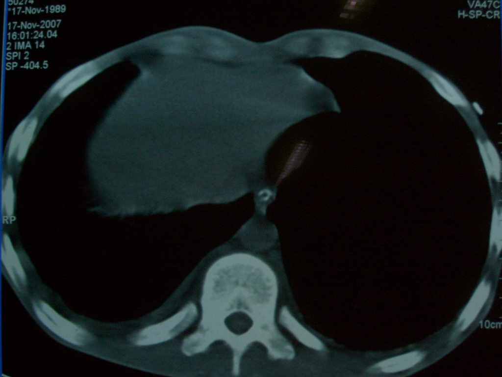
双肺布满大片状实变及网格状结节影,内参杂大小不等的
作者: 卜一 时间: 2007-11-20 00:44
双肺布满大片状实变及网格状结节影,内参杂大小不等的气囊及空气支气管征,心脏增大。考虑:1 全身结缔组织疾病—系统性红斑狼仓?2 肺泡蛋白沉积症合并感染!
作者: wy232326 时间: 2007-11-20 01:31
提供病史资料
作者: 平安是福 时间: 2007-11-20 01:51
期待病理结果
作者: 晨风 时间: 2007-11-20 02:01
支持支气管囊肿伴感染,18岁,是学生吗?
作者: 小初学者 时间: 2007-11-20 02:53
肺间质纤维化------原因待查
作者: shiqingfa 时间: 2007-11-20 02:58
双肺布满大片状实变及网格状结节影,内参杂大小不等的气囊及空气支气管征,心脏增大。考虑:1 全身结缔组织疾病—系统性红斑狼仓?2 肺泡蛋白沉积症合并感染!
支持
作者: 37度 时间: 2007-11-20 03:12
特发肺间质纤维化
作者: 一个人 时间: 2007-11-20 04:11
特发肺间质纤维化
作者: 半生不熟 时间: 2007-11-20 04:11
亚急性血型肺结核并广泛空洞形成。
作者: 宝天曼 时间: 2007-11-20 04:27
特发肺间质纤维化
作者: gaoshengjiang 时间: 2007-11-20 04:37
双肺布满大片状实变及网格状结节影,内参杂大小不等的气囊及空气支气管征,心脏增大。考虑:1 全身结缔组织疾病—系统性红斑狼仓?2 肺泡蛋白沉积症合并感染!
支持!另外也可能伴有咳血所致。
作者: wangjj555 时间: 2007-11-20 04:41
期待结果
作者: 风云01 时间: 2007-11-20 04:43
标题: 回复:ct10510:男.18岁,咳嗽咳痰两月.(有病理)
以下是引用卜一在2007-11-19 16:44:00的发言:[br][br] [br] 双肺布满大片状实变及网格状结节影,内参杂大小不等的气囊及空气支气管征,心脏增大。考虑:1 全身结缔组织疾病—系统性红斑狼仓?2 肺泡蛋白沉积症合并感染![br] [br]
作者: ydx_74 时间: 2007-11-20 04:45
特发肺间质纤维化
作者: 02707626 时间: 2007-11-20 05:08
qidaiqidai
作者: 汪涛同志 时间: 2007-11-20 05:08
标题: 回复:ct10510:男.18岁,咳嗽咳痰两月.(有病理)
以下是引用半生不熟在2007-11-19 20:11:00的发言:[br]亚急性血型肺结核并广泛空洞形成。
支持!
作者: zhx119 时间: 2007-11-20 05:14
希望楼主补充下相关病史~~~~~~
作者: xulianj 时间: 2007-11-20 05:34
支持支气管囊肿伴感染;另双侧胸腔积液。
作者: 幽谷流泉 时间: 2007-11-20 05:41
纤维空洞性肺结核。
作者: zsl6918 时间: 2007-11-20 06:14
机遇性感染,估计该病人已死亡了。
作者: zjzjr 时间: 2007-11-20 16:50
双肺继发型肺结核伴空洞形成.
作者: 霸男 时间: 2007-11-20 20:16
结核合并感染,空洞形成
作者: 霸男 时间: 2007-11-20 20:21
结核合并感染,空洞形成
作者: 孙富海 时间: 2007-11-20 20:27
两上肺结核伴左下肺播散。
作者: 霸男 时间: 2007-11-20 20:36
结核合并感染,空洞形成
作者: doc张 时间: 2007-11-20 20:50
标题: 回复:ct10510:男.18岁,咳嗽咳痰两月.(有病理)
以下是引用齐原在2007-11-19 14:44:00的发言:[br]支气管囊肿伴感染,肺大泡,双下肺炎症
作者: jiangjing 时间: 2007-11-20 21:03
考虑 特殊感染可能性大。不完全除肺囊肿伴感染
作者: 拾荒者 时间: 2007-11-21 03:45
双肺布满大片状实变及网格状结节影,内参杂大小不等的气囊及空气支气管征,双侧胸膜腔少量积液,双下肺近膈面透亮度尚可,病人较年轻,病变较重(不知为什么上胃管?)考虑:1.胶原病肺部改变,2.组织细胞病x。结合实验室检查。
作者: wxy7406 时间: 2007-11-21 05:09
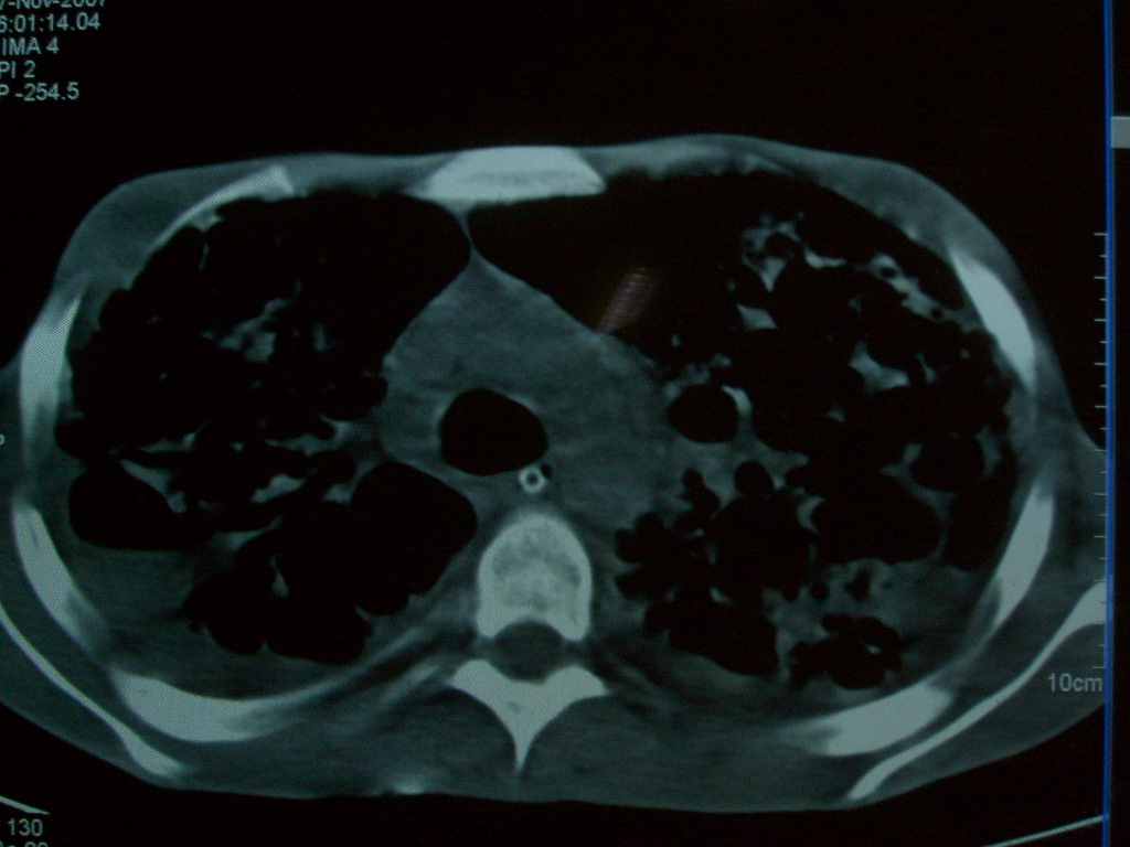
首先考虑组织细胞x病。两肺中上肺野多发囊腔,中下肺野内见多发小结节,并可见肺间质增厚。患者是男性,年龄较小。胶原性病变比较多见的类风湿、系统性红斑狼疮和硬皮病临床和影像均不是很支持,类风湿和系统性红斑狼疮的肺部表现最常见的是胸腔积液,硬皮病可见食管的扩张。
作者: jinguoji 时间: 2007-11-21 17:37
标题: 回复:ct10510:男.18岁,咳嗽咳痰两月.(有病理)
以下是引用jiangjing在2007-11-20 13:03:00的发言:[br]考虑 特殊感染可能性大。不完全除肺囊肿伴感染
作者: 02707626 时间: 2007-11-26 05:40
qidai jieguo
作者: 0763yyh 时间: 2007-11-26 06:02
肺内多发斑片状、结节状、融合大片状及网格状影,多发薄壁空腔影,胸膜肥厚,纵隔、气管右移,考虑ⅲ型肺结核,多发空洞,继发肺间质纤维化。
作者: dzctdcq 时间: 2007-12-8 18:37
双肺结核并播散.患者以肠梗阻入院,手术为肠结核.术后咳嗽做ct检查.
作者: sunxb1010 时间: 2007-12-9 18:58
肺泡蛋白沉积症
| 欢迎光临 医影在线 (http://bbs.radida.com/bbs/) |
Powered by Discuz! X3.2 |