医影在线

标题: CT10521:男。32岁,副鼻窦ct,请会诊。 [打印本页]

作者: wlq66556    时间: 2007-11-20 21:01
标题: CT10521:男。32岁,副鼻窦ct,请会诊。
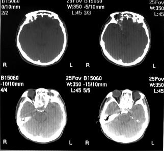
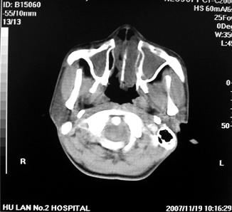
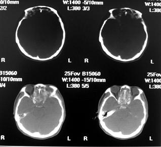
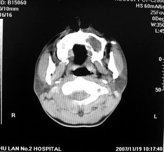
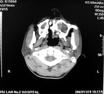
男。32岁,鼻塞,流涕一年余。



















[本贴已被 jiajie 于 2007-11-20 18:35:54 修改过]

作者: 王仕学    时间: 2007-11-20 21:07
考虑鼻腔内翻性乳头状瘤,筛窦、上颌窦炎症。建议进一步检查。
作者: doc张    时间: 2007-11-20 21:11
炎性病变.息肉阻塞副鼻窦口导致窦腔内潴留.
作者: 晨风    时间: 2007-11-20 21:17
鼻窦炎伴息肉形成。
作者: liangshusheng    时间: 2007-11-20 21:35
息肉伴鼻窦炎。
作者: 天南地北    时间: 2007-11-20 21:56
好奇怪的 定位相
这是我第一见的
考虑慢性副鼻窦炎合并双侧鼻腔息肉
作者: guoke    时间: 2007-11-20 22:32
同意鼻息肉伴双侧付鼻窦炎
作者: 卜一    时间: 2007-11-20 22:38
软组织密度影填满上颌蚪 筛窦及鼻腔,并导致筛骨 上颌窦内侧壁明显骨质破坏。多考虑:内翻性乳头状瘤!
作者: guanaishengming    时间: 2007-11-20 23:04
考虑慢性鼻窦炎伴息肉形成
作者: zjzjr    时间: 2007-11-20 23:19
鼻窦炎伴息肉形成。
作者: jiangjing    时间: 2007-11-20 23:45
支持 鼻窦炎、鼻息肉
作者: yangzongshan    时间: 2007-11-21 01:19
鼻窦炎伴息肉形成可能,上颌窦内侧壁明显骨质破坏并无挤压,膨胀改变,多不考虑内翻性乳头状瘤.
作者: ymnn    时间: 2007-11-21 02:07
鼻窦炎伴息肉形成。
作者: 余辉    时间: 2007-11-21 03:59
骨板增生增厚,支持考虑炎症伴息肉,不排除肉翻乳头状瘤
作者: zhx119    时间: 2007-11-21 04:18
炎性息肉~
作者: 拾荒者    时间: 2007-11-21 05:02
双侧鼻腔内低密度软组织影,骨壁无明显破坏,鼻腔无扩大,双侧上颌窦、筛窦软组织影,窦壁增厚,结合临床考虑鼻息肉合并慢性上颌窦炎。
作者: xulianj    时间: 2007-11-21 05:46
考虑慢性副鼻窦炎合并双侧鼻腔息肉或乳头状瘤!
作者: 宝天曼    时间: 2007-11-21 14:51
炎性病变.息肉阻塞副鼻窦口导致窦腔内潴留.
作者: jinguoji    时间: 2007-11-21 17:52
考虑慢性副鼻窦炎合并双侧鼻腔息肉




欢迎光临 医影在线 (http://bbs.radida.com/bbs/) Powered by Discuz! X3.2