医影在线
标题: CT10522:男,54岁,十天前被钢管打伤头顶部,请会诊 [打印本页]
作者: mty 时间: 2007-11-20 22:01
标题: CT10522:男,54岁,十天前被钢管打伤头顶部,请会诊
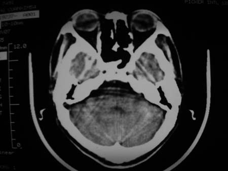
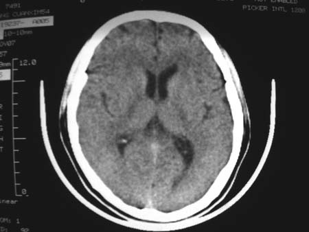
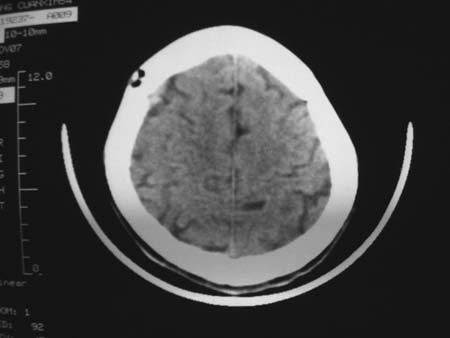
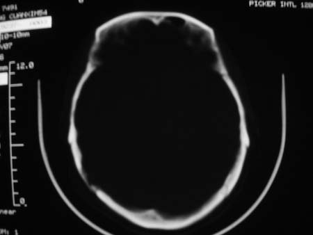
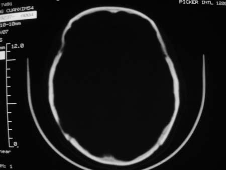
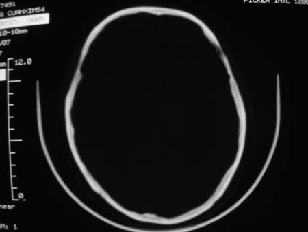
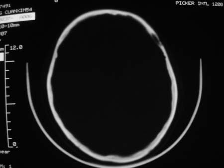
男,54岁,十天前被钢管打伤头顶部,现自述头部不适,视物模糊,并于两天前发觉右枕部有包块,既往未有明显异常.




















[本贴已被 jiajie 于 2007-11-20 18:36:57 修改过]
作者: mty 时间: 2007-11-20 22:04
病人做碘过敏试验时感心慌,咳嗽,所以没有增强.
作者: 卜一 时间: 2007-11-20 22:29
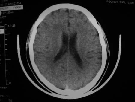
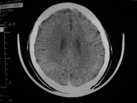
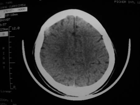
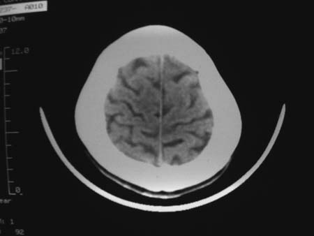
颅骨多处骨质不完整,内板变薄,右侧额颞部局部呈“穿凿样”骨质缺损,相应区硬膜外密度略增高。多考虑:骨嗜酸性肉芽肿!
作者: guanaishengming 时间: 2007-11-20 23:03
不好说,建议查一下本周氏蛋白再说吧
作者: zjzjr 时间: 2007-11-20 23:23
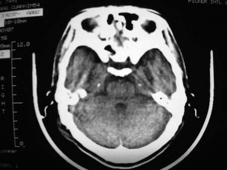
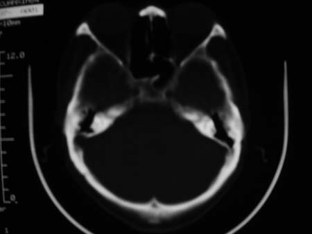
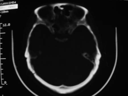
右枕骨及双额角均有类似改变,考虑骨髓瘤可能性大,建议查本周氏蛋白.
作者: jiangjing 时间: 2007-11-20 23:41
颅骨多处骨质不完整,内板变薄,右侧额颞部局部呈“穿凿样”骨质缺损,相应区硬膜外密度略增高。多考虑:骨髓瘤或骨嗜酸性肉芽肿!
作者: 光线 时间: 2007-11-21 00:28
同意以上意见。
作者: 老爱克斯 时间: 2007-11-21 02:16
标题: 回复:请会诊
颅骨多处骨质不完整,内板变薄,右侧额颞部局部呈“穿凿样”骨质缺损,缺损骨质边缘锐利无硬化,相应区硬膜外密度略增高。多考虑:骨嗜酸性肉芽肿!
作者: 余辉 时间: 2007-11-21 02:30
标题: 回复:请会诊
以下是引用jiangjing在2007-11-20 15:41:00的发言:[br]颅骨多处骨质不完整,内板变薄,右侧额颞部局部呈“穿凿样”骨质缺损,相应区硬膜外密度略增高。多考虑:骨髓瘤或骨嗜酸性肉芽肿!
作者: 胡志兴 时间: 2007-11-21 03:51
标题: 回复:ct10522:男,54岁,十天前被钢管打伤头顶部,请会诊
以下是引用余辉在2007-11-20 18:30:00的发言:[br][quote]以下是引用jiangjing在2007-11-20 15:41:00的发言:[br]颅骨多处骨质不完整,内板变薄,右侧额颞部局部呈“穿凿样”骨质缺损,相应区硬膜外密度略增高。多考虑:骨髓瘤或骨嗜酸性肉芽肿!
[br][/quote]
作者: 求知若渴 时间: 2007-11-21 04:40
颅骨多处骨质不完整,内板变薄,右侧额颞部局部呈“穿凿样”骨质缺损,相应区硬膜外密度略增高。多考虑:骨髓瘤或骨嗜酸性肉芽肿!10天前受伤,不会在2天前才发现头部包块,估计与外伤无关.
作者: 拾荒者 时间: 2007-11-21 05:16
颅骨多处骨质不完整,内板变薄,右侧额颞部局部呈“穿凿样”骨质缺损,缺损骨质边缘锐利无硬化,相应区硬膜外密度略增高。多考虑:骨嗜酸性肉芽肿!
作者: shaohz 时间: 2007-11-21 05:22
颅骨嗜酸性肉芽肿
作者: xulianj 时间: 2007-11-21 06:07
考虑:骨髓瘤或骨嗜酸性肉芽肿。
作者: 宝天曼 时间: 2007-11-21 14:50
颅骨多处骨质不完整,内板变薄,右侧额颞部局部呈“穿凿样”骨质缺损,缺损骨质边缘锐利无硬化,相应区硬膜外密度略增高。多考虑:骨嗜酸性肉芽肿!
作者: jinguoji 时间: 2007-11-21 17:50
颅骨多处骨质不完整,内板变薄,右侧额颞部局部呈“穿凿样”骨质缺损,相应区硬膜外密度略增高。多考虑:骨髓瘤或骨嗜酸性肉芽肿!
作者: doc张 时间: 2007-11-21 17:55
骨嗜酸性肉芽肿密度可以这么高么?能不能是脑膜瘤.
| 欢迎光临 医影在线 (http://bbs.radida.com/bbs/) |
Powered by Discuz! X3.2 |