医影在线
标题: CT10546:急!!!诉下腹疼痛 [打印本页]
作者: 紫云陈剑 时间: 2007-11-22 06:19
标题: CT10546:急!!!诉下腹疼痛
(结果公布:http://www.radida.com/bbs/forum.php?mod=viewthread&tid=32480)
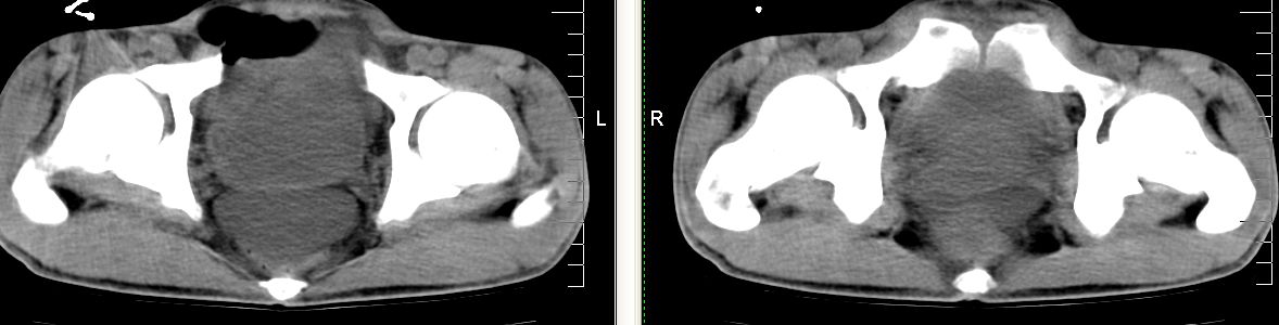
m 29 肺tb患者,目前诉下腹疼痛 t39度 腹韧,有压痛,可触及3x4cm包块















[本贴已被 jiajie 于 2007-12-12 15:09:14 修改过]
作者: 天南地北 时间: 2007-11-22 06:32
脾脏多发类圆形低密度影,建议增强扫描。
作者: 紫云陈剑 时间: 2007-11-22 06:46
腹膜后及左下腹肠道间是什么??占位还是肿大淋巴结。
作者: zyyzzy 时间: 2007-11-22 06:50
脾脏多发类圆形低密度影并腹水,建议增强扫描。
作者: shilong 时间: 2007-11-22 11:44
应该进行增强,我觉得诊断本病应从淋巴结增强的表象,结合临床
作者: 小初学者 时间: 2007-11-22 15:37
结合有肺结核病史,一元论考虑肠系膜淋巴结及脾脏结核。
作者: doc张 时间: 2007-11-22 16:08
结腹及肝脾结核.
作者: gaoshengjiang 时间: 2007-11-22 17:06
脾脏多发低密度灶,肠系膜及腹膜后见多发大小不等结节状影,右结肠旁沟见低密度影,结合病史考虑:脾结核,肠系膜及腹膜后淋巴结结核,少量腹水。
作者: 狙击手 时间: 2007-11-22 17:29
脾脏多发低密度灶,肠系膜及腹膜后见多发大小不等结节状影,右结肠旁沟见低密度影,结合病史考虑:脾结核,肠系膜及腹膜后淋巴结结核,少量腹水。支持。
作者: psh 时间: 2007-11-22 18:05
支持一元论,结核可能,但不除外肿瘤并转移。
作者: 刘明 时间: 2007-11-22 18:08
脾脏多发低密度灶,肠系膜及腹膜后见多发大小不等结节状影,右结肠旁沟见低密度影,结合病史考虑:脾结核,肠系膜及腹膜后淋巴结结核,少量腹水。
作者: LIAOQIANG 时间: 2007-11-22 18:20
结合病史考虑:脾结核,肠系膜及腹膜后淋巴结结核,少量腹水。支持。
作者: 风云01 时间: 2007-11-22 18:32
脾脏多发低密度灶,肠系膜及腹膜后见多发大小不等结节状影,右结肠旁沟见低密度影,结合病史考虑:脾结核,肠系膜及腹膜后淋巴结结核,少量腹水。支持。
作者: lirenxiong 时间: 2007-11-22 18:42
结合病史考虑结核,不能除外淋巴系统(淋巴结,脾)的肿瘤病变!该病例肠道准备不充分,腹膜后结构不清晰.如有强化更好!
作者: weijing 时间: 2007-11-22 19:15
脾脏多发低密度灶,肠系膜及腹膜后见多发大小不等结节状影,右结肠旁沟见低密度影,结合病史考虑:脾结核,肠系膜及腹膜后淋巴结结核,少量腹水。支持。
作者: 晓杰 时间: 2007-11-22 19:33
脾脏多发低密度灶,肠系膜及腹膜后见多发大小不等结节状影,右结肠旁沟见低密度影,结合病史考虑:脾结核,肠系膜及腹膜后淋巴结结核,少量腹水。支持。
作者: zjzjr 时间: 2007-11-22 19:52
结合病史考虑:脾结核,肠系膜及腹膜后淋巴结结核,少量腹水。支持。
作者: zsl6918 时间: 2007-11-22 19:58
右侧结肠亦可见病变,腹膜后可见多发增大的淋巴结影,脾脏内示多个低密度结节灶,结合病史考虑结核性病变。
作者: 合格医生 时间: 2007-11-22 20:45
脾脏多发低密度灶,腹膜后及肠系膜根部多发淋巴结淋巴结肿大并部分相互融合,考虑tb.图象窗宽\\窗位没调整好,不清晰,另外,肠道准备亦不理想.
作者: 随缘的人 时间: 2007-11-22 21:03
建议增强扫描
作者: DYQCT 时间: 2007-11-22 23:39
标题: 回复:ct10546:急!!!诉下腹疼痛
以下是引用gaoshengjiang在2007-11-22 9:06:00的发言:[br]脾脏多发低密度灶,肠系膜及腹膜后见多发大小不等结节状影,右结肠旁沟见低密度影,结合病史考虑:脾结核,肠系膜及腹膜后淋巴结结核,少量腹水。
支持!!
作者: wansheng 时间: 2007-11-22 23:51
脾脏多发低密度灶,肠系膜及腹膜后见多发大小不等结节状影,右结肠旁沟见低密度影,结合病史考虑:脾结核,肠系膜及腹膜后淋巴结结核,少量腹水。支持。
作者: jiangjing 时间: 2007-11-22 23:54
脾脏多发低密度灶,肠系膜及腹膜后见多发大小不等结节状影,右结肠旁沟见低密度影,结合病史考虑:脾结核,肠系膜及腹膜后淋巴结结核,少量腹水。支持。
作者: 半生不熟 时间: 2007-11-23 02:27
支持楼上
作者: 拾荒者 时间: 2007-11-23 02:29
脾脏多发低密度灶,肠系膜及腹膜后见多发大小不等结节状影,右结肠旁沟见低密度影,结合病史考虑:脾结核,肠系膜及腹膜后淋巴结结核,少量腹水。支持。
当然,单从影像考虑淋巴瘤不能排除。
作者: 老爱克斯 时间: 2007-11-23 02:42
标题: 回复:ct10546:急!!!诉下腹疼痛
脾脏多发低密度灶,左侧肾上腺见块状病灶,密度不均,盲肠升结肠肠壁明显增厚,左下腹似可见肠壁增厚,肠系膜及腹膜后见多发大小不等结节状影,右结肠旁沟见低密度影,1淋巴瘤可能大,2结合病史考虑:脾结核,左侧肾上腺结核,肠系膜及腹膜后淋巴结结核,少量腹水待除外,
作者: 付兴永 时间: 2007-11-23 03:46
片示:
左肾上腺肿大及脾脏多发低密度灶腹膜后见多发淋巴结舯大
考虑为肾上腺及脾腹膜后多发转移灶
作者: 求知若渴 时间: 2007-11-23 04:20
脾脏多发类圆形低密度影并腹水,建议增强扫描。
作者: 余辉 时间: 2007-11-23 04:20
考虑脾结核及腹腔结核感染,阑尾区结核脓肿不排除
作者: xulianj 时间: 2007-11-23 04:43
脾脏多发低密度灶,肠系膜及腹膜后见多发大小不等结节状影,右结肠旁沟见低密度影,结合病史考虑:脾结核,肠系膜及腹膜后淋巴结结核,少量腹水。支持。
作者: wxy7406 时间: 2007-11-23 06:02
光是看腹部图像,首先考虑淋巴瘤,不知道肺部的病灶是不是确定是结核?
作者: qc80012345 时间: 2007-11-23 09:58
脾结核,肠系膜及腹膜后淋巴结结核,少量腹水;做增强。
作者: 甲子114 时间: 2007-11-23 17:58
脾脏多发低密度灶,肠系膜及腹膜后见多发大小不等结节状影,右结肠旁沟见低密度影,结合病史考虑:脾结核,肠系膜及腹膜后淋巴结结核,少量腹水,结腹
支持。
作者: 朱亮 时间: 2007-11-23 20:19
脾脏淋巴瘤并腹膜后淋巴结肿大
作者: 黄国华 时间: 2007-12-11 18:58
左肾上腺未见,建议重建处理及增强!
作者: dyqct 时间: 2007-12-13 01:12
虽然结果出来了,但没有增强,只靠平扫很难定性。
作者: 随光逐影 时间: 2007-12-13 01:24
标题: 回复:ct10546:急!!!诉下腹疼痛
以下是引用dyqct在2007-12-12 17:12:00的发言:[br]虽然结果出来了,但没有增强,只靠平扫很难定性。
作者: 拾荒者 时间: 2007-12-13 01:51
这种结果跟战友分析差不多,没有太大的参考价值.
作者: 西凡 时间: 2007-12-13 06:26
综合临床,结核还是要排在第一位的。
作者: wy232326 时间: 2007-12-13 17:09
学习了
作者: tianjun607 时间: 2007-12-13 17:10
建议增强,不做增强讨论无多大意义
作者: wangzhi68 时间: 2007-12-14 04:35
脾脏多发低密度灶,肠系膜及腹膜后见多发大小不等结节状影,右结肠旁沟见低密度影,结合病史考虑:脾结核,肠系膜及腹膜后淋巴结结核,少量腹水,结腹
作者: jinguoji 时间: 2007-12-14 23:20
收到,谢谢!
| 欢迎光临 医影在线 (http://bbs.radida.com/bbs/) |
Powered by Discuz! X3.2 |