医影在线
标题: CT10574:男 50岁胸部CT请会诊! [打印本页]
作者: jone-baby 时间: 2007-11-24 18:53
标题: CT10574:男 50岁胸部CT请会诊!
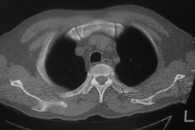
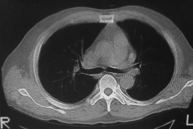
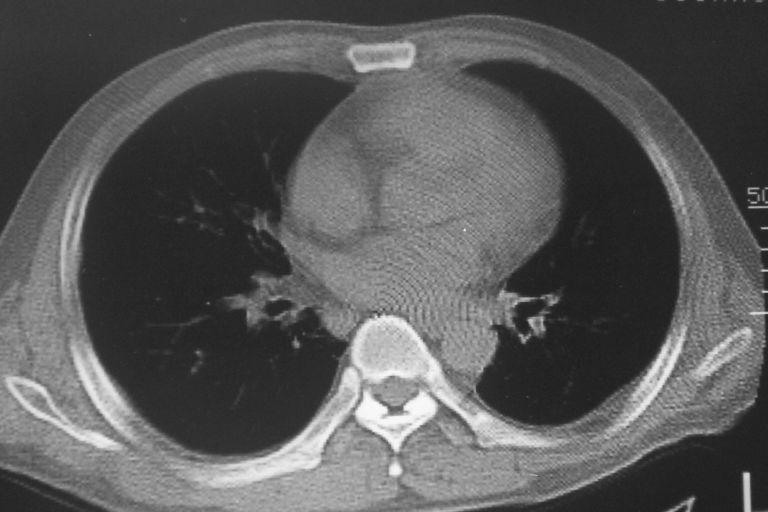
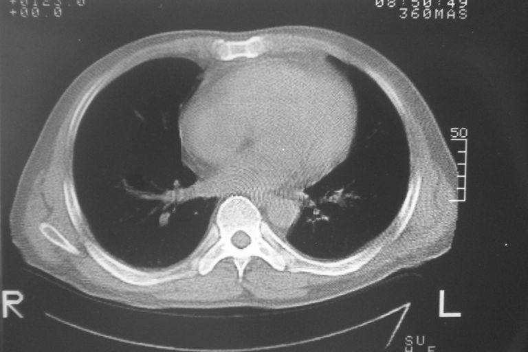
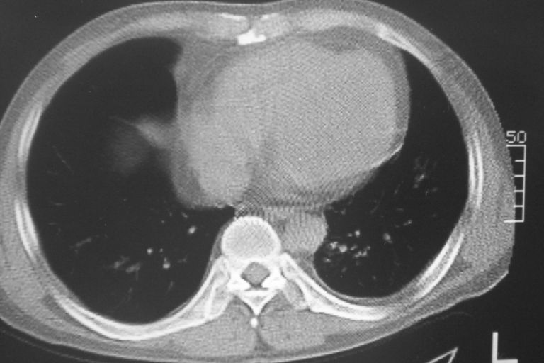
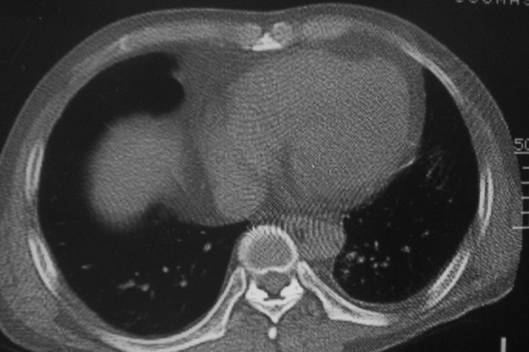
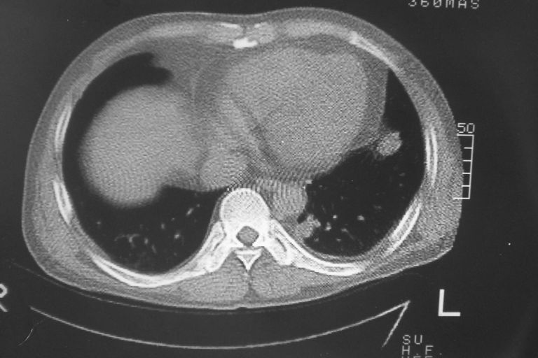
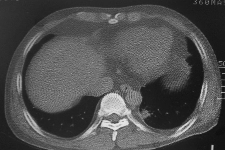
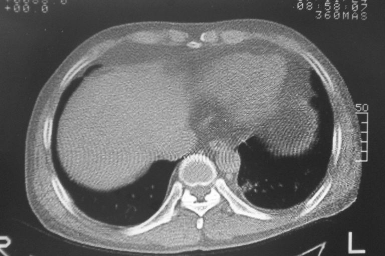
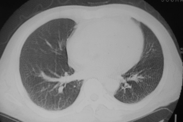
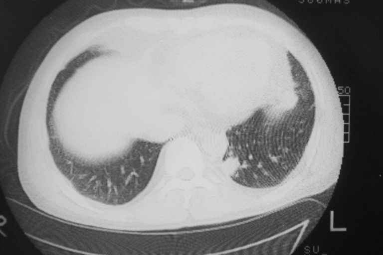
患者 男 50岁 无痛性咯血3天,无其他不适.






























[本贴已被 jiajie 于 2007-11-24 12:27:12 修改过]
作者: gaoshengjiang 时间: 2007-11-24 19:41
左下肺结节状软组织密度影,边缘有毛刺,考虑周围型肺癌。
作者: 沙漠骆驼 时间: 2007-11-24 20:35
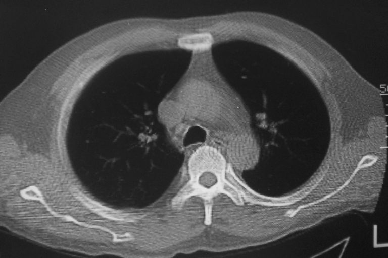
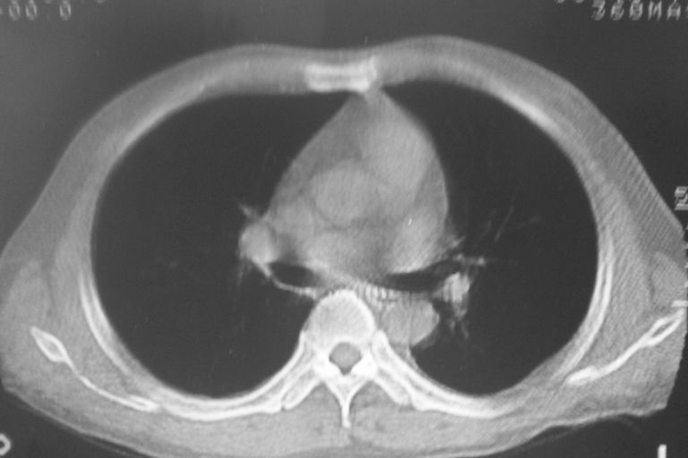
1 左肺下叶基底段见两结节软组织密度灶, 肺窗边缘见有毛刺征像, 不能排除占位. 2 建议结合临床治疗一周后ct随访在看其结果.
作者: ZHANGZHONGSHOU 时间: 2007-11-24 21:13
抗炎治疗复查
作者: liushihong628 时间: 2007-11-24 21:50
考虑周围型肺癌
作者: yhb 时间: 2007-11-24 22:54
标题: 回复:ct10574:男 50岁胸部ct请会诊!
以下是引用liushihong628在2007-11-24 13:50:00的发言:[br]考虑周围型肺癌
作者: sph 时间: 2007-11-24 22:57
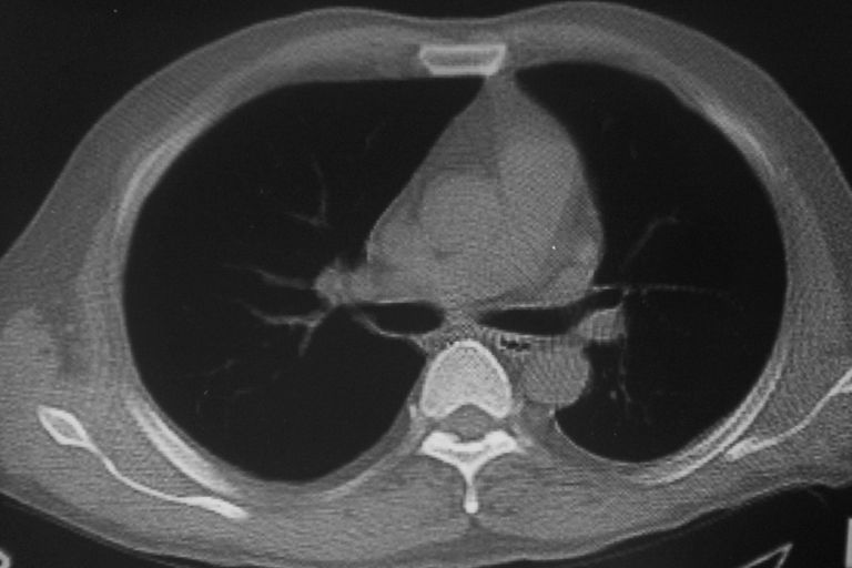
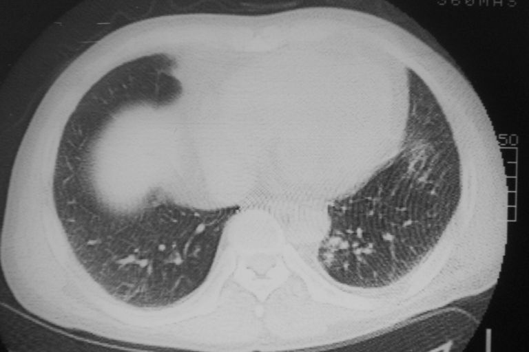
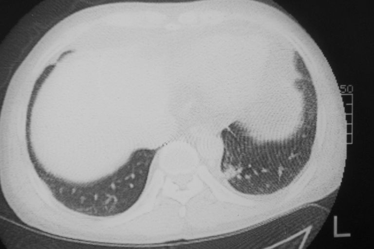
1 左肺下叶基底段见两结节软组织密度灶抗炎后复查
2心包积液
作者: 5lwf5 时间: 2007-11-24 23:07
左下肺基底段两个小结节影,边缘毛糙,建议抗炎治疗后复查。
作者: ydx_74 时间: 2007-11-24 23:10
临近胸膜增厚,病变周围肺不清,稍有分叶。结节密度略高,肺、纵隔窗差异不大,肺癌待排。前方还有一个
作者: zjzjr 时间: 2007-11-24 23:15
考虑慢性炎症,建议抗炎治疗后复查.
作者: 红樱枪 时间: 2007-11-24 23:41
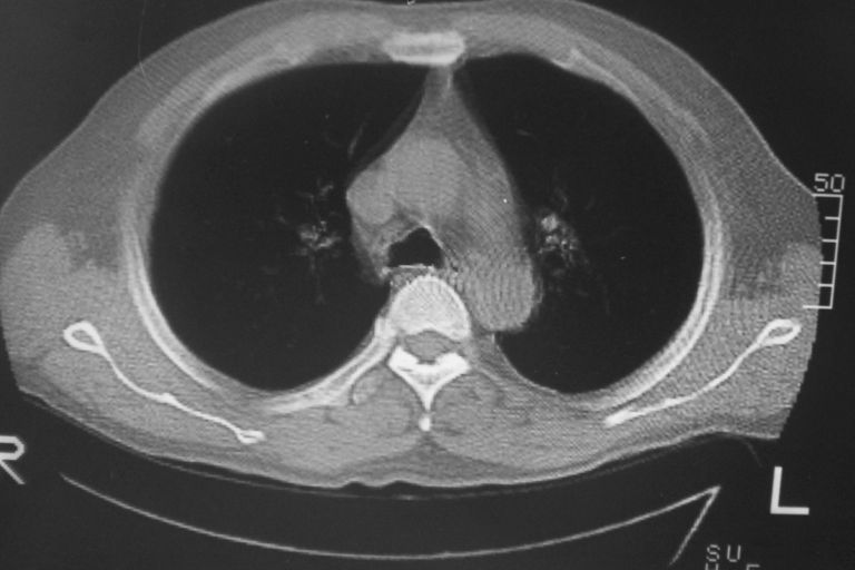
1 左肺下叶后基底段见结节软组织密度灶,建议抗炎后复查,排除肿瘤
2心包积液
作者: zhx119 时间: 2007-11-24 23:43
1、左肺下叶两个结节影,建议抗炎治疗后复查.
2、心包积液
作者: 同 时间: 2007-11-25 00:49
考虑慢性炎症,抗炎后复查.
作者: 陈金 时间: 2007-11-25 01:17
考虑周围性肺癌,建议抗炎治疗后复查排除良性肿瘤
作者: 卜一 时间: 2007-11-25 01:47
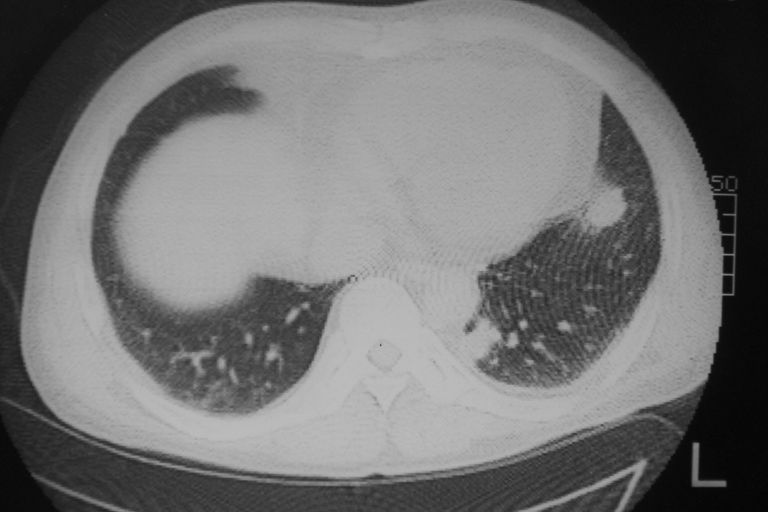
1 左肺下叶后基底段见结节软组织密度灶,建议抗炎后复查,排除肿瘤。
2 心包积液。
支持!
作者: 朱亮 时间: 2007-11-25 01:56
炎性假瘤
作者: 余辉 时间: 2007-11-25 03:38
考虑慢性炎症,建议抗炎治疗后复查.
作者: wqs571018 时间: 2007-11-25 03:45
1 左肺下叶后基底段见结节软组织密度灶,建议抗炎后复查,排除肿瘤。
2 心包积液。
支持!
作者: 拾荒者 时间: 2007-11-25 04:33
1 左肺下叶后基底段见结节软组织密度灶,周围见毛刺,建议抗炎后复查,警惕周围型肺癌。
2 心包积液。
支持!
作者: 摘星空竹子 时间: 2007-11-25 05:30
考虑慢性炎症,多发性原发性肺癌待除外.
作者: wangdch2008 时间: 2007-11-25 05:43
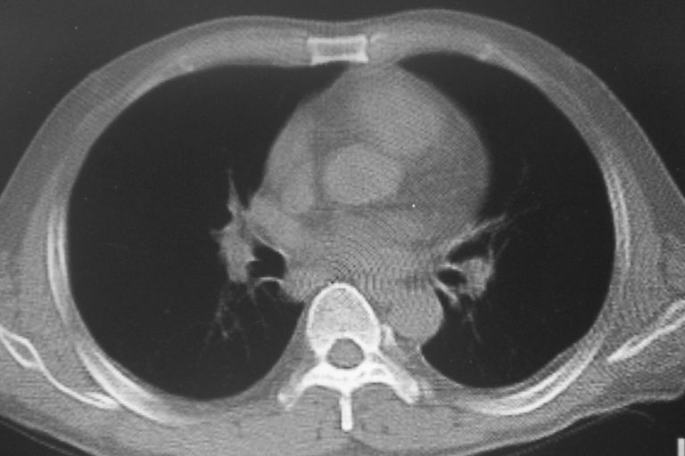
考虑右下肺周围型肺癌,心包积液不确切,像是脂肪
作者: 450344989 时间: 2007-11-25 06:15
左下肺结节状软组织密度影,一个边缘有卫星病灶,邻近胸膜增厚.另一个有毛刺.心影周围水样密度影环绕.考虑:
1.肺癌可能.肺tb待排.
2.左侧胸膜增厚.心包积液.
作者: zsl6918 时间: 2007-11-25 06:18
左肺下叶多发性炎性肉芽肿性病变。
作者: jinguoji 时间: 2007-11-25 17:48
1 左肺下叶后基底段见结节软组织密度灶,建议抗炎后复查,排除肿瘤。
2心包积液,
作者: 宝天曼 时间: 2007-11-26 04:43
考虑慢性炎症,建议抗炎治疗后复查.
| 欢迎光临 医影在线 (http://bbs.radida.com/bbs/) |
Powered by Discuz! X3.2 |