医影在线
标题: X3013:男70岁,半年前拇指砸伤,近日拇指日夜疼痛。 [打印本页]
作者: 小初学者 时间: 2007-11-28 22:46
标题: X3013:男70岁,半年前拇指砸伤,近日拇指日夜疼痛。
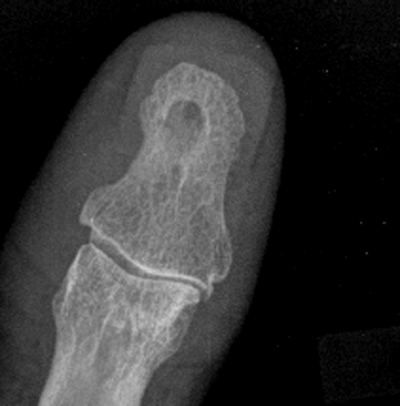
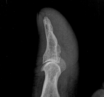
男70岁,半年前拇指砸伤,近日拇指日夜疼痛。



[本贴已被 jiajie 于 2007-11-28 18:17:32 修改过]
作者: cmj 时间: 2007-11-28 23:00
植入性骨囊肿
作者: ydx_74 时间: 2007-11-29 00:15
表皮植入性囊肿
作者: clj20 时间: 2007-11-29 00:28
动脉瘤样骨囊肿
作者: jiangjing 时间: 2007-11-29 01:36
表皮植入性囊肿
作者: zhangkai 时间: 2007-11-29 01:37
考虑动脉瘤样骨囊肿。
作者: 731208 时间: 2007-11-29 02:00
植入性骨囊肿
作者: ZHANGZHONGSHOU 时间: 2007-11-29 02:07
结合外伤史,考虑上皮植入性囊肿。
作者: shiqingfa 时间: 2007-11-29 02:11
上皮性骨囊肿(结合外伤史)
作者: zhengfaming 时间: 2007-11-29 03:18
结合外伤史,考虑植入性骨囊肿
作者: livingod 时间: 2007-11-29 03:35
标题: 回复:x3013:男70岁,半年前拇指砸伤,近日拇指日夜疼痛。
以下是引用ydx_74在2007-11-28 16:15:00的发言:[br]表皮植入性囊肿
作者: 黑白光影 时间: 2007-11-29 04:02
植入性骨囊肿又称外伤性上皮植入性骨囊肿与创伤有关,病变多发生在末节指骨,病人都有数年以上的外伤史,手指软组织砸伤后,使小片上皮断离,并埋藏于皮下,而后逐渐移植于骨组织内,长时间增殖,生长,形成上皮样骨囊肿。
动脉瘤样骨囊肿又称良性骨动脉瘤,病因不清,60%-75%发生于股骨上端、椎体和附件,主要表现为局部肿痛,靠近关节时出现运动障碍,侵犯胸腰椎可以出现疼痛和下肢萎缩,大小便失禁甚至截瘫。 最常见的发生部份为下肢长骨的干骺端,其次为上肢骨。动脉瘤样骨囊肿是骨创伤或骨血循环障碍所致的继发性改变。动脉瘤样骨囊肿也可由非骨化性纤维瘤,软骨母细胞瘤,骨母细胞瘤,单纯骨囊肿,软骨粘液纤维瘤和纤维结构不良继发转变而来。
x线检查,动脉瘤样骨囊肿表现为干骺端偏心性的低密性病损。骨膜抬高、隆起、皮质往往被侵蚀至菲薄外壳。有皂泡样(soap bubble)和爆裂样(blow out)表现。ct扫描对骨盆,脊柱病变有较高的临床价值,ct扫描能很好显示腔内的多灶性的液平,所以对鉴别单纯性骨囊肿意义较大,mri检查同样能显示多灶液平,并能判断腔内液是否为血性。动脉瘤样骨囊肿mri的t1、t2相表现均为低信号边缘包绕囊性缺损。如果怀疑,一定注意仔细观片以发现可能存在的前原发病种的特征表现。有个别动脉瘤样骨囊肿可有絮状软骨基质成份表现,这可以用以判断其病理发生学的来源。
结合本例外伤史及征象,考虑上皮植入性囊肿可能性大。
作者: 李龙 时间: 2007-11-29 04:12
请问啥叫上皮植入性囊肿。
作者: wy232326 时间: 2007-11-29 04:14
结合外伤史,考虑上皮植入性囊
作者: hexue 时间: 2007-11-29 05:25
植入性骨囊肿
作者: xulianj 时间: 2007-11-29 05:51
考虑植入性骨囊肿
作者: jinguoji 时间: 2007-11-29 06:54
考虑上皮植入性囊肿。
作者: 小红帽 时间: 2007-11-29 07:53
结合外伤史,考虑上皮植入性囊肿。
作者: zhangxiangjun 时间: 2007-11-29 09:22
结合外伤史,考虑上皮植入性囊肿。
作者: liangshusheng 时间: 2007-11-29 20:11
考虑上皮植入性囊肿。
作者: dyqct 时间: 2007-11-29 22:46
结合外伤史,考虑植入性骨囊肿。
作者: wangjj555 时间: 2007-11-30 00:50
植入性骨囊肿
作者: xiazhuzhu 时间: 2007-11-30 03:29
标题: 回复:x3013:男70岁,半年前拇指砸伤,近日拇指日夜疼痛。
以下是引用731208在2007-11-28 18:00:00的发言:[br]植入性骨囊肿
作者: luoxinjun 时间: 2007-11-30 04:13
感谢黑光白影精彩
作者: real520 时间: 2007-11-30 06:47
考虑上皮植入性囊肿
作者: zhw974247 时间: 2007-11-30 12:43
植入性骨囊肿又称外伤性上皮植入性骨囊肿与创伤有关,病变多发生在末节指骨,病人都有数年以上的外伤史,手指软组织砸伤后,使小片上皮断离,并埋藏于皮下,而后逐渐移植于骨组织内,长时间增殖,生长,形成上皮样骨囊肿。
作者: yuhongjun 时间: 2007-11-30 14:23
结合本例外伤史及征象,考虑上皮植入性囊肿可能性大。
作者: LIAOQIANG 时间: 2007-11-30 18:09
结合考虑植入性骨囊肿。
作者: 阿狼 时间: 2007-12-1 02:52
结合临床,考虑表皮植入性骨囊肿
作者: wqs571018 时间: 2007-12-1 03:39
支持:结合外伤史,考虑上皮植入性囊肿。
作者: 石门之剑 时间: 2007-12-1 19:04
上皮性骨囊肿。
作者: zhangkening 时间: 2007-12-6 21:41
上皮样骨囊肿.
作者: shibing 时间: 2013-8-15 06:00
表皮植入性囊肿
| 欢迎光临 医影在线 (http://bbs.radida.com/bbs/) |
Powered by Discuz! X3.2 |