医影在线
标题: CT10625:M56Y,请会诊,是否可能为转移病变 [打印本页]
作者: huxuelong 时间: 2007-11-29 01:53
标题: CT10625:M56Y,请会诊,是否可能为转移病变
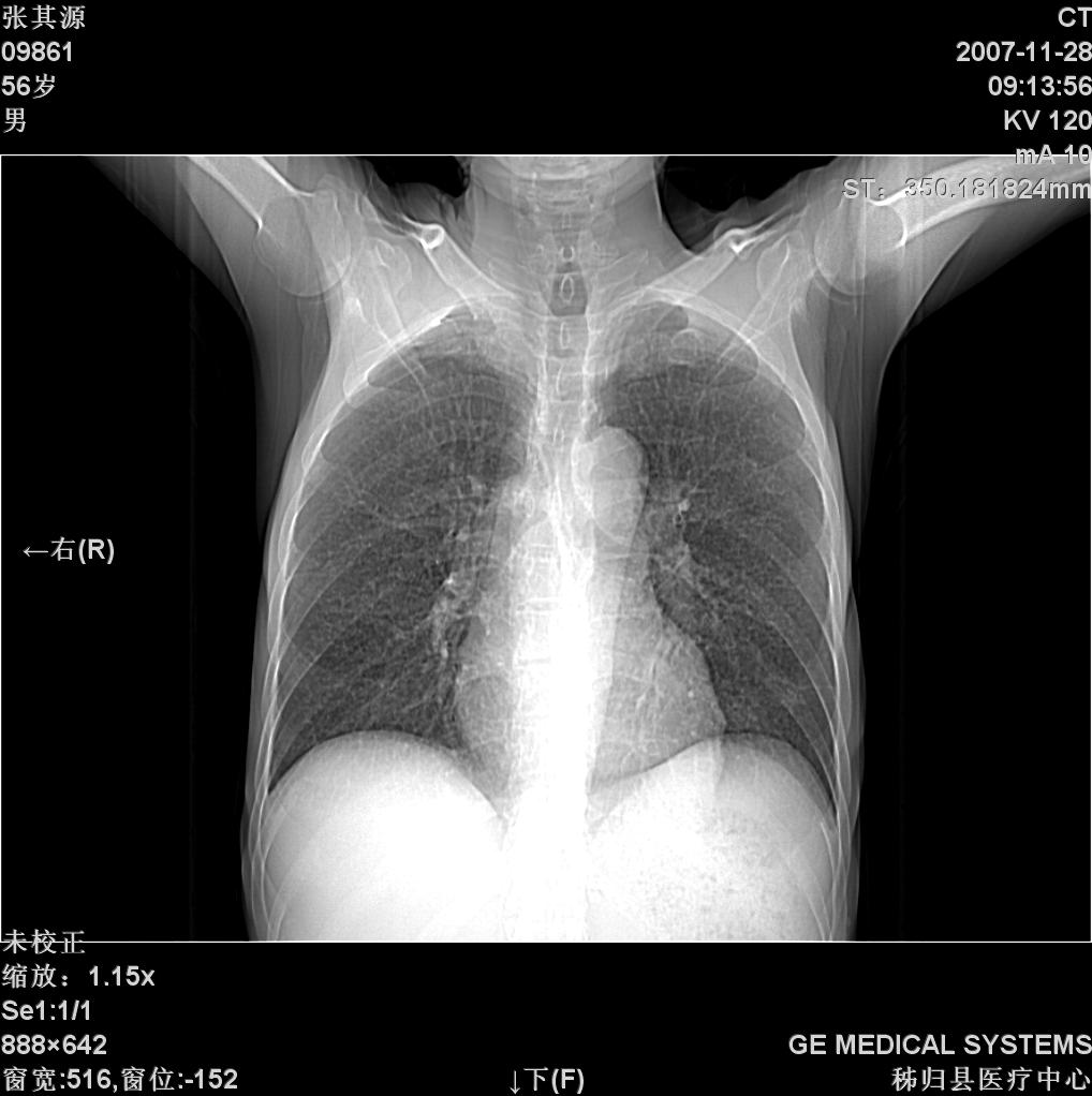
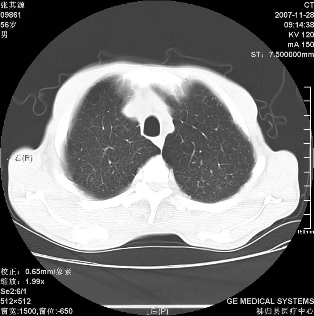
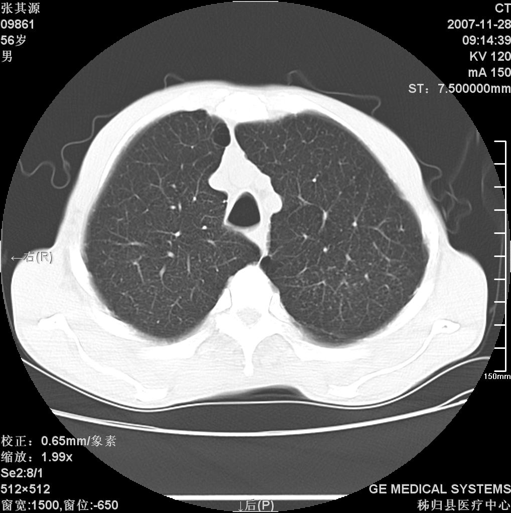
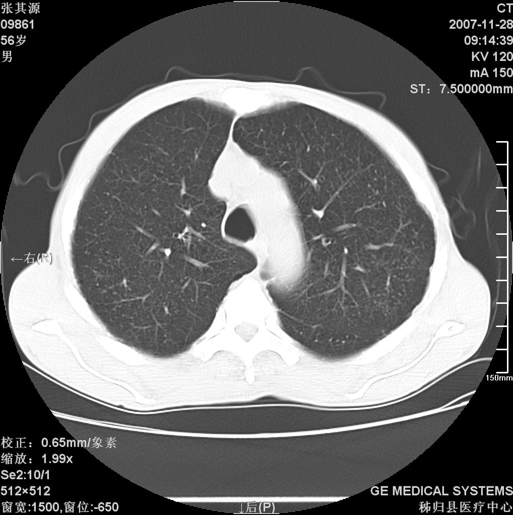
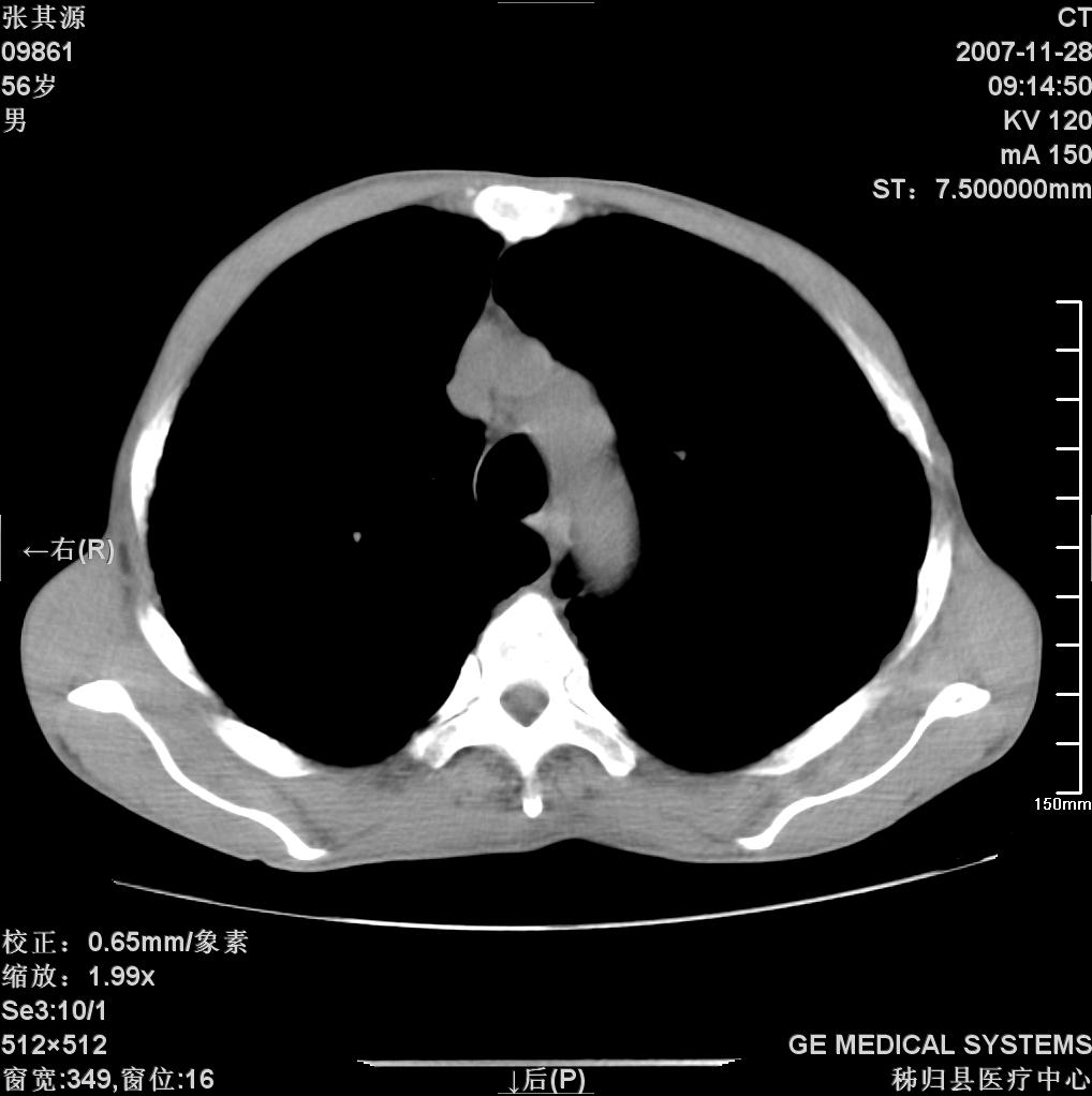
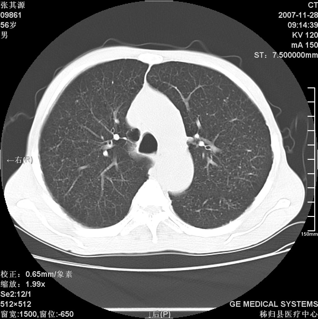
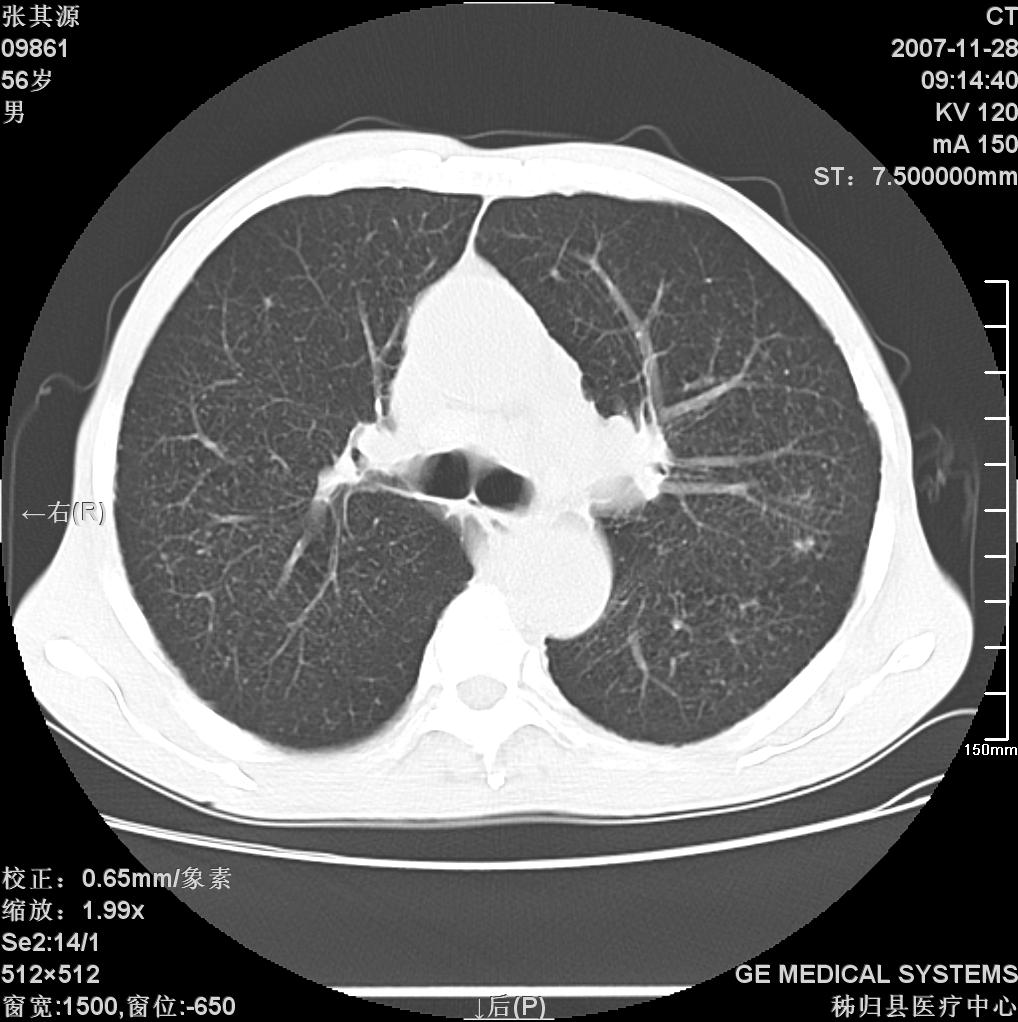
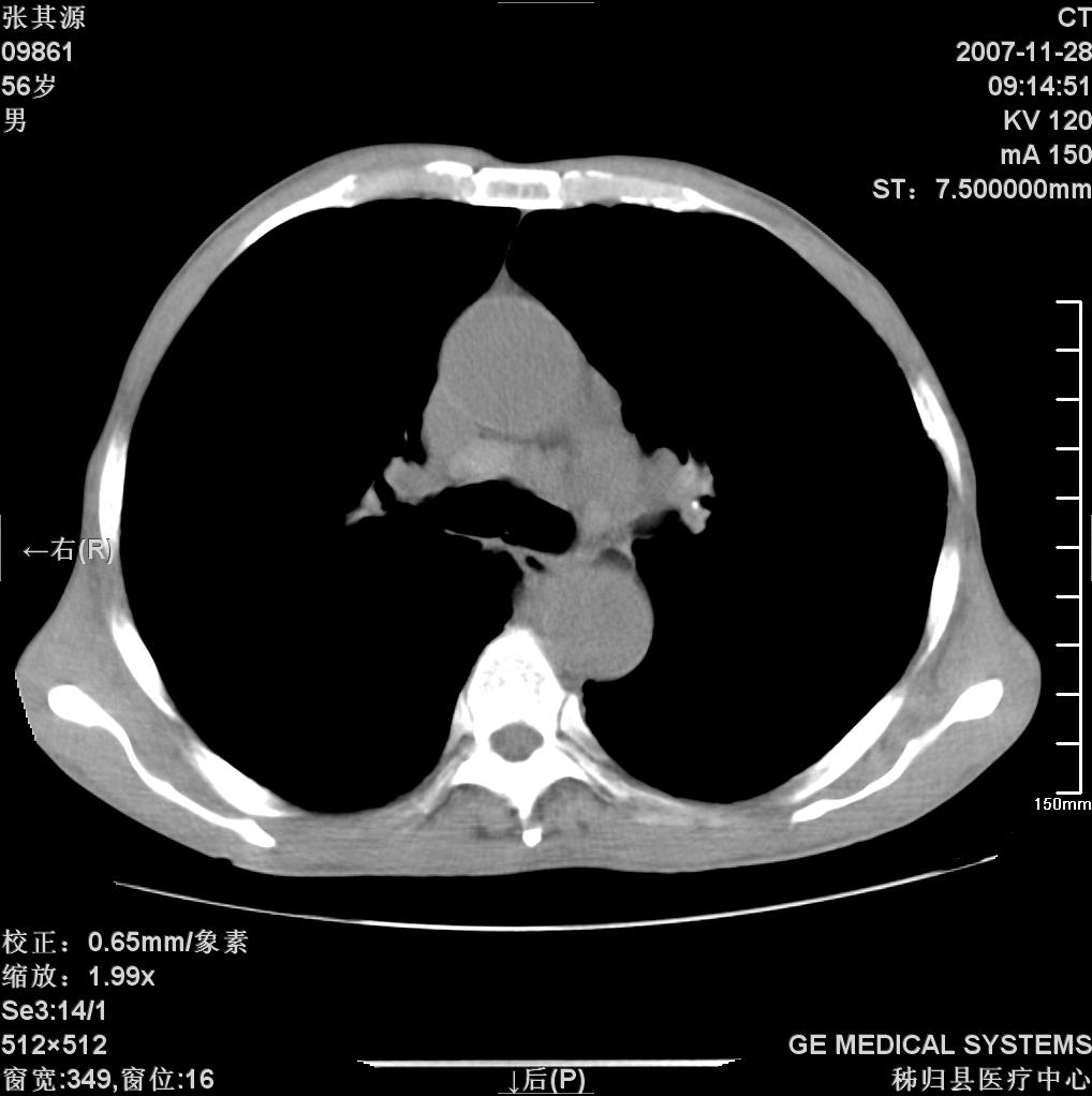
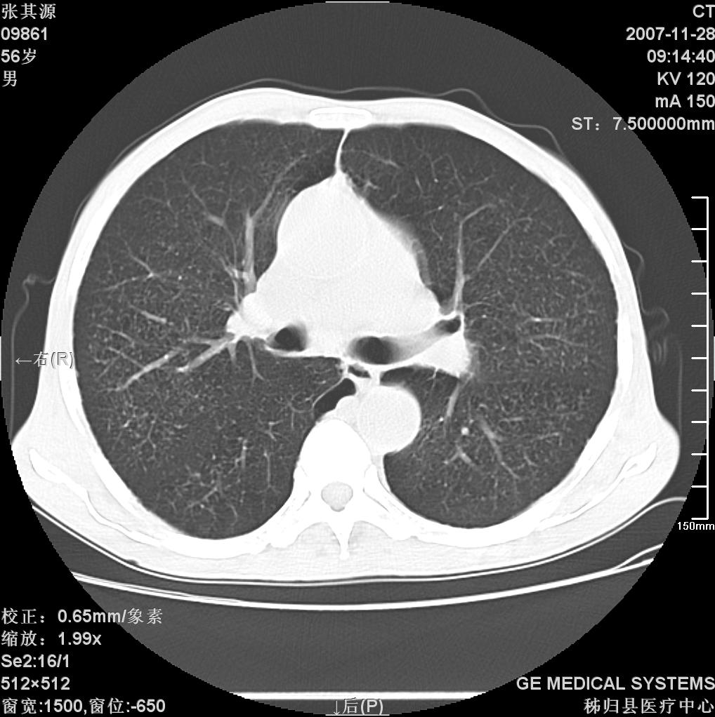
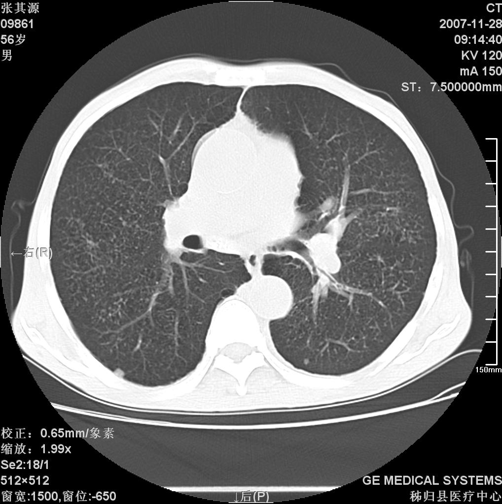
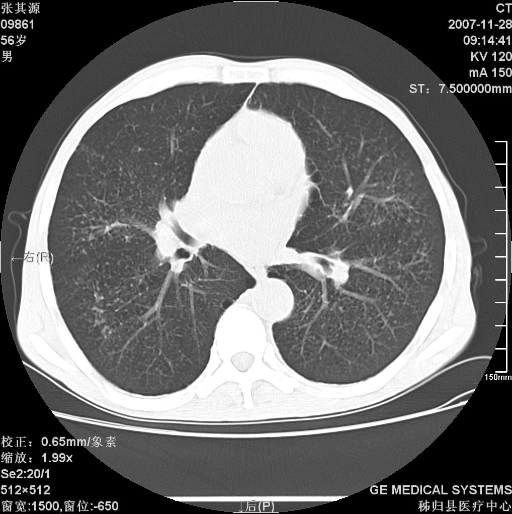
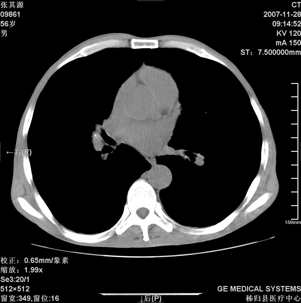
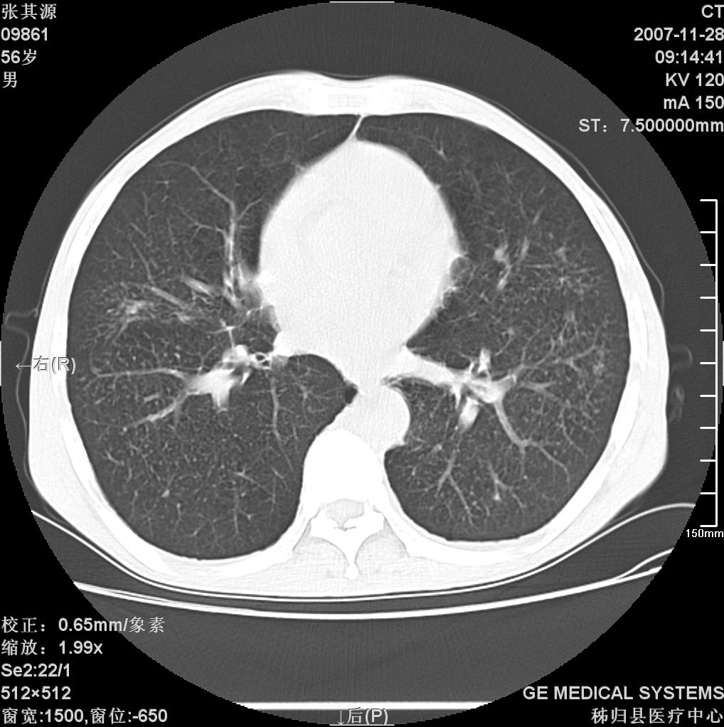
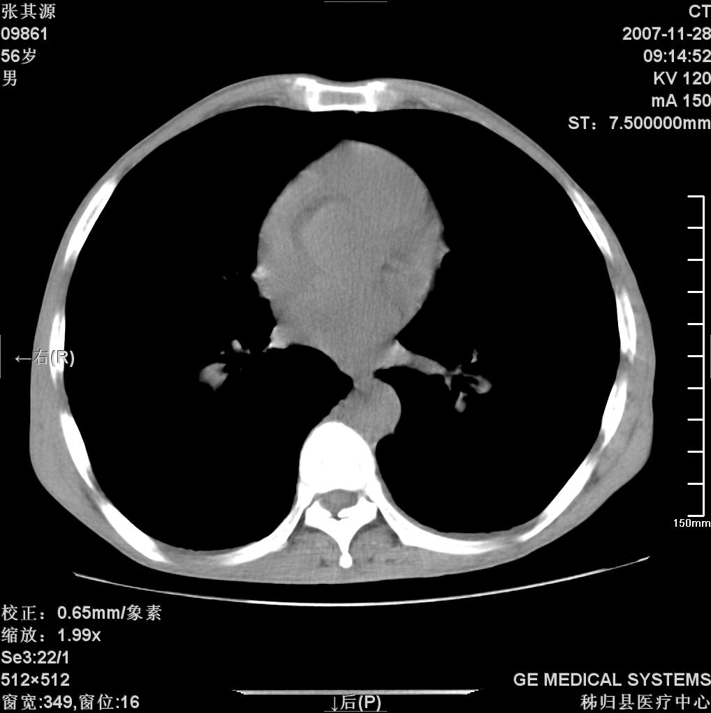
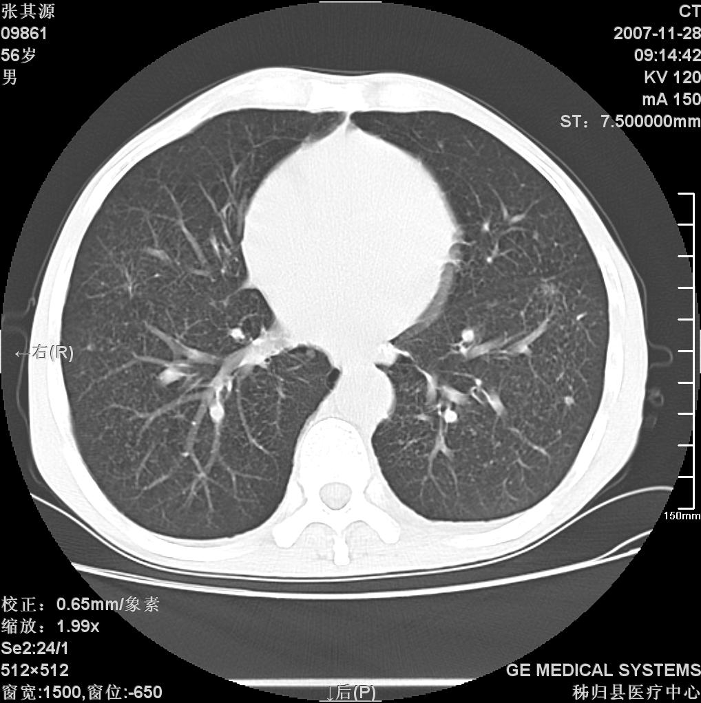
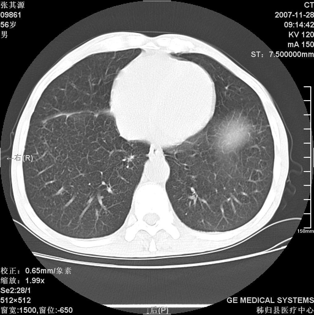
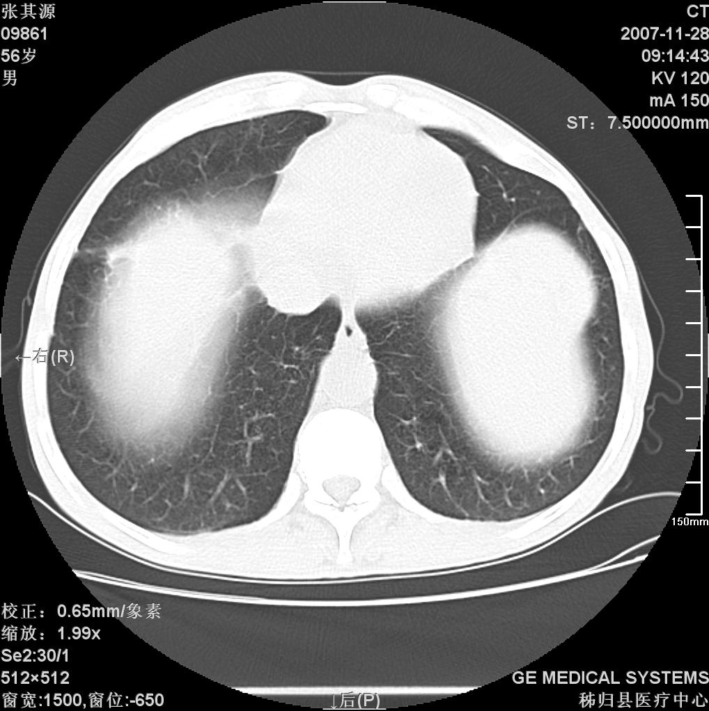
患者因阻塞性黄疸入院,发病前10天持续中等程度发烧.术前检查发现两肺弥漫性病变,请各位大虾会诊,除了考虑急性血源性肺结核外,还有其他什么疾病可能.



























[本贴已被 jiajie 于 2007-11-28 18:16:15 修改过]
作者: huxuelong 时间: 2007-11-29 01:57
补充一下,该患者没有与尘肺相关职业史。请大家帮忙会诊一下,外科医生打算为其做胆总管肿瘤做手术的,现在在等我们的结果。谢谢各位了。
作者: 宇宙ct 时间: 2007-11-29 02:32
正常
作者: 羊皮 时间: 2007-11-29 02:55
影像符合粟粒型肺tb改变。
作者: lgl2007 时间: 2007-11-29 03:21
胆管肿瘤确诊的话,首先考滤转移。
作者: zhengfaming 时间: 2007-11-29 03:47
考虑tb不排除转移,(隆突处有肿大淋巴结,不好说是结核还是转移引起的)
作者: 江洋 时间: 2007-11-29 03:48
首先考虑转移瘤
作者: 同 时间: 2007-11-29 04:02
结合病史考虑转移,但结核不除外.
作者: xulianj 时间: 2007-11-29 05:00
胆管肿瘤确诊为恶性的话,首先考滤转移性肿瘤;否结核可能。
作者: jsmctmri 时间: 2007-11-29 05:53
结合病史,可考虑细支气管炎,抗炎后短期复查。
作者: chry3 时间: 2007-11-29 06:03
我认为正常。
作者: lirenxiong 时间: 2007-11-29 06:10
考虑tb不排除转移,(隆突处有肿大淋巴结,不好说是结核还是转移引起的)
作者: lirenxiong 时间: 2007-11-29 06:35
首先考虑转移瘤
作者: 仝春光 时间: 2007-11-29 06:50
1.结核
2;转移不除外
作者: 大漠情怀 时间: 2007-11-29 09:04
转移瘤
作者: psh 时间: 2007-11-29 16:17
间质改变,多种原因均可引起:如高血压、吸烟等;结核不考虑。
作者: 86441 时间: 2007-11-29 19:43
两肺另见略大结节,结合病史,应考虑转移,有腹部片吗?肺内表现可有:结核?甲状腺癌肺转移?肺泡癌?
作者: dyqct 时间: 2007-11-29 23:41
标题: 回复:ct10625:m56y,请会诊,是否可能为转移病变
以下是引用xulianj在2007-11-28 21:00:00的发言:[br]胆管肿瘤确诊为恶性的话,首先考滤转移性肿瘤;否结核可能。
支持!!
作者: 晓杰 时间: 2007-11-30 00:33
标题: 回复:ct10625:m56y,请会诊,是否可能为转移病变

结合临床首先考虑转移瘤
作者: 拾荒者 时间: 2007-11-30 03:01
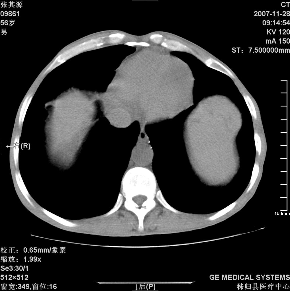
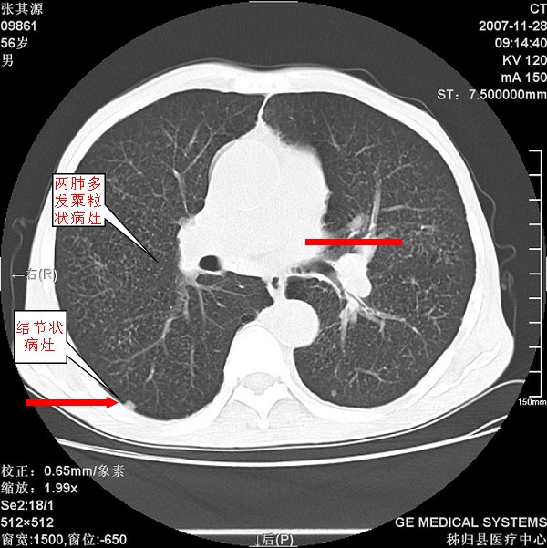
双肺多发粟粒样病灶,右肺胸膜下结节样病灶,气管前腔静脉后及隆突下均见肿大淋巴结,结合胆道肿瘤病史首先考虑转移。另外心影密度略低,时间格显示,是否有贫血?查明白再手术吧!
作者: wy232326 时间: 2007-12-2 02:01
结合病史考虑转移,但结核不除外
作者: 宝天曼 时间: 2007-12-2 06:55
结合病史,可考虑细支气管炎,抗炎后短期复查。
作者: gjj6818 时间: 2007-12-2 18:03
考虑tb不排除转移,(隆突处有肿大淋巴结,不好说是结核还是转移引起的)
作者: 5lwf5 时间: 2007-12-2 22:54
肺气肿、细支气管炎。
| 欢迎光临 医影在线 (http://bbs.radida.com/bbs/) |
Powered by Discuz! X3.2 |