医影在线
标题: CT10645:M、70Y,反复咳嗽2月 [打印本页]
作者: 北方的狼 时间: 2007-11-30 03:27
标题: CT10645:M、70Y,反复咳嗽2月
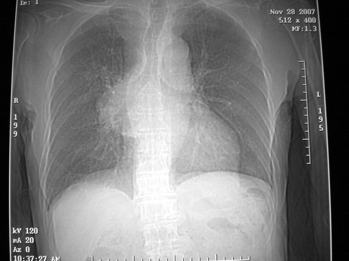
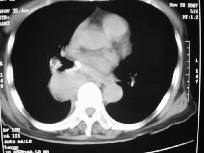
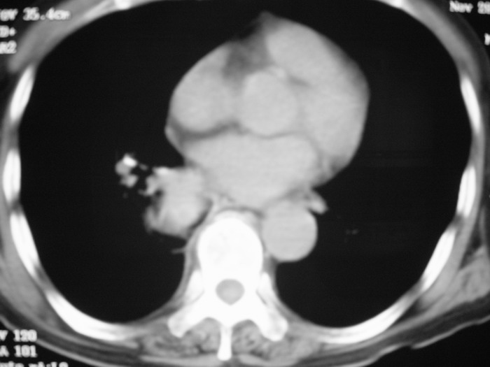
m、70y,反复咳嗽2月。请各位同仁给定位1、(肺?,纵隔?)2、定性。感谢!!
对不起,传错第一幅图!!












[本贴已被 jiajie 于 2007-11-29 20:07:19 修改过]
作者: 北方的狼 时间: 2007-11-30 03:30
再次道歉,图像全对的!!
作者: ZHANGZHONGSHOU 时间: 2007-11-30 03:41
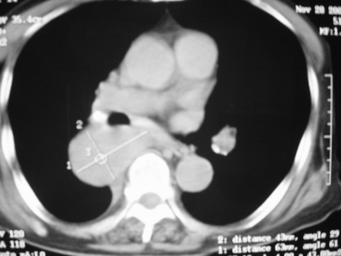
右后纵隔良性占位性病变,神经原性肿瘤可能性大,就其形态看,高密度囊肿待排,建议mri检查。
作者: yy杨洋 时间: 2007-11-30 04:07
肺
作者: lirenxiong 时间: 2007-11-30 04:13
正位看,支气管分叉角度增大,来源考虑后纵隔的占位,性质考虑1.神经源性肿瘤2.肿大淋巴结
作者: dyqct 时间: 2007-11-30 04:13
考虑右后纵隔良性肿瘤,以神经纤维瘤可能性大。
作者: yugongyishan 时间: 2007-11-30 04:15
右后纵隔占位,气管前腔静脉后淋巴结肿大:1.神经源性肿瘤,2.恶性淋巴瘤?
作者: 卜一 时间: 2007-11-30 04:20
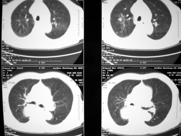
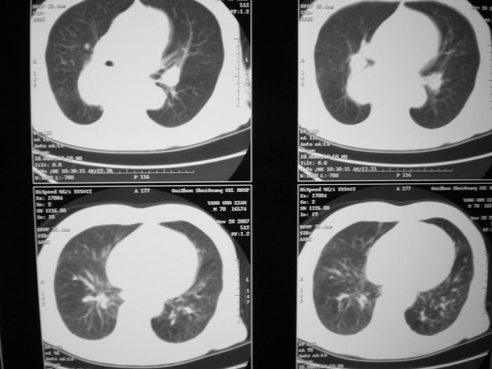
右下肺纵隔旁较大 均匀密度肿块,部分边缘植入纵隔,气管明显受压 变形。支持:后纵隔肿瘤!首选:神经源性!不支持肺内肿瘤原因:1 肿瘤位于下叶支气管及背段支气管开口区,但未侵犯支气管,只是受压表现。2 纵隔内未见肿大淋巴结。3 肺内未见阻塞性肺炎。
作者: jzx 时间: 2007-11-30 04:37
考虑右后纵隔良性肿瘤,以神经纤维瘤可能性大。
作者: 宝天曼 时间: 2007-11-30 05:17
考虑右后纵隔良性肿瘤,以神经纤维瘤可能性大。
作者: 古寨 时间: 2007-11-30 06:25
考虑右后纵隔良性肿瘤,以神经纤维瘤可能性大
作者: 摘星空竹子 时间: 2007-11-30 06:25
右后纵隔良性肿瘤,以神经源性肿瘤可能性大.支持!
作者: jinguoji 时间: 2007-11-30 06:52
考虑右后纵隔肿瘤,神经源性肿瘤可能性大。
作者: happyverycd 时间: 2007-11-30 14:19
标题: 回复:ct10645:m、70y,反复咳嗽2月
以下是引用zhangzhongshou在2007-11-29 19:41:00的发言:[br]右后纵隔良性占位性病变,神经原性肿瘤可能性大,就其形态看,高密度囊肿待排,建议mri检查。
作者: 王仕学 时间: 2007-11-30 19:08
标题: 回复:ct10645:m、70y,反复咳嗽2月
以下是引用卜一在2007-11-29 20:20:00的发言:[br]右下肺纵隔旁较大 均匀密度肿块,部分边缘植入纵隔,气管明显受压 变形。支持:后纵隔肿瘤!首选:神经源性!不支持肺内肿瘤原因:1 肿瘤位于下叶支气管及背段支气管开口区,但未侵犯支气管,只是受压表现。2 纵隔内未见肿大淋巴结。3 肺内未见阻塞性肺炎。
作者: wangdch2008 时间: 2007-11-30 19:15
右后纵隔占位性病变,考虑神经源性肿瘤可能性大
作者: 晓杰 时间: 2007-11-30 20:58
考虑:右后纵隔良性肿瘤,以神经纤维瘤可能性大。支持
作者: xulianj 时间: 2007-12-1 02:45
考虑右后纵隔良性肿瘤,以神经源性肿瘤可能性大。增强一下也能解决问题;神经源性肿瘤有明显强化。
作者: tfq6909 时间: 2007-12-1 02:56
考虑奇静脉食管隐窝战位,肺癌并纵隔淋巴转移
作者: 拾荒者 时间: 2007-12-1 03:20
支持后纵隔肿瘤,病灶大体呈“滴状”与支气管关系密切,考虑:1.高密度支气管囊肿,2.神经纤维瘤。增强有鉴别意义。
作者: wy232326 时间: 2007-12-2 01:02
考虑右后纵隔良性肿瘤,以神经纤维瘤可能性大
作者: whylovezhang 时间: 2007-12-2 22:39
肺上有多个小结节哦,考虑转移,那就应该是恶性的啊
| 欢迎光临 医影在线 (http://bbs.radida.com/bbs/) |
Powered by Discuz! X3.2 |