医影在线
标题: CT1101:[原创]脑内多发等高密度占位。向大家求教?谢谢! [打印本页]
作者: 詹劲松 时间: 2005-3-10 19:05
标题: CT1101:[原创]脑内多发等高密度占位。向大家求教?谢谢!
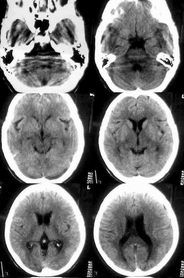
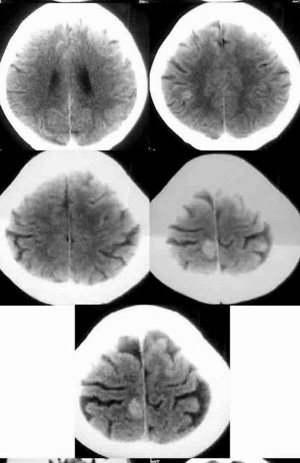
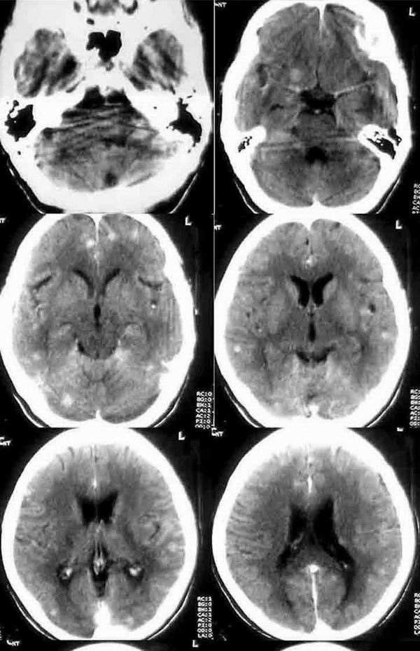
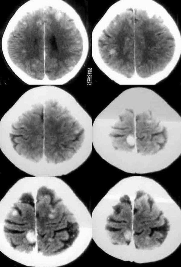
女 57岁 头晕壹月 呕吐半月
平扫:仅见顶叶两个结节状高密度影.边缘清楚.ct值66.1hu 周围无水肿带
增强:脑内广泛多发结节影.多位于皮质和皮髓质交界区,强化明显.ct值达86.5hu.
( 第一次上传图像效果欠佳见谅)




[本贴已被 jiajie 于 2005-3-10 11:22:32 修改过]
作者: jiajie 时间: 2005-3-10 19:35
考虑颅内结核性肉芽肿。
作者: 詹劲松 时间: 2005-3-10 19:36
标题: 考虑为多发性海绵状血管
此病人转移瘤应该可以排除吧,因为周围没有水肿带;早期结核瘤可以为等密度多发,灶周围应轻度水肿;寄生虫可多发,病灶周围也应有周围水肿带,灶内应有钙化灶。所以我考虑为多发性海绵状血管瘤。
[本贴已被 詹劲松 于 2005-3-11 22:51:58 修改过]
作者: ycbabc 时间: 2005-3-10 19:39
脑内多发转移瘤
作者: hfs999999 时间: 2005-3-10 19:54
57岁,女性,双侧大脑半球皮髓质交界处多发大小不等的结节影,高密度,未见明显水肿,首先考虑转移瘤,建议行胸部检查,有些肺癌脑转移可有类似表现。
作者: zjq 时间: 2005-3-10 20:17
支持5楼
作者: hejie 时间: 2005-3-10 20:42
标题: 回复:ct1101:[原创]脑内多发等高密度占位。向大家求教?谢
以下是引用hfs999999在2005-3-10 11:54:34的发言:[br]57岁,女性,双侧大脑半球皮髓质交界处多发大小不等的结节影,高密度,未见明显水肿,首先考虑转移瘤,建议行胸部检查,有些肺癌脑转移可有类似表现。[br]
作者: 陈一文 时间: 2005-3-10 21:46
首先考虑转移瘤,建议寻找原发灶以及复查
作者: 放大镜 时间: 2005-3-10 22:55
转移瘤可能性大
作者: 阿圣 时间: 2005-3-11 00:45
看来大家支持转移瘤的多了,我也支持
作者: 建华 时间: 2005-3-11 00:49
[emb6]脑转移瘤.建议胸部ct
作者: LQC 时间: 2005-3-11 01:19
转移瘤可能性大
作者: gbj8004 时间: 2005-3-11 01:58
结核性肉芽肿的可能性大但也不排除有转移瘤的可能
作者: hong630104 时间: 2005-3-11 04:03
支持转移瘤,脑内转移瘤可有多种表现形式,不一定非要有水肿。
作者: mhy 时间: 2005-3-11 04:57
平扫仅见二个结节,但增强见有多发结节,且大多位于皮髓交界,未见明显钙化,年龄57岁,我认为首先考虑转移性肿瘤,不完全除外结核结节。
作者: 新手88 时间: 2005-3-11 05:16
转移瘤
作者: lichangqing1968 时间: 2005-3-11 05:42
本人认为转移瘤不能确定(1)无原发病资料(2)虽有小瘤征象,但无大水肿改变(3)无明显占位征象
我认为考虑结核性肉芽肿可能性大
作者: 菜鸟03 时间: 2005-3-11 06:47
不支持转移瘤, 象多发脑膜瘤
作者: wqs_120 时间: 2005-3-11 06:56
标题: 回复:ct1101:[原创]脑内多发等高密度占位。向大家求教?谢
首先考虑颅内结核性肉芽肿。 但脑囊虫病不排除
作者: zsl6918 时间: 2005-3-11 16:42
标题: 回复:ct1101:[原创]脑内多发等高密度占位。向大家求教?谢
以下是引用建华在2005-3-10 16:49:41的发言:[br][emb6]脑转移瘤.建议胸部ct
作者: liuxin007 时间: 2005-3-11 17:05
[emb6]转移瘤
作者: lh098762lh 时间: 2005-3-11 17:07
要考虑转移瘤.因为病灶呈多个\"类园型\"肿块,并未见钙化灶,周围也无水肿带.
作者: 爱睡觉的猫 时间: 2005-3-11 18:48
标题: 回复:ct1101:[原创]脑内多发等高密度占位。向大家求教?谢
以下是引用mhy在2005-3-10 20:57:40的发言:[br]平扫仅见二个结节,但增强见有多发结节,且大多位于皮髓交界,未见明显钙化,年龄57岁,我认为首先考虑转移性肿瘤,不完全除外结核结节。
作者: 曼一拍 时间: 2005-3-11 19:06
[emb6]首先要考虑转移瘤。
作者: ttxs 时间: 2005-3-11 19:13
转移瘤可能性大
作者: liujf 时间: 2005-3-11 19:27
幕上幕下皮质及皮质下区多发散在等密度结节病灶,无水肿及占位,明显强化。
首先考虑多发肉芽肿
建议结合临床资料,不能单一ct影象表现。
作者: liujianghua7768 时间: 2005-3-11 22:20
支持转移癌,本人最近遇到一例肺癌脑多发转移的患者,也是脑内多发结节,周围没有水肿。
作者: 雷永彦 时间: 2005-3-11 22:52
支持结核性肉芽肿。
作者: 迷徒者 时间: 2005-3-12 00:17
病人年纪较大了,部位又是转移瘤的好发部位,并且基底池的形态是正常的,
我个人考虑脑转移瘤。并是所有的转移都一定符合小瘤大水肿的特点
作者: liaoqiang 时间: 2005-3-12 00:21
[emb6]转移瘤。
作者: gracexjp 时间: 2005-3-12 02:28
支持转移瘤
作者: 影子天使 时间: 2005-3-12 03:25
本例皮层及皮髓交界处的多发等高密度无水肿结节,考虑脑转移瘤可能性更大一些。
因为无水肿,而区别于结核肉芽肿,部分肺及骨的恶性肿瘤脑转移灶可无水肿,而无水肿的结核肉芽肿更少;结核肉芽肿多位于脑浅表部位,皮髓交界处很少见,而脑转移瘤更多位于此处(分水岭);结核肉芽肿平扫密度应更一致而非此例为等密度及稍高密度,增强扫描多为环形、结节形或不均匀强化,而非此例均匀性强化;结核性肉芽肿多伴有脑积水、脑梗塞,脑底池往往有较特征性的强化。
希望楼主能提供更详尽的临床病史,谢谢。
作者: caihe 时间: 2005-3-12 04:07
本例皮层及皮髓交界处的多发等高密度无水肿结节,考虑脑转移瘤可能性更大一些。
因为无水肿,而区别于结核肉芽肿,部分肺及骨的恶性肿瘤脑转移灶可无水肿,而无水肿的结核肉芽肿更少;结核肉芽肿多位于脑浅表部位,皮髓交界处很少见,而脑转移瘤更多位于此处(分水岭);结核肉芽肿平扫密度应更一致而非此例为等密度及稍高密度,增强扫描多为环形、结节形或不均匀强化,而非此例均匀性强化;结核性肉芽肿多伴有脑积水、脑梗塞,脑底池往往有较特征性的强化。
希望楼主能提供更详尽的临床病史,谢谢。
支持32楼的分析。
作者: zhangyouhong 时间: 2005-3-12 06:02
支持转移瘤
作者: wxy7406 时间: 2005-3-12 06:09
标题: 回复:ct1101:[原创]脑内多发等高密度占位。向大家求教?谢
以下是引用影子天使在2005-3-11 19:25:48的发言:[br]本例皮层及皮髓交界处的多发等高密度无水肿结节,考虑脑转移瘤可能性更大一些。[br]因为无水肿,而区别于结核肉芽肿,部分肺及骨的恶性肿瘤脑转移灶可无水肿,而无水肿的结核肉芽肿更少;结核肉芽肿多位于脑浅表部位,皮髓交界处很少见,而脑转移瘤更多位于此处(分水岭);结核肉芽肿平扫密度应更一致而非此例为等密度及稍高密度,增强扫描多为环形、结节形或不均匀强化,而非此例均匀性强化;结核性肉芽肿多伴有脑积水、脑梗塞,脑底池往往有较特征性的强化。[br]希望楼主能提供更详尽的临床病史,谢谢。
[emb6][emb6]
作者: dzhq 时间: 2005-3-12 06:13
转移瘤可能性大
作者: ASDCZJ 时间: 2005-3-12 06:25
转移瘤可能性大,重点查甲状腺肾上腺等原发血供丰富的脏器.
作者: 刘建平 时间: 2005-3-12 06:25
医学影像诊断不是选举,不是集会,喊的高不一定正确,所以不要老是[emb6][emb6][emb6][emb6]
经认真分析,我也考虑转移瘤,各位同道早已考虑在前,没办法,我也只好[emb6][emb6]了。
作者: 詹劲松 时间: 2005-3-12 07:07
谢谢大家的评论。我过去把转移瘤的周围水肿看得太重。对诊断影象很大。
作者: 哈理 时间: 2005-3-12 07:20
转移瘤,结核瘤,甚至于脑结节病都可以有类似表现,都要考虑,关键要结合临床其它方面的检查.
作者: 哥老百姓 时间: 2005-3-12 19:39
我也遇到过这样的病例.去上海,北京也没搞出啥明堂.也没找到抗酸杆菌.后来经过抗痨治疗,时间比较长.病人症状明显改善.结节也没了.最后诊断为结核性肉芽肿.
作者: 听蝉观竹 时间: 2005-3-12 20:52
[emb6]脑转移瘤。
作者: sa12345 时间: 2005-3-12 22:04
标题: 回复:ct1101:[原创]脑内多发等高密度占位。向大家求教?谢
adfsdafsda
作者: wanghuier 时间: 2005-3-12 23:29
没有水肿的转移瘤见到过,而没有水肿的肉芽肿没有见到过,。所以我也认为是转移瘤。
作者: cnh5083 时间: 2005-3-13 03:36
首先考虑结核性肉芽肿,建议提供临床资料,以除外转移瘤
作者: zhao6808 时间: 2005-3-13 04:59
考虑转移瘤吧
作者: meng-msp001 时间: 2005-3-13 05:27
不一定就是转移或结核肉牙肿,不会是其它少见病吗?
作者: 陈正林 时间: 2005-3-19 00:23
你说多发海绵状血管瘤我看很象建议做mrmr
作者: kjgj 时间: 2005-3-19 06:31
结核性肉芽肿的可能性大但也不排除有转移瘤的可能..
作者: 迷徒者 时间: 2005-3-19 06:53
怎么学没结果?相盼!
作者: YUJIANQI1978 时间: 2005-5-16 07:47
淋巴瘤 转移瘤?
作者: liaoqiang 时间: 2005-5-17 00:46
考虑脑转移瘤可能性大。在多发增强性病灶常见有1,转移,2,多灶性感染疾病,3,多发性硬化,4,寄生虫疾病。
作者: asdf1234 时间: 2005-5-17 03:47
双侧大脑皮髓质交界区多发结节考虑转移,有些小的转移瘤周围没有水肿
作者: cmg 时间: 2005-5-17 04:48
支持多发海绵状血管瘤表现。
作者: wnlyq8688 时间: 2005-5-17 05:22
首先考虑多发转移瘤
作者: luanhai 时间: 2005-5-17 18:26
转移或者多灶性感染疾病
我一直反对 转移瘤一定有明显的水肿的观点 不反对多读书 但不要读死书
还要看转移瘤的类型呀
那个人可以做个pet了
作者: 894072 时间: 2005-5-18 07:08
脑囊虫病,钙化
| 欢迎光临 医影在线 (http://bbs.radida.com/bbs/) |
Powered by Discuz! X3.2 |