医影在线
标题: PED0478:新生儿脑部,有短暂窒息史。 [打印本页]
作者: 西凡 时间: 2007-11-30 19:04
标题: PED0478:新生儿脑部,有短暂窒息史。
这是本人的一个亲戚,请大家费心看看。
新生儿,男性,5天,出生时有短暂窒息史。现一般情况较好,面色红润,无明显发绀,原始反射尚可。经治医生和家属均不放心,要求ct。



[本贴已被 jiajie 于 2007-11-30 15:17:57 修改过]
作者: 王仕学 时间: 2007-11-30 19:12
hie
作者: wangdch2008 时间: 2007-11-30 19:20
缺血缺氧性脑病
作者: 默契 时间: 2007-11-30 19:44
缺血缺氧性脑病
作者: 西凡 时间: 2007-11-30 19:50
标题: 回复:新生儿脑部,有短暂窒息史。
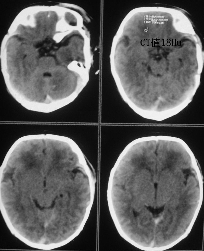
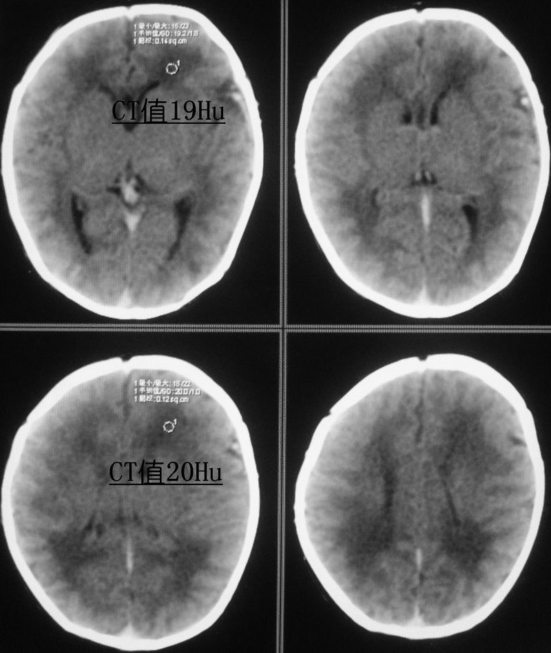
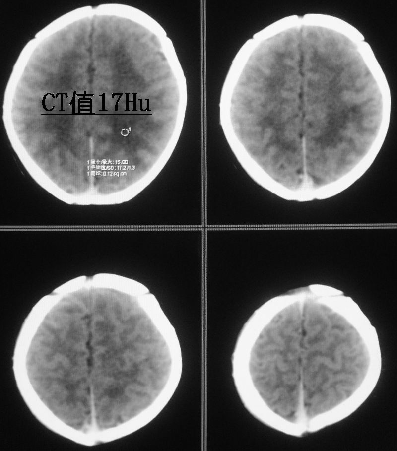
小孩脑实质内可见多发对称性低密度灶,ct值17~20hu,我也考虑有缺血缺氧性脑病存在。
可问题是患儿虽有短暂的窒息史,却并没有明显的临床症状,实在不好解释。这就牵涉到新生儿的脑的正常ct值的问题,为此专门查了一点资料:

曹连义等曾报道足月新生儿脑组织ct值明显低于儿童及成人,建议新生儿期ct正常值为18~40 hu,低于18 hu为低密度[1-2]。对不同胎龄新生儿脑组织ct值正常范围及平均值国内未见报道。本研究显示即使新生儿期若胎龄不同,各部位脑组织(小脑、脑干、基底节、丘脑、白质、灰质)ct值均明显不同,胎龄越小,脑ct值越低,与国外学者报道一致[3]。其原因:(1)与脑组织含水量有关,胎龄越小,脑组织含水量越多;(2)胎龄越小,神经细胞髓鞘形成越不完全。故足月新生儿脑组织ct值正常范围不适用于早产儿,不同胎龄新生儿应有不同的正常值,这样才不致于将早产儿正常发育过程中的脑组织低密度误诊为脑水肿、缺氧缺血性脑病。
作者: 5lwf5 时间: 2007-11-30 19:58
考虑轻度hie。
作者: bailaode 时间: 2007-11-30 20:28
新生儿缺血缺氧性脑病的诊断应紧密结合临床.片上所见之对称性稍低密度影,很可能是窗宽窗位未调好,本人在工作中也遇到过这种情况,调节好窗宽窗位可避免误诊.新生儿及儿量脑细胞水份含量多于成人,因此脑实质密度更低,脑沟亦较浅.
作者: ZHANGZHONGSHOU 时间: 2007-11-30 20:32
支持新生儿缺血缺氧性脑病
作者: 晓杰 时间: 2007-11-30 20:34
新生儿缺血缺氧性脑病的诊断应紧密结合临床;脑白质ct低于18hu考虑缺血缺氧改变。
作者: jinguoji 时间: 2007-11-30 20:56
支持新生儿缺血缺氧性脑病。
作者: sjh753 时间: 2007-11-30 21:31
支持hie
作者: ydx_74 时间: 2007-11-30 22:02
hie,有时不能仅仅考虑有无症状。
作者: dzctdcq 时间: 2007-11-30 22:29
支持新生儿缺血缺氧性脑病。建议去儿科按hie治疗,毕竟是亲戚,不能大意!
作者: dyqct 时间: 2007-11-30 22:53
支持轻度新生儿缺血缺氧性脑病。
作者: winter 时间: 2007-11-30 23:28
患儿左额部有软组织肿胀应该不是顺产,所以不是窗宽窗位造成的。
支持新生儿缺血缺氧性脑病。
不过如果临床症状不明显预后应该不错,好好喂养将来会是个人才!
作者: zyxkhyzzy 时间: 2007-12-1 00:20
标题: 回复:ped0478:新生儿脑部,有短暂窒息史。
以下是引用西凡在2007-11-30 11:50:00的发言:[br]小孩脑实质内可见多发对称性低密度灶,ct值17~20hu,我也考虑有缺血缺氧性脑病存在。[br]可问题是患儿虽有短暂的窒息史,却并没有明显的临床症状,实在不好解释。这就牵涉到新生儿的脑的正常ct值的问题,为此专门查了一点资料:[br]
[br]曹连义等曾报道足月新生儿脑组织ct值明显低于儿童及成人,建议新生儿期ct正常值为18~40 hu,低于18 hu为低密度[1-2]。对不同胎龄新生儿脑组织ct值正常范围及平均值国内未见报道。本研究显示即使新生儿期若胎龄不同,各部位脑组织(小脑、脑干、基底节、丘脑、白质、灰质)ct值均明显不同,胎龄越小,脑ct值越低,与国外学者报道一致[3]。其原因:(1)与脑组织含水量有关,胎龄越小,脑组织含水量越多;(2)胎龄越小,神经细胞髓鞘形成越不完全。故足月新生儿脑组织ct值正常范围不适用于早产儿,不同胎龄新生儿应有不同的正常值,这样才不致于将早产儿正常发育过程中的脑组织低密度误诊为脑水肿、缺氧缺血性脑病。
支持!!
作者: 同 时间: 2007-12-1 03:50
支持hie.
作者: 卜一 时间: 2007-12-2 05:41
缺血缺氧性脑病!
作者: 拾荒者 时间: 2007-12-3 05:42
标题: 回复:ped0478:新生儿脑部,有短暂窒息史。
以下是引用晓杰在2007-11-30 12:34:00的发言:[br]新生儿缺血缺氧性脑病的诊断应紧密结合临床;脑白质ct低于18hu考虑缺血缺氧改变。
作者: 石门之剑 时间: 2007-12-4 07:41
经常碰到类似问题,如果单纯从临床角度看,不像hie ,但这样的片子能不报吗?
作者: liaizhi 时间: 2007-12-5 05:19
支持hie,珠网膜下腔出血(少量)。
作者: 西凡 时间: 2007-12-10 23:51
今天又电话随访,小孩情况良好。
作者: yuhongjun 时间: 2010-5-3 17:09
支持新生儿缺血缺氧性脑病。
| 欢迎光临 医影在线 (http://bbs.radida.com/bbs/) |
Powered by Discuz! X3.2 |