医影在线

标题: PED0480:男 11天 主诉:呛咳后咳嗽,呼吸困难2天。查体:双 [打印本页]

作者: 眼睛    时间: 2007-12-2 22:03
标题: PED0480:男 11天 主诉:呛咳后咳嗽,呼吸困难2天。查体:双
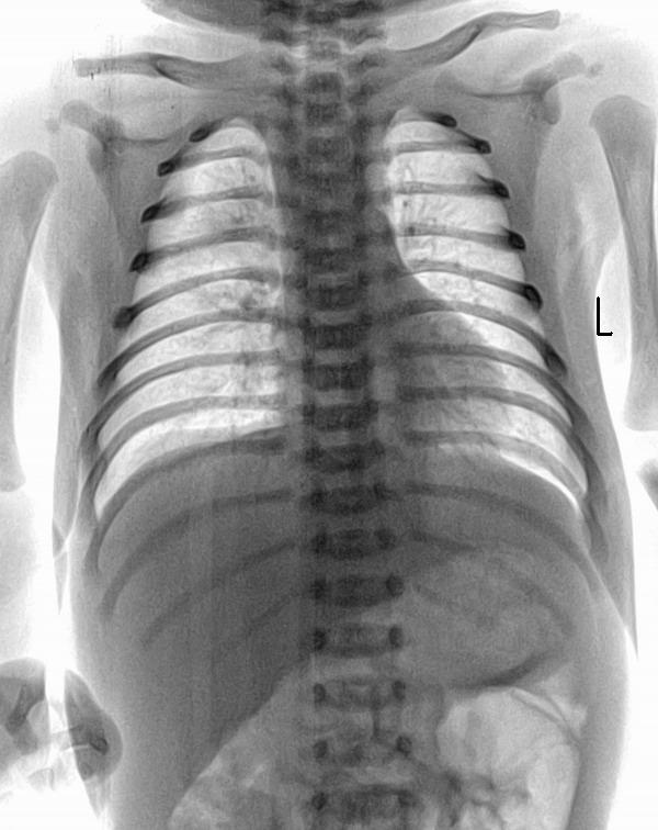
男 11天 主诉:呛咳后咳嗽,呼吸困难2天。查体:双肺呼吸音粗,可闻及明显水泡音





[本贴已被 jiajie 于 2007-12-2 20:37:42 修改过]

作者: tfq6909    时间: 2007-12-2 22:08
右肺上野考虑吸入性肺炎
作者: 王仕学    时间: 2007-12-2 22:37
考虑吸入性肺炎
作者: luoyanmin    时间: 2007-12-2 23:14
新生儿肺炎,肺气肿,纹理重,右上淡片影.
作者: 同    时间: 2007-12-2 23:18
考虑新生儿肺炎
作者: 卜一    时间: 2007-12-2 23:37
支持:吸入性肺炎!
作者: cmj    时间: 2007-12-3 00:47
吸入性肺炎
作者: 余辉    时间: 2007-12-3 01:21
考虑新生儿肺炎,抗炎后复查
作者: 731208    时间: 2007-12-3 03:09
支持:吸入性肺炎
作者: hexue    时间: 2007-12-3 03:23
结合病史考虑吸入性肺炎
作者: 蜗牛在家    时间: 2007-12-3 03:28
右肺前叶吸入性肺炎.建议治疗后复查
作者: zhw974247    时间: 2007-12-3 03:50
右肺上野可见淡片状阴影,边不清,结合病史考虑吸入性肺炎。
作者: 黑白光影    时间: 2007-12-3 03:57
据临床症状考虑吸入性肺炎可能性大。
作者: liuyue    时间: 2007-12-3 03:59
结合病史考虑吸入性肺炎
作者: yingjiayiyuan    时间: 2007-12-3 04:23
考虑吸入性肺炎
作者: abmwc    时间: 2007-12-3 04:26
右上肺吸入性肺炎。
作者: 拾荒者    时间: 2007-12-3 05:17
双肺纹理增强,右肺中上野内中带示淡薄云絮状阴影,结合病史考虑吸入性肺炎。
作者: ZHANGZHONGSHOU    时间: 2007-12-3 15:50
右肺炎症,请仔细询问呛咳史,警惕支气管异物。
作者: liangshusheng    时间: 2007-12-3 21:42
考虑新生儿肺炎,抗炎后复查
作者: 宝天曼    时间: 2007-12-4 05:02
结合病史考虑吸入性肺炎
作者: liaizhi    时间: 2007-12-5 05:14
考虑右肺上叶炎 变。(结合病史考虑吸入性炎变。气管异物?)
作者: pw1314521    时间: 2007-12-5 08:11
支持吸入性肺炎
作者: jiangjing    时间: 2007-12-6 01:00
右肺上野可见淡片状阴影,边不清,结合病史考虑吸入性肺炎。
作者: 阿狼    时间: 2007-12-7 17:34
右上肺符合吸入性肺炎
作者: jinguoji    时间: 2007-12-9 20:41
标题: 回复
以下是引用zhangzhongshou在2007-12-3 7:50:00的发言:[br]右肺炎症,请仔细询问呛咳史,警惕支气管异物。

支持!
作者: 图克    时间: 2009-1-14 00:15
吸入性肺炎




欢迎光临 医影在线 (http://bbs.radida.com/bbs/) Powered by Discuz! X3.2