医影在线
标题: PED0482:小儿肺,老师们给个意见!纵隔?[ [打印本页]
作者: 眼睛 时间: 2007-12-2 22:13
标题: PED0482:小儿肺,老师们给个意见!纵隔?[
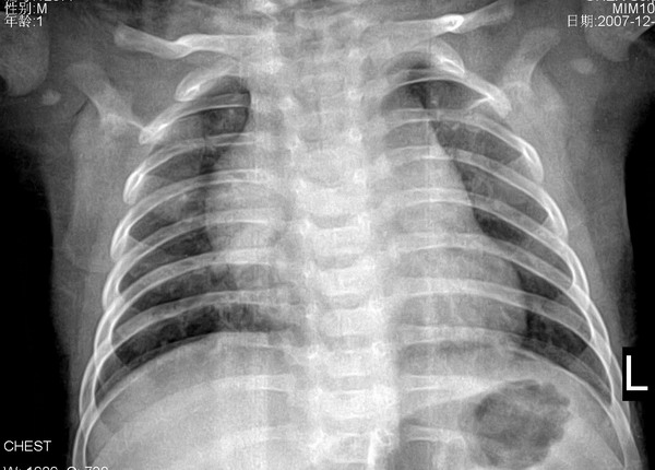
小儿肺1 仰卧前后位, 男110天,咳嗽2天,夜间尤甚,心脏听诊断无异常, 老师们给个意见!纵隔?


[本贴已被 jiajie 于 2007-12-2 20:38:28 修改过]
作者: shang2 时间: 2007-12-2 22:23
胸腺增大
作者: 王仕学 时间: 2007-12-2 22:33
仰卧前后位,是上腔吧
作者: luoyanmin 时间: 2007-12-2 22:58
小儿新影正常,有气肿改变纹理重,小儿肺炎.
作者: 卜一 时间: 2007-12-2 23:34
未见异常!
作者: 余辉 时间: 2007-12-3 01:18
还是建议心超检查吧
作者: 常山真人 时间: 2007-12-3 02:41
心影未见异常
作者: 731208 时间: 2007-12-3 02:56
未见明显异常
作者: hexue 时间: 2007-12-3 03:19
支气管肺炎
作者: 蜗牛在家 时间: 2007-12-3 03:20
加照侧位片,,先考虑胸腺增大.
作者: wenyufen 时间: 2007-12-3 03:48
胸腺增大
作者: 黑白光影 时间: 2007-12-3 03:54
建议加个胸部透视。“心脏听诊无异常”也应做个心超检查一下放心些。
作者: liuyue 时间: 2007-12-3 04:05
先考虑胸腺增大.心肺膈未见明显异常。
作者: zhw974247 时间: 2007-12-3 04:06
建议做心脏超声或站立位透视一下。
作者: yingjiayiyuan 时间: 2007-12-3 04:18
纵隔增宽是胸腺影,心脏建议彩超
作者: 李龙 时间: 2007-12-3 04:30
正常胸腺
作者: 拾荒者 时间: 2007-12-3 05:14
标题: 回复:ped0482:小儿肺,老师们给个意见!纵隔?[
以下是引用zhw974247在2007-12-2 20:06:00的发言:[br]建议做心脏超声或站立位透视一下。
作者: ydx_74 时间: 2007-12-3 07:16
正常。仰卧位纵隔心影都增宽
作者: ZHANGZHONGSHOU 时间: 2007-12-3 15:44
标题: 回复
小儿正常胸腺似胸腺肥大。
[本贴已被 zhangzhongshou 于 2007-12-3 7:45:42 修改过]
作者: LIAOQIANG 时间: 2007-12-3 23:27
考虑胸腺增大。建议心超检查。
作者: dyqct 时间: 2007-12-4 02:52
支持胸腺肥大所致。
作者: 石门之剑 时间: 2007-12-4 07:33
不太像增大的胸腺,支气管肺炎诊断请结合临床病史。
作者: jiangjing 时间: 2007-12-6 00:57
支气管肺炎----纹理增重,双下肺可见小斑状增密影。
作者: wangzhengyuan 时间: 2007-12-9 06:16
未见明显异常
作者: jinguoji 时间: 2007-12-9 20:18
支持胸腺肥大所致。
作者: 图克 时间: 2009-1-14 00:14
有心缘改变首先考虑为胸腺所致,考虑支气管肺炎
作者: wangweitao 时间: 2009-1-21 06:22
加照侧位片,,先考虑胸腺增大.
| 欢迎光临 医影在线 (http://bbs.radida.com/bbs/) |
Powered by Discuz! X3.2 |