医影在线

标题: CT10687:肾脏CT,请会诊 [打印本页]

作者: wlq66556    时间: 2007-12-3 03:25
标题: CT10687:肾脏CT,请会诊
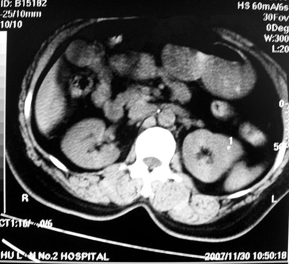
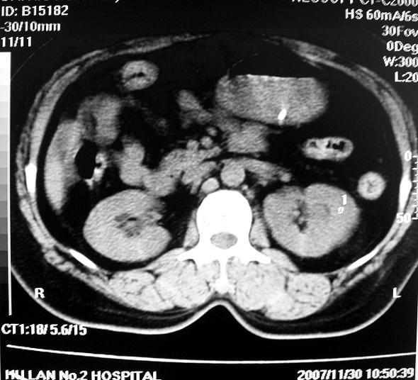
女,53岁,尿频尿急来诊,其他层面无异常未上传。







[本贴已被 jiajie 于 2007-12-2 20:27:55 修改过]

作者: liuyue    时间: 2007-12-3 03:35
楼主所指部位应该是正常的表现。
建议:结合b超或强化ct扫描。
作者: yingjiayiyuan    时间: 2007-12-3 03:49
同意楼上意见
作者: 卜一    时间: 2007-12-3 03:56
应该是正常的表现!建议增强!
作者: 同    时间: 2007-12-3 04:04
建议结合b超或增强扫描.
作者: qiushi    时间: 2007-12-3 04:06
应该是正常的表现!建议增强!
作者: 大漠孤雁    时间: 2007-12-3 04:29
未见异常.
作者: yy杨洋    时间: 2007-12-3 04:29
标题: 回复:ct10687:肾脏ct,请会诊
以下是引用qiushi在2007-12-2 20:06:00的发言:[br]应该是正常的表现!建议增强![br]

作者: 蜗牛在家    时间: 2007-12-3 04:32
肾柱肥大可能?请增强结合b超
作者: zyyzzy    时间: 2007-12-3 04:37
像是一个正常的驼峰样改变!!不放心就做个增强
作者: 余辉    时间: 2007-12-3 04:40
标题: 回复:ct10687:肾脏ct,请会诊

作者: xulianj    时间: 2007-12-3 04:57
应该是正常的表现!左肾上极外侧变异较多;建议增强!
作者: wansheng    时间: 2007-12-3 05:35
是正常的表现,建议增强。
作者: zsfzaj    时间: 2007-12-3 05:43
不放心就增强。
作者: zsl6918    时间: 2007-12-3 05:45
有事没事强化以后再说!
作者: ydx_74    时间: 2007-12-3 06:09
正常!日常检查中多有肾驼峰状改变,为正常变异
作者: 小初学者    时间: 2007-12-3 17:52
标题: 回复:ct10687:肾脏ct,请会诊
以下是引用zyyzzy在2007-12-2 20:37:00的发言:[br]像是一个正常的驼峰样改变!!不放心就做个增强

作者: ZHANGZHONGSHOU    时间: 2007-12-3 21:01
标题: 回复:ct10687:肾脏ct,请会诊
以下是引用ydx_74在2007-12-2 22:09:00的发言:[br]正常!日常检查中多有肾驼峰状改变,为正常变异

作者: tfq6909    时间: 2007-12-3 21:49
还是增强一下,看的有点别扭
作者: lirenxiong    时间: 2007-12-3 21:58
应该是正常的表现!建议增强,胃腔怎么是实性表现,请传全图象!
作者: 晓杰    时间: 2007-12-3 22:07
未见异常
作者: 拾荒者    时间: 2007-12-4 02:46
考虑为正常肾柱表现,建议结合b超或增强扫描.
作者: 求知若渴    时间: 2007-12-4 03:47
增强
作者: yugongyishan    时间: 2007-12-4 03:58
未见明显异常,建议增强
作者: 宝天曼    时间: 2007-12-4 04:47
应该是正常的表现!建议增强




欢迎光临 医影在线 (http://bbs.radida.com/bbs/) Powered by Discuz! X3.2