医影在线
标题: CT10688:男63岁胸痛来诊 [打印本页]
作者: wlq66556 时间: 2007-12-3 03:54
标题: CT10688:男63岁胸痛来诊
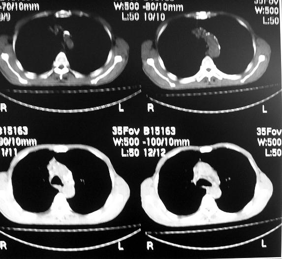
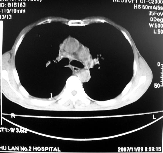
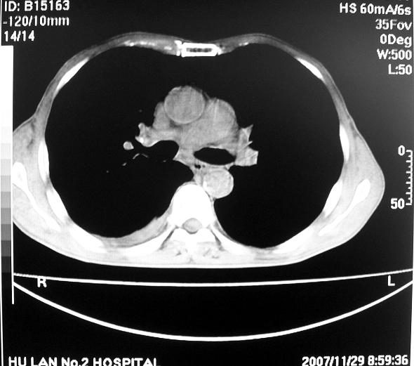
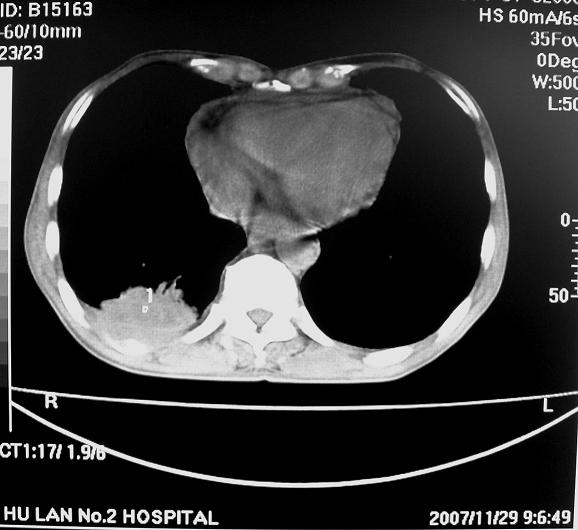
男63岁胸痛来诊






















[本贴已被 jiajie 于 2007-12-2 20:29:16 修改过]
作者: 同 时间: 2007-12-3 04:15
考虑肺癌肺转移.
作者: jinzhi12 时间: 2007-12-3 04:18
标题: 1
右下肺周围性肺ca并双肺及右侧胸膜转移。[emb6]
[本贴已被 jinzhi12 于 2007-12-2 20:19:52 修改过]
作者: mty 时间: 2007-12-3 04:22
左下肺ca伴双肺及纵隔淋巴转移
作者: mty 时间: 2007-12-3 04:24
打错了,是右下肺
作者: mty 时间: 2007-12-3 04:27
打错了,是右下肺ca
作者: 余辉 时间: 2007-12-3 04:29
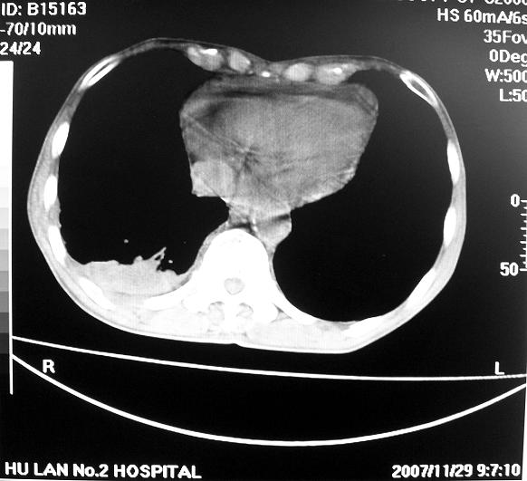
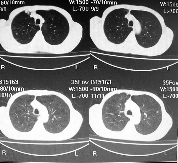
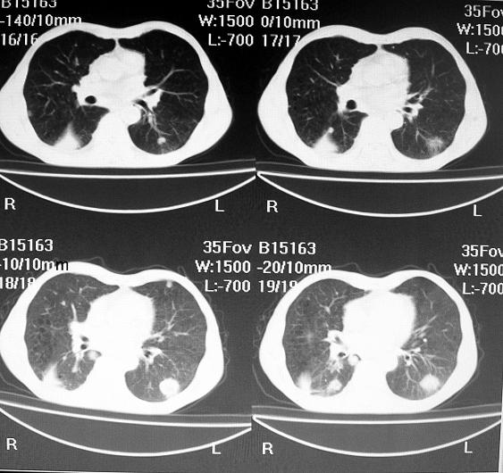
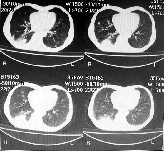
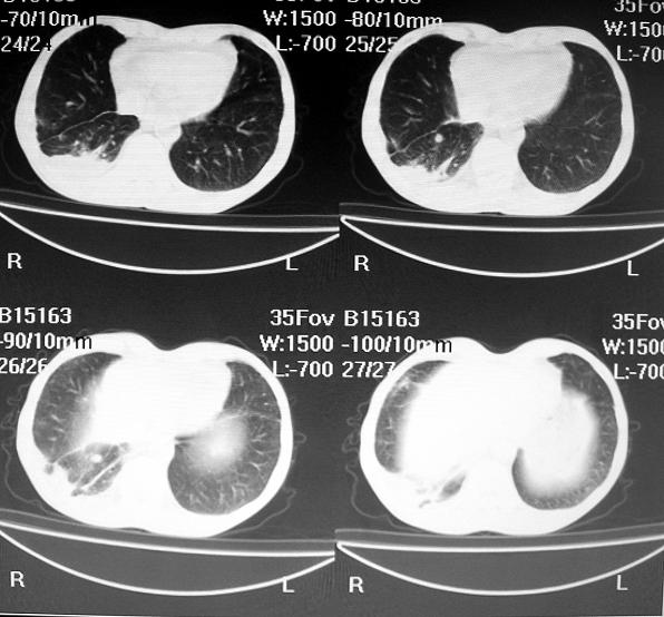
右肺病灶前缘不平整,略呈分叶状,其后方胸膜下脂线消失且似有向胸壁浸犯,左下肺球形灶内可见不规则空洞影,余双肺内可见多枚结节影,结合病史支持考虑肺癌肺内转移胸膜转移,便双肺后部病灶倒也是结核好发区域,建议穿刺活检
作者: yy杨洋 时间: 2007-12-3 04:40
标题: 回复:ct10688:男63岁胸痛来诊
以下是引用同在2007-12-2 20:15:00的发言:[br]考虑肺癌肺转移.
作者: wangdch2008 时间: 2007-12-3 04:50
右下肺周围性肺ca并双肺及右侧胸膜转移。支持
作者: yxwsd 时间: 2007-12-3 04:52
肺癌肺转移. 胸膜转移。
作者: xulianj 时间: 2007-12-3 04:53
考虑肺癌肺内转移.
作者: liuqiang 时间: 2007-12-3 04:59
右下肺周围性肺ca并双肺及右侧胸膜转移。
作者: ydx_74 时间: 2007-12-3 04:59
右下肺周围性肺ca并双肺及右侧胸膜转移。单看病变像炎性假瘤。
作者: 独角戏 时间: 2007-12-3 05:17
右下肺癌,双肺及胸膜转移
作者: YANGWQ 时间: 2007-12-3 05:22
支持
作者: dr.yang 时间: 2007-12-3 05:24
右下肺癌伴双肺及胸膜转移。
作者: 卜一 时间: 2007-12-3 05:38
肺癌肺内转移及胸膜转移!支持!
作者: zyyzzy 时间: 2007-12-3 06:20
考虑肺癌肺转移
作者: 狙击手 时间: 2007-12-3 06:56
标题: 回复:ct10688:男63岁胸痛来诊
以下是引用余辉在2007-12-2 20:29:00的发言:[br]右肺病灶前缘不平整,略呈分叶状,其后方胸膜下脂线消失且似有向胸壁浸犯,左下肺球形灶内可见不规则空洞影,余双肺内可见多枚结节影,结合病史支持考虑肺癌肺内转移胸膜转移,便双肺后部病灶倒也是结核好发区域,建议穿刺活检
支持!
作者: 拾荒者 时间: 2007-12-4 02:53
标题: 回复:ct10688:男63岁胸痛来诊
[quote]以下是引用余辉在2007-12-2 20:29:00的发言:[br]右肺病灶前缘不平整,略呈分叶状,其后方胸膜下脂线消失且似有向胸壁浸犯,左下肺球形灶内可见不规则空洞影,余双肺内可见多枚结节影,结合病史支持考虑肺癌肺内转移胸膜转移。
支持!警惕韦格氏肉芽肿。
作者: 求知若渴 时间: 2007-12-4 03:53
左肺病灶内可见空泡征及典型的胸膜牵拉征,不排除原发周围型肺癌的可能.
作者: 宝天曼 时间: 2007-12-4 04:49
建议抗炎后复查
| 欢迎光临 医影在线 (http://bbs.radida.com/bbs/) |
Powered by Discuz! X3.2 |