


















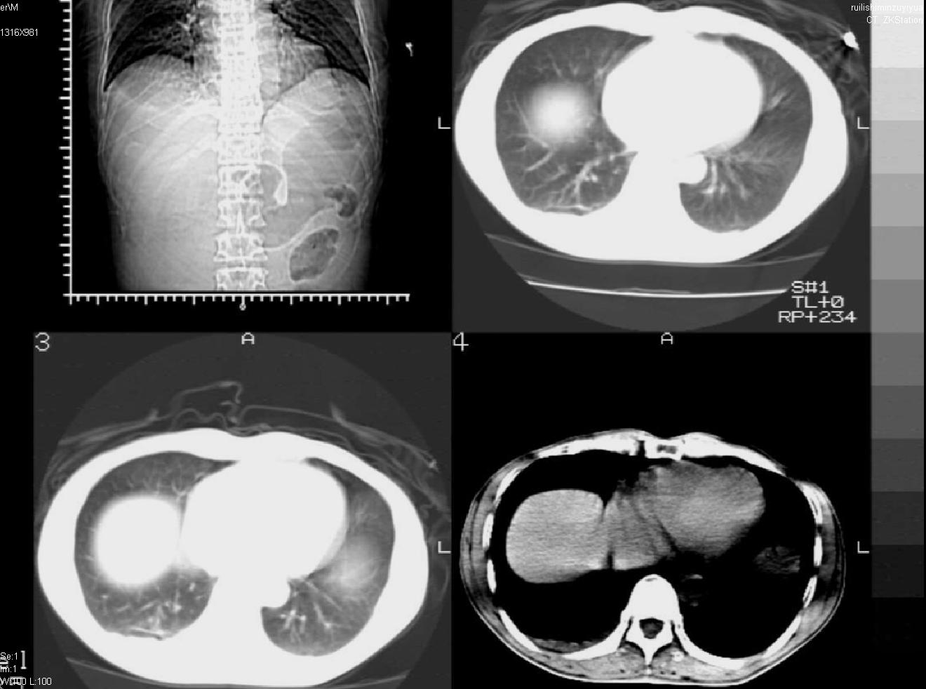
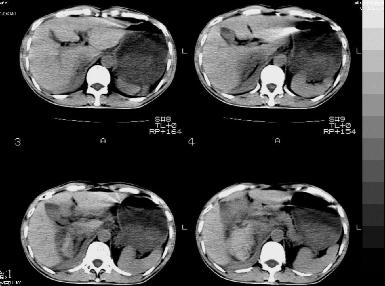
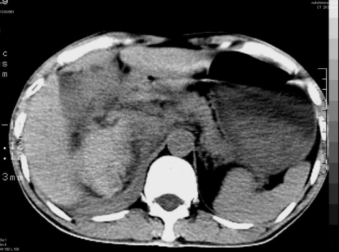
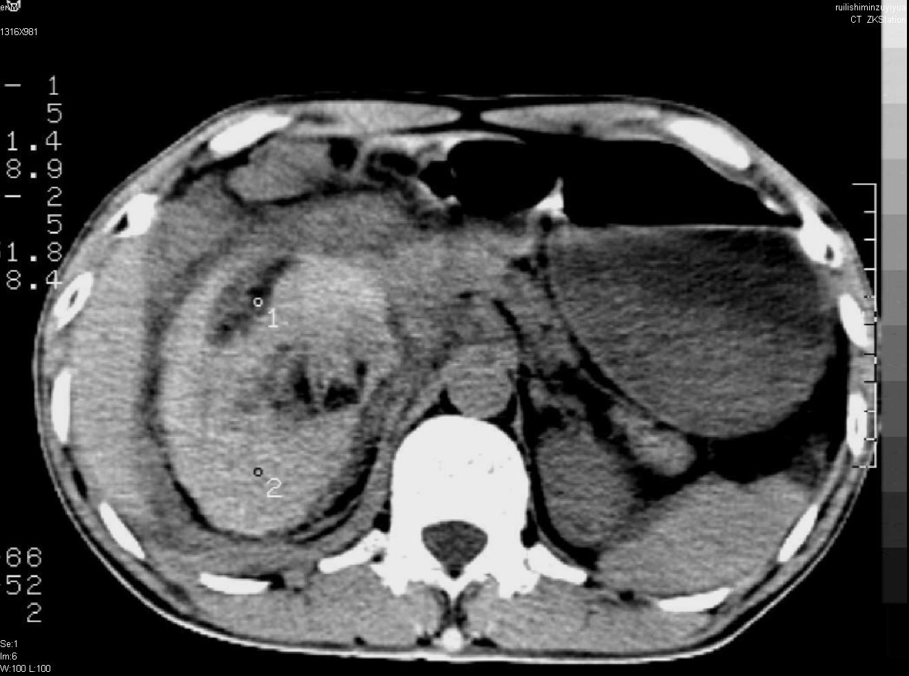
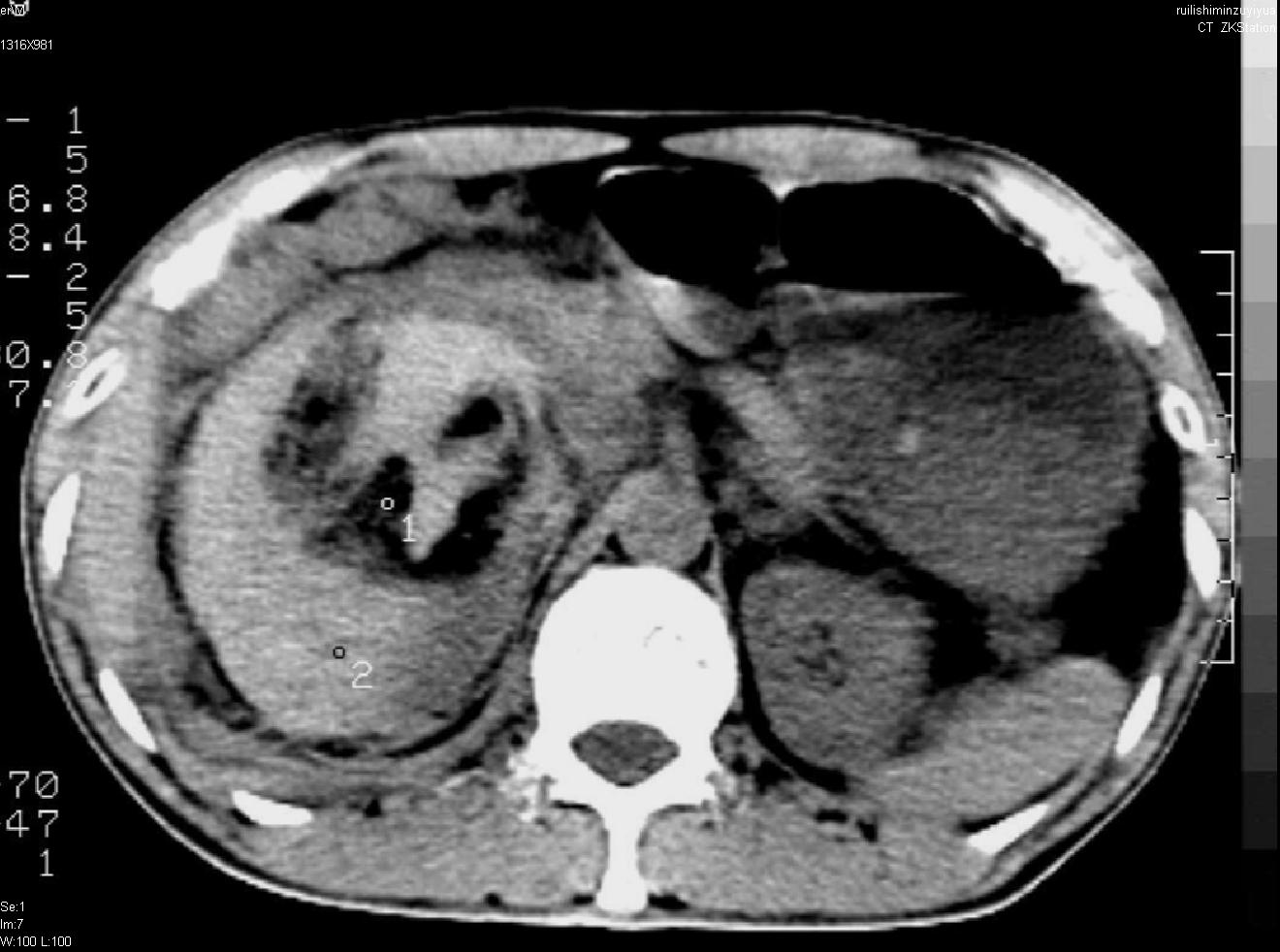
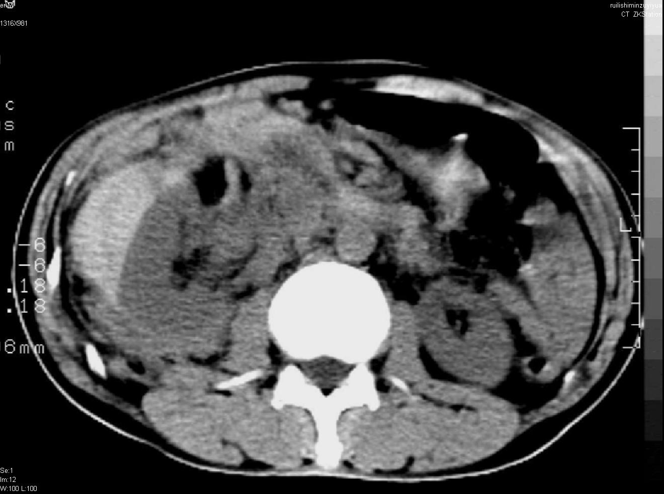
以下是引用liuyue在2007-12-3 6:27:00的发言:[br]右肾区可见密度不均匀、边缘欠清之肿块影,肾脏筋膜增厚,周围脂肪密度增高。右侧胸膜腔内可见少量液体密度影。考虑:1.右肾错构瘤(肾血管平滑肌脂肪瘤)可能性大。2.右侧少量胸腔积液。[br] 鉴别:1.肾脂肪肉瘤。2.肾平滑肌肉瘤。3.肾错构瘤恶变。
以下是引用dyqct在2007-12-3 7:38:00的发言:[br][quote]以下是引用liuyue在2007-12-3 6:27:00的发言:[br]右肾区可见密度不均匀、边缘欠清之肿块影,肾脏筋膜增厚,周围脂肪密度增高。右侧胸膜腔内可见少量液体密度影。考虑:1.右肾错构瘤(肾血管平滑肌脂肪瘤)可能性大。2.右侧少量胸腔积液。[br] 鉴别:1.肾脂肪肉瘤。2.肾平滑肌肉瘤。3.肾错构瘤恶变。
| 欢迎光临 医影在线 (http://bbs.radida.com/bbs/) | Powered by Discuz! X3.2 |