



















以下是引用余辉在2007-12-5 17:25:00的发言:[br]右侧股骨颈及粗隆区略显膨胀,密度增高略呈不均匀毛玻璃样改变,骨皮质毛糙,考虑1骨纤2骨髓瘤3转移瘤,建议上传软组织窗
以下是引用余辉在2007-12-5 17:25:00的发言:[br]右侧股骨颈及粗隆区略显膨胀,密度增高略呈不均匀毛玻璃样改变,骨皮质毛糙,考虑1骨纤2骨髓瘤3转移瘤,建议上传软组织窗
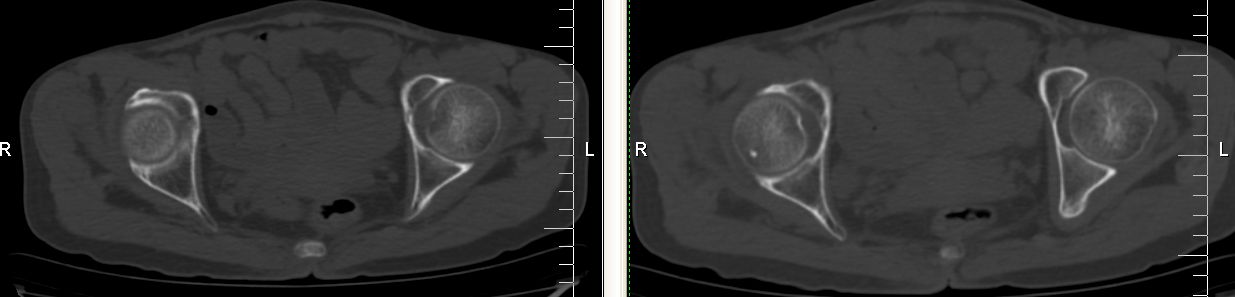
以下是引用余辉在2007-12-5 17:25:00的发言:[br]右侧股骨颈及粗隆区略显膨胀,密度增高略呈不均匀毛玻璃样改变,骨皮质毛糙,考虑1骨纤2骨髓瘤3转移瘤,建议上传软组织窗
| 欢迎光临 医影在线 (http://bbs.radida.com/bbs/) | Powered by Discuz! X3.2 |