医影在线
标题: CT10752:F,52岁,反复上腹部疼痛,平扫+增强. [打印本页]
作者: 王仕学 时间: 2007-12-6 21:39
标题: CT10752:F,52岁,反复上腹部疼痛,平扫+增强.
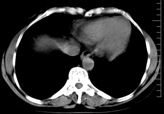
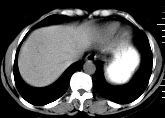
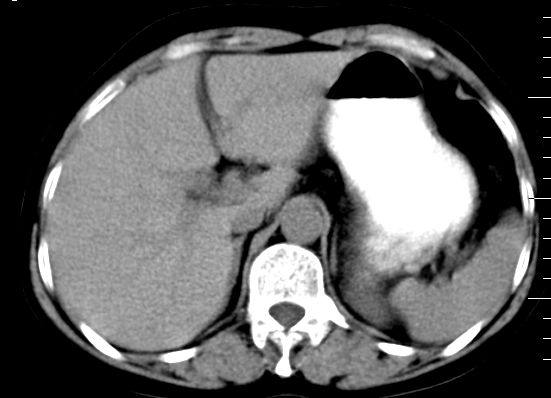
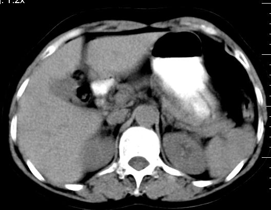
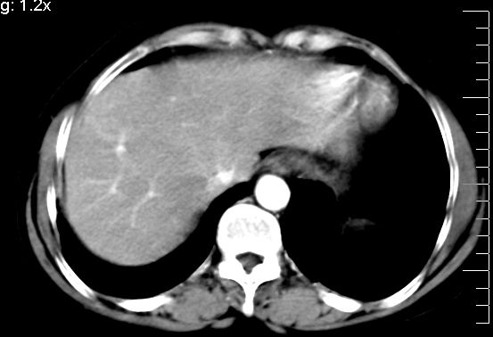
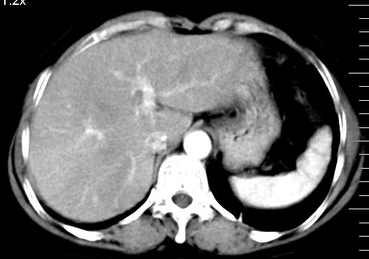
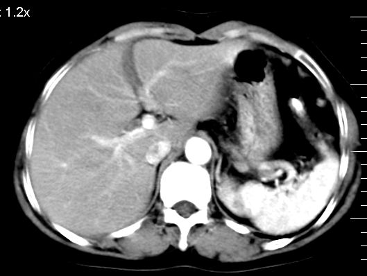
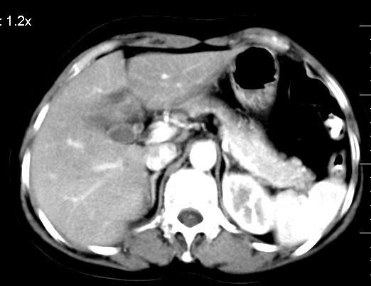
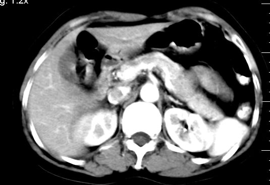
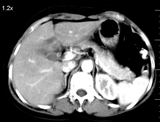
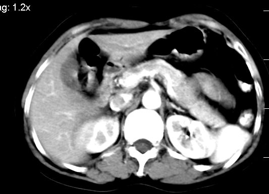
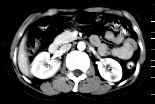
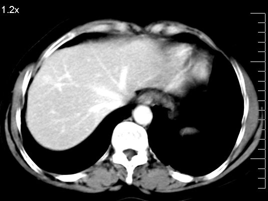
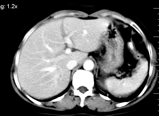
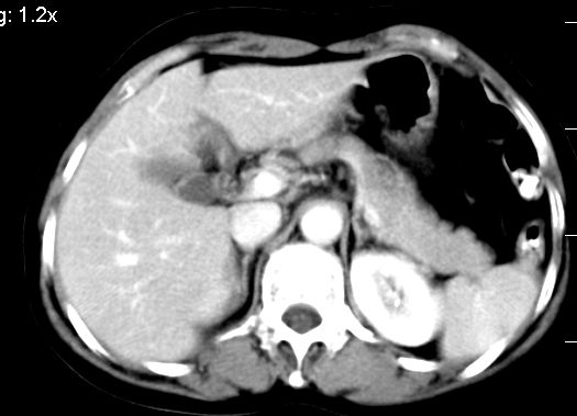
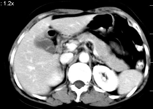
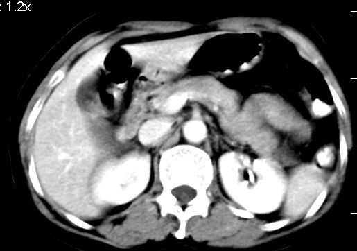
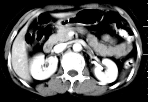
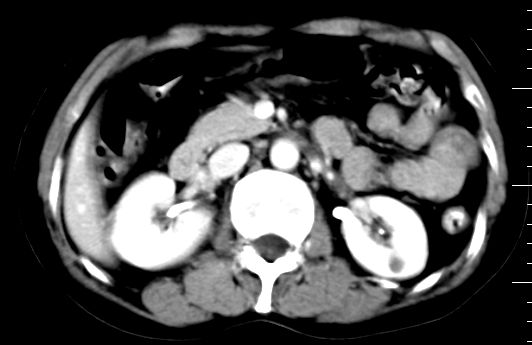
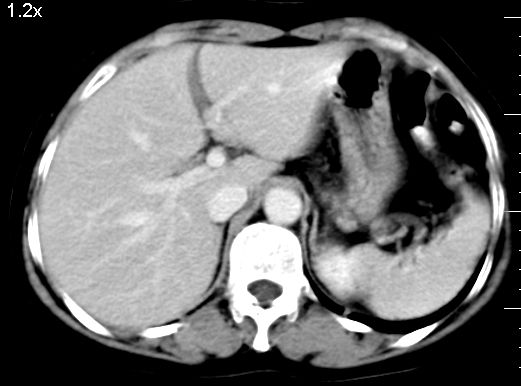
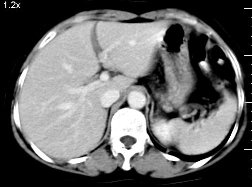
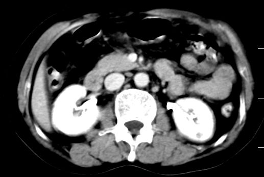
f、52岁,反复上腹部疼痛2年。肺结核病史10多年,胸片双上肺结核纤维化。



















































[本贴已被 jiajie 于 2007-12-6 19:11:38 修改过]
作者: andymaomao 时间: 2007-12-6 21:58
中上腹部ct扫描未见确切实质性病灶。
作者: 刘明 时间: 2007-12-6 22:37
标题: 回复
肝顶处小血管瘤,左肾小囊肿
[本贴已被 刘明 于 2007-12-6 14:38:07 修改过]
作者: 九目段 时间: 2007-12-6 22:49
第一天做平扫,第二天做强化
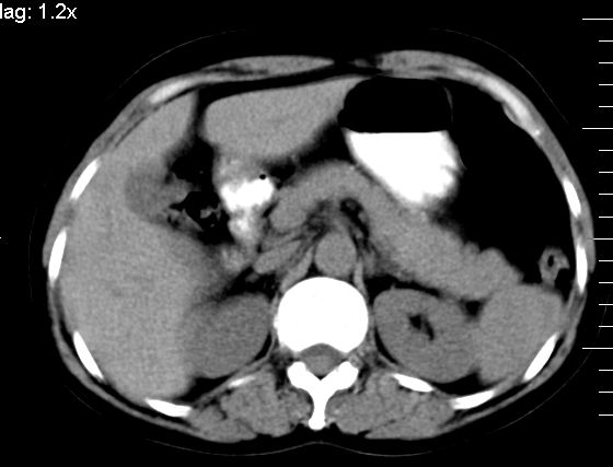
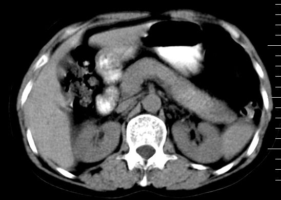
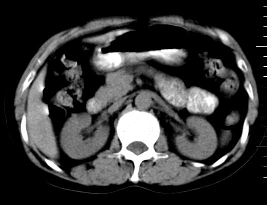
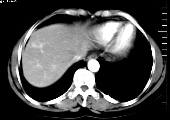
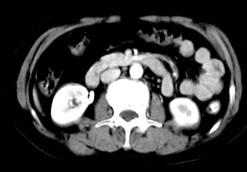
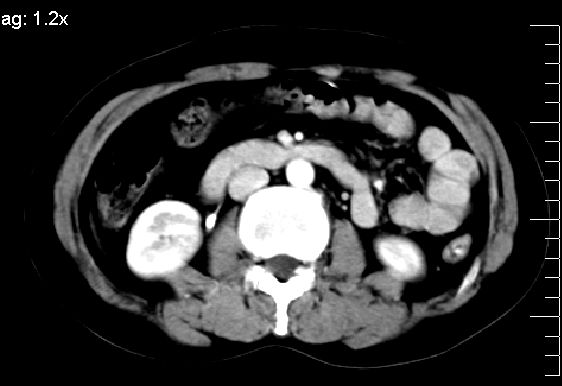
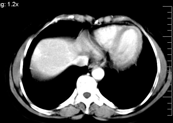
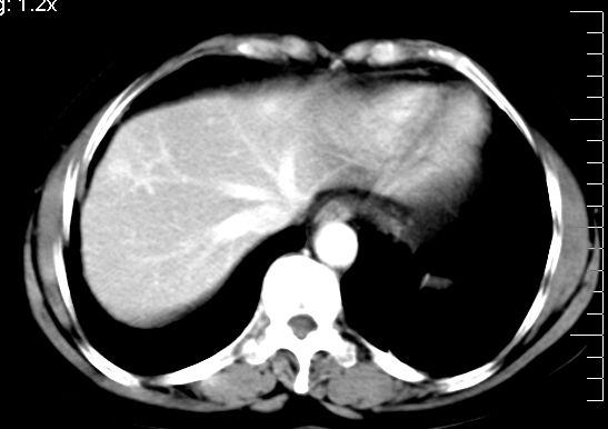
ct表现:
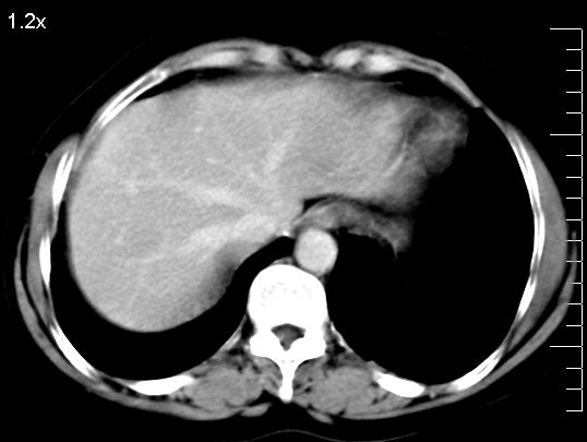
肝大小形态未见异常,肝内外胆管无扩张,肝s8段见一动脉期明显血管样强化结节,门脉期呈高密度,延迟期呈等密度,胆囊不大,增强扫描见胆囊及胆囊颈管壁增厚,有强化。
双肾灌注良好,代谢增快,动脉期肾盂见造影剂,左肾下极背侧见一略低密度病灶,延迟期见似不强化囊肿,双侧肾上腺未见异常。
胰腺及脾未见异常。肾门水平腹膜后见小淋巴结。腹腔未见积液征象。
诊断:
1、胆囊炎(轻度)。
2、肝s8段结节,考虑小血管瘤。
3、左肾下极低密度灶,考虑囊肿可能性大,建议随访,除外小肾癌(无强化可以基本除外)。
4、目前ct表现尚不能解释患者上腹部疼痛,建议上消造影检查,除外胃炎等疾患。
作者: 卜一 时间: 2007-12-6 23:14
肝右上叶血管瘤!
作者: 1895 时间: 2007-12-6 23:49
考虑肝小血管瘤
作者: dyqct 时间: 2007-12-6 23:53
考虑肝右叶前上段包膜下小血管瘤。
作者: qiushi 时间: 2007-12-7 00:19
考虑肝右叶前上段包膜下小血管瘤
作者: muzi888 时间: 2007-12-7 00:57
小血管瘤!
作者: xiaopiao 时间: 2007-12-7 02:36
支持肝右前叶上段小血管瘤
作者: 宇宙ct 时间: 2007-12-7 02:48
支持肝右前叶上段小血管瘤
作者: gdxiaozhe 时间: 2007-12-7 03:33
肝顶处小血管瘤,左肾小囊肿
作者: ring002 时间: 2007-12-7 03:44
胆囊炎(轻度)。
肝s8段结节,考虑小血管瘤。
左肾下极低密度灶,考虑囊肿可能性大,建议必要时复查
作者: qiuleiyu 时间: 2007-12-7 03:49
支持;右肝8段小血管瘤,左肾囊肿.
作者: yugongyishan 时间: 2007-12-7 03:56
支持肝右叶前段包膜下血管瘤
作者: 同 时间: 2007-12-7 04:05
支持肝右叶前段小血管瘤
作者: liuyue 时间: 2007-12-7 04:18
考虑1.肝右上叶血管瘤;2.左肾囊肿。
作者: wangjj555 时间: 2007-12-7 04:25
支持肝右前叶上段小血管瘤
作者: xulianj 时间: 2007-12-7 04:36
肝圆顶部小血管瘤,左肾小囊肿
作者: 摘星空竹子 时间: 2007-12-7 04:45
支持楼上意见.
作者: 拾荒者 时间: 2007-12-7 05:00
1.肝右上叶血管瘤;2.左肾囊肿。
作者: liuyudun 时间: 2007-12-7 05:14
支持肝右前叶上段小血管瘤
作者: wzr 时间: 2007-12-7 05:48
1、胆囊炎
2、肝s8小血管瘤。
3、左肾下极囊肿.
作者: zsl6918 时间: 2007-12-7 06:27
肝小血管瘤,左肾良性病变
作者: 石门之剑 时间: 2007-12-7 08:19
1、胆囊炎
2、肝s8小血管瘤。
3、左肾下极囊肿.
作者: 宝天曼 时间: 2007-12-7 14:57
考虑肝右叶前上段包膜下小血管瘤
作者: 宇宙ct 时间: 2007-12-7 16:26
第一天做平扫,第二天做强化
ct表现:
肝大小形态未见异常,肝内外胆管无扩张,肝s8段见一动脉期明显血管样强化结节,门脉期呈高密度,延迟期呈等密度,胆囊不大,增强扫描见胆囊及胆囊颈管壁增厚,有强化。
双肾灌注良好,代谢增快,动脉期肾盂见造影剂,左肾下极背侧见一略低密度病灶,延迟期见似不强化囊肿,双侧肾上腺未见异常。
胰腺及脾未见异常。肾门水平腹膜后见小淋巴结。腹腔未见积液征象。
诊断:
1、胆囊炎(轻度)。
2、肝s8段结节,考虑小血管瘤。
3、左肾下极低密度灶,考虑囊肿可能性大,建议随访,除外小肾癌(无强化可以基本除外)。
4、目前ct表现尚不能解释患者上腹部疼痛,建议上消造影检查,除外胃炎等疾患。
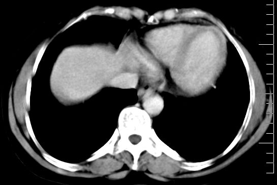
5.增强,脾特别明显是怎么回事?
作者: LIAOQIANG 时间: 2007-12-7 17:20
考虑肝右叶前上段包膜下小血管瘤。左肾囊肿。
作者: guanaishengming 时间: 2007-12-7 18:39
血管瘤
作者: LFX0804 时间: 2007-12-7 18:52
肝上近膈顶小血管瘤
左肾下级外缘近包膜下小囊肿
作者: 爱人 时间: 2007-12-7 19:02
肝右叶前上段血管瘤
作者: jinguoji 时间: 2007-12-8 06:13
考虑肝右叶前上段包膜下小血管瘤。
| 欢迎光临 医影在线 (http://bbs.radida.com/bbs/) |
Powered by Discuz! X3.2 |