医影在线
标题: CT10753:女, 64岁 隔疝 [打印本页]
作者: whatpeoper 时间: 2007-12-7 00:16
标题: CT10753:女, 64岁 隔疝
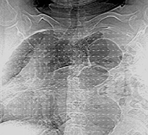
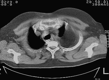
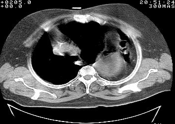
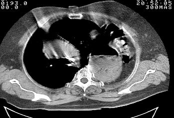
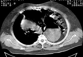
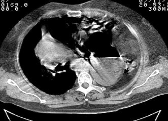
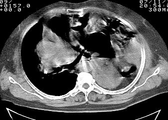
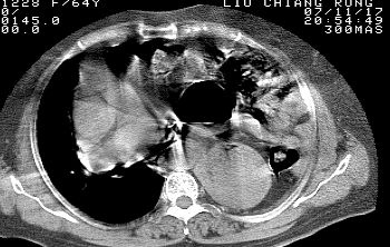
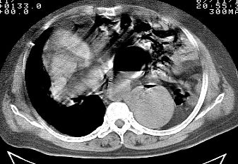
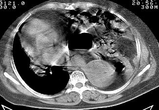
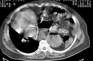
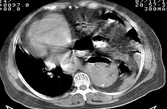
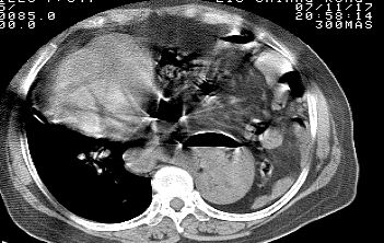
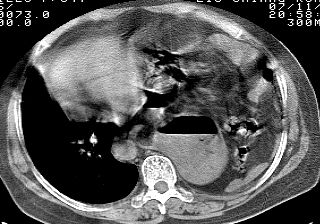
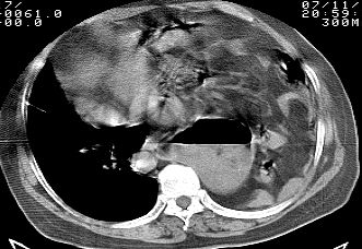
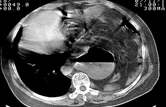
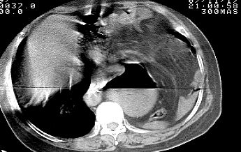
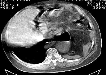
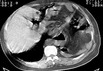
女, 64岁 三十年前胸部外伤史, 间断胸闷,




















[本贴已被 whatpeoper 于 2007-12-6 16:17:00 修改过]
[本贴已被 jiajie 于 2007-12-6 19:13:10 修改过]
作者: qiushi 时间: 2007-12-7 01:12
膈疝,支持!
作者: 甲子114 时间: 2007-12-7 01:16
学习了
作者: 齐原 时间: 2007-12-7 01:23
典型左侧膈疝,疝出物为胃和大网膜,纵隔右移
作者: 卜一 时间: 2007-12-7 01:52
典型左侧膈疝!原因待查!
作者: xiaopiao 时间: 2007-12-7 02:25
支持膈疝
作者: 宇宙ct 时间: 2007-12-7 02:39
典型左侧膈疝,疝出物为胃和大网膜,纵隔右移
稀钡剂造影就更好了
作者: 温柔大白莎 时间: 2007-12-7 03:32
第一次看见 学习了
作者: gdxiaozhe 时间: 2007-12-7 03:37
典型左侧膈疝!
作者: dingjun 时间: 2007-12-7 04:02
同意左侧膈疝,不过,有过外伤史,左肺有受压征象,同时有胸膜增厚。
作者: 同 时间: 2007-12-7 04:03
左侧膈疝
作者: wangjj555 时间: 2007-12-7 04:19
典型左侧膈疝,疝出物为胃和大网膜,纵隔右移
作者: liuyue 时间: 2007-12-7 04:23
支持。
作者: yugongyishan 时间: 2007-12-7 04:26
标题: 回复:ct10753:女, 64岁 隔疝
以下是引用宇宙ct在2007-12-6 18:39:00的发言:[br]典型左侧膈疝,疝出物为胃和大网膜,纵隔右移 [br] [br]稀钡剂造影就更好了
作者: yy杨洋 时间: 2007-12-7 04:33
标题: 回复:ct10753:女, 64岁 隔疝
以下是引用甲子114在2007-12-6 17:16:00的发言:[br]学习了
作者: 拾荒者 时间: 2007-12-7 05:02
典型左侧膈疝,谢谢!
作者: liuyudun 时间: 2007-12-7 05:07
典型左侧膈疝
作者: hexue 时间: 2007-12-7 05:19
标题: 回复:ct10753:女, 64岁 隔疝
以下是引用齐原在2007-12-6 17:23:00的发言:[br]典型左侧膈疝,疝出物为胃和大网膜,纵隔右移
作者: liaizhi 时间: 2007-12-7 05:25
左侧隔疝。
作者: zsl6918 时间: 2007-12-7 05:25
30年了,病人够痛苦的了,应该做修补术。
作者: 余辉 时间: 2007-12-7 06:17
典型左侧膈疝!
作者: wangdch2008 时间: 2007-12-7 06:26
典型左侧膈疝,如此严重少见。
作者: 石门之剑 时间: 2007-12-7 08:17
时间这么长,也没有做特殊处理 ,不多见。
作者: 宝天曼 时间: 2007-12-7 15:02
典型左侧膈疝,疝出物为胃和大网膜,纵隔右移
作者: dyqct 时间: 2007-12-7 15:38
典型!!
作者: LIAOQIANG 时间: 2007-12-7 17:17
左侧隔疝(创伤性?),与外伤关系大。
作者: jinguoji 时间: 2007-12-8 06:17
典型左侧膈疝!
| 欢迎光临 医影在线 (http://bbs.radida.com/bbs/) |
Powered by Discuz! X3.2 |