













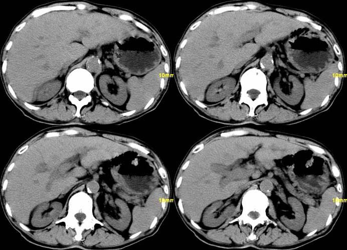
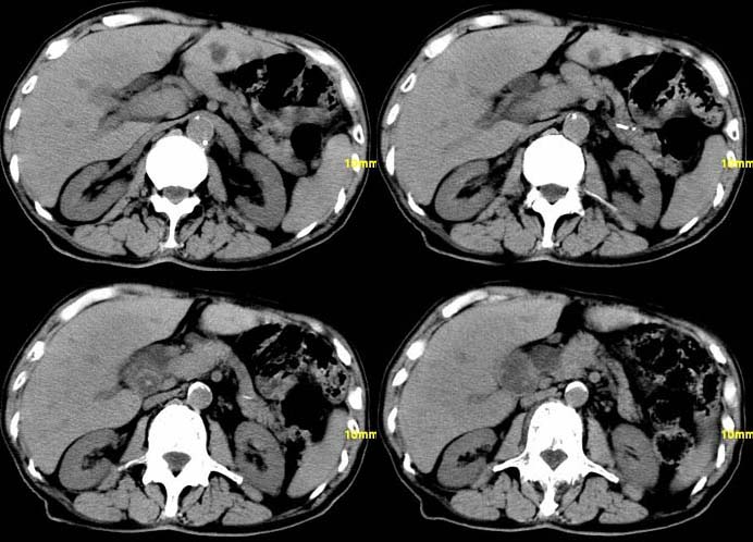
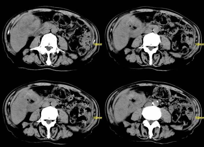
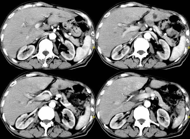
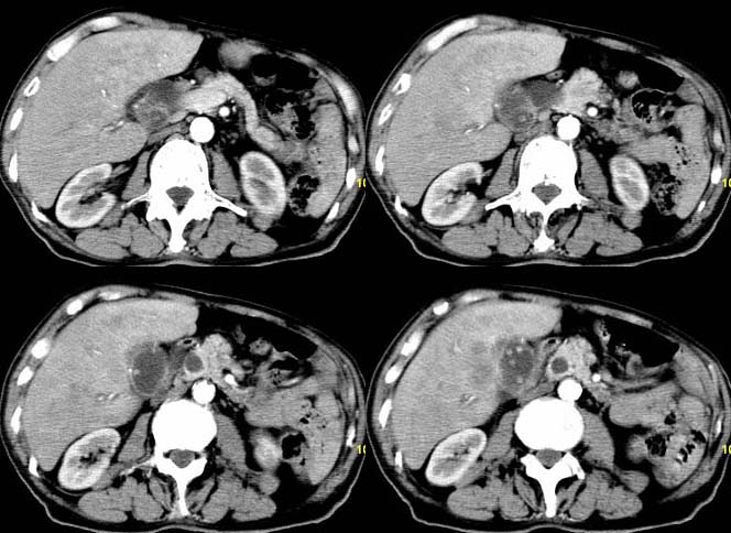
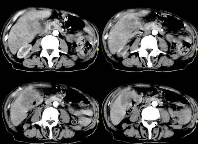
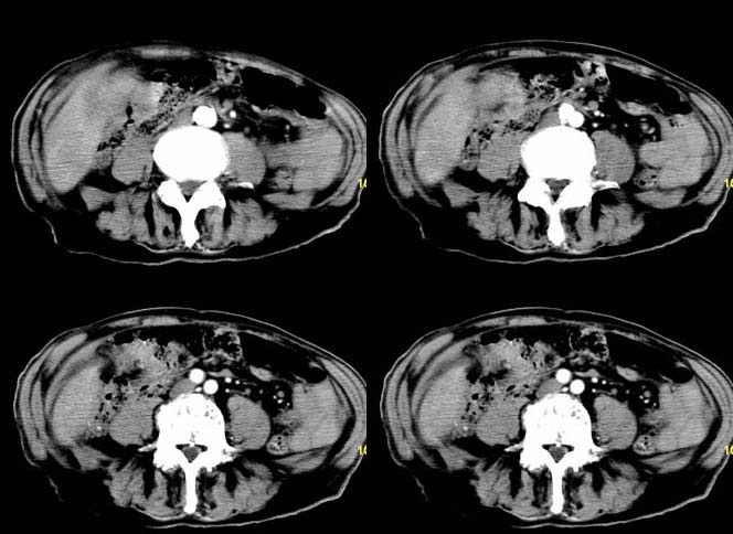
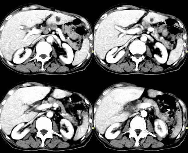
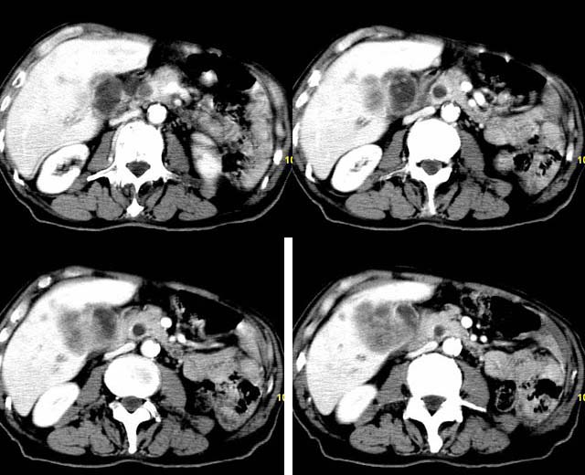
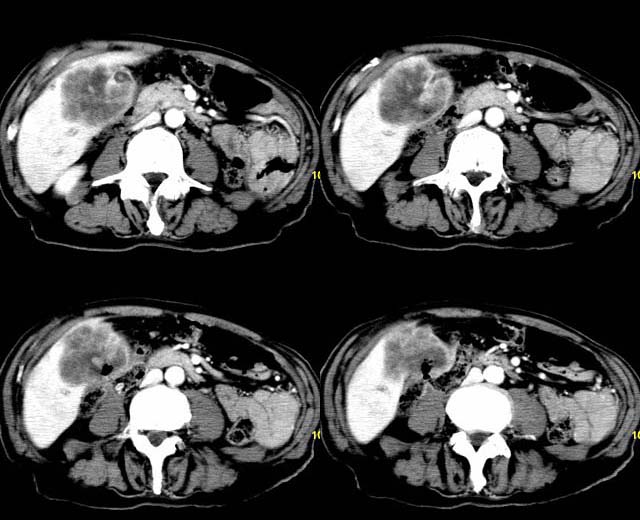
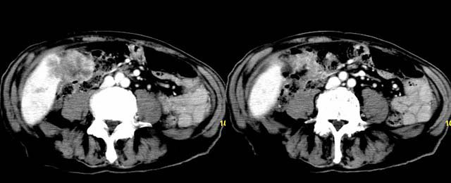
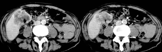
以下是引用余辉在2007-12-6 22:23:00的发言:[br]胆囊内多枚结石影,胆管全程扩张,右肝内病灶强化符合脓肿表现现(左肝病灶图像未传完),考虑急性化脓性胆囊/胆管炎合并肝/胆囊周围脓肿(建议补传左肝病灶图像)
以下是引用余辉在2007-12-6 22:23:00的发言:[br]胆囊内多枚结石影,胆管全程扩张,右肝内病灶强化符合脓肿表现现(左肝病灶图像未传完),考虑急性梗阻性化脓性胆囊胆管炎合并肝多发脓肿(建议补传左肝病灶图像)
以下是引用lkc8963在2007-12-6 23:36:00的发言:[br][quote]以下是引用余辉在2007-12-6 22:23:00的发言:[br]胆囊内多枚结石影,胆管全程扩张,右肝内病灶强化符合脓肿表现现(左肝病灶图像未传完),考虑急性化脓性胆囊/胆管炎合并肝/胆囊周围脓肿(建议补传左肝病灶图像)
以下是引用lkc8963在2007-12-6 23:36:00的发言:[br][quote]以下是引用余辉在2007-12-6 22:23:00的发言:[br]胆囊内多枚结石影,胆管全程扩张,右肝内病灶强化符合脓肿表现现(左肝病灶图像未传完),考虑急性化脓性胆囊/胆管炎合并肝/胆囊周围脓肿(建议补传左肝病灶图像)
以下是引用余辉在2007-12-6 22:23:00的发言:[br]胆囊内多枚结石影,胆管全程扩张,右肝内病灶强化符合脓肿表现现(左肝病灶图像未传完),考虑急性梗阻性化脓性胆囊胆管炎合并肝多发脓肿(建议补传左肝病灶图像)
| 欢迎光临 医影在线 (http://bbs.radida.com/bbs/) | Powered by Discuz! X3.2 |