



































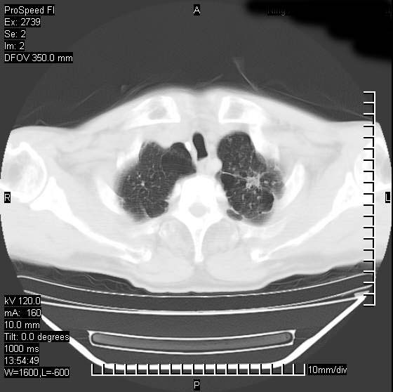
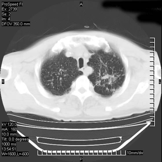
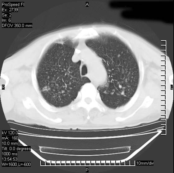
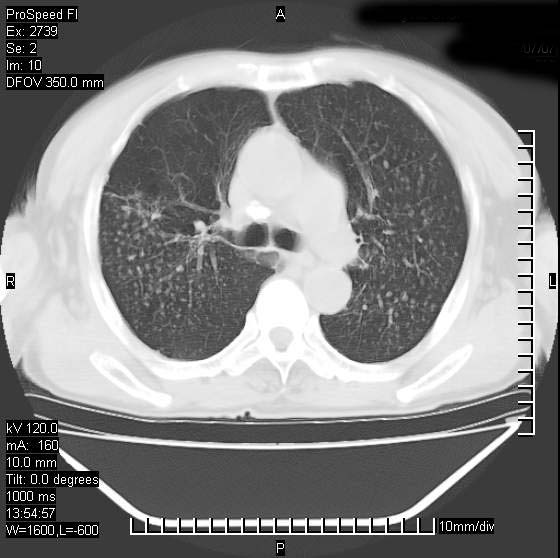
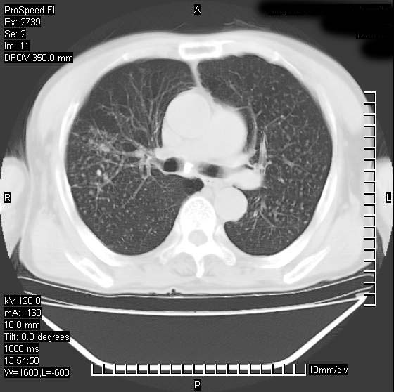
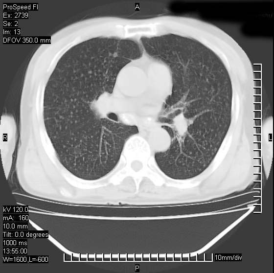
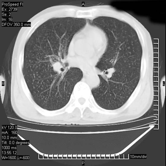
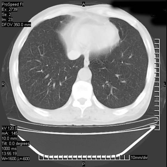
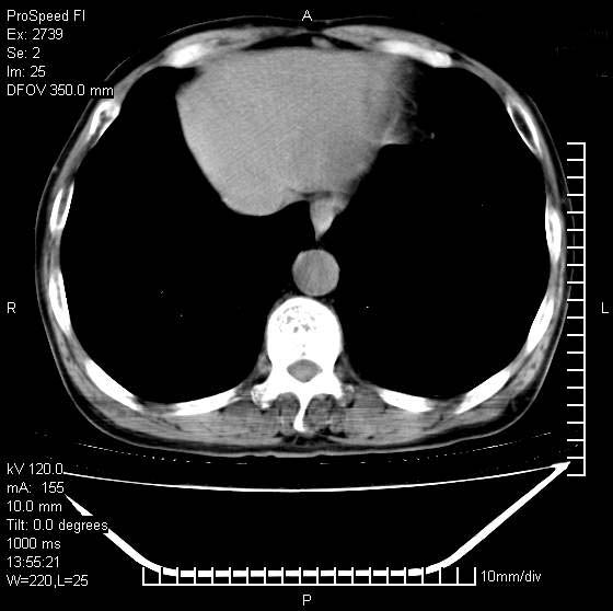
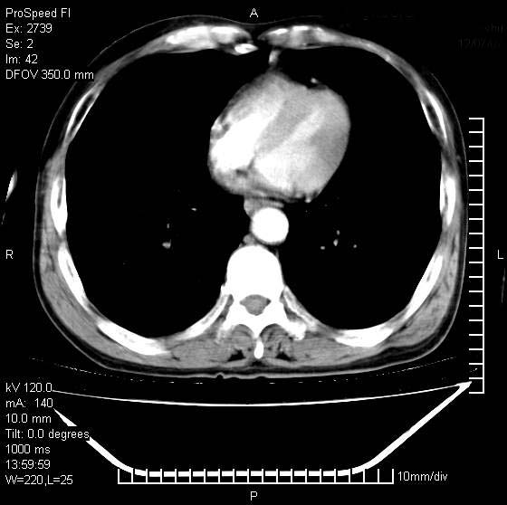
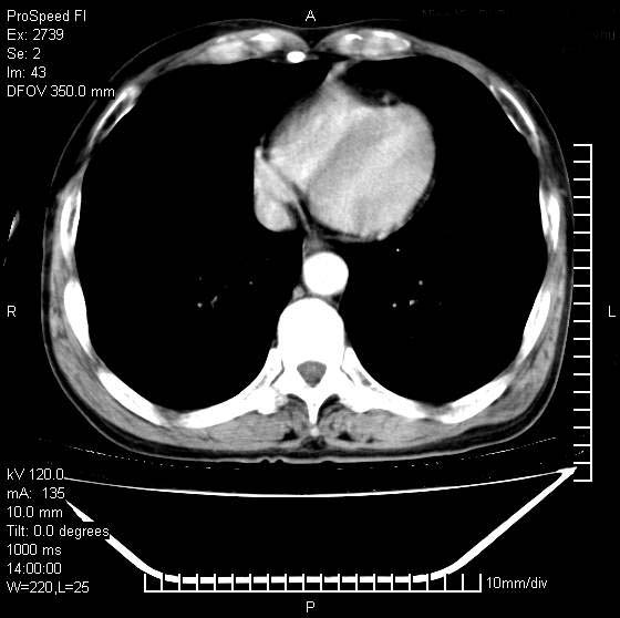
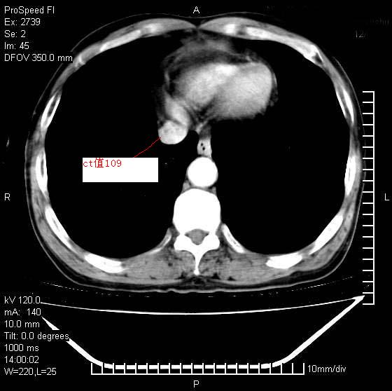
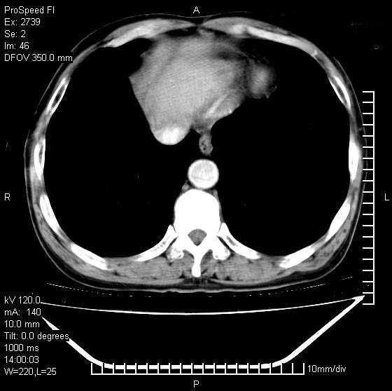
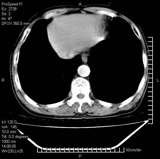
以下是引用andymaomao在2007-12-7 15:54:00的发言:[br]1.双上肺陈旧肺tb灶;[br]2.双中上肺矽肺;[br]3.双肺气肿;[br]4.图中箭头所指乃下腔静脉。
以下是引用山之魂海之韵在2007-12-7 18:59:00的发言:[br]支持矽肺,左肺上叶陈旧性结核,肺气肿。箭头所指乃下腔静脉。下腔静脉显影比主动脉显影迟,增强动脉后迟可以是不均匀的。
以下是引用andymaomao在2007-12-7 15:54:00的发言:[br]1.双上肺陈旧肺tb灶;[br]2.双中上肺矽肺;[br]3.双肺气肿;[br]4.图中箭头所指乃下腔静脉。
以下是引用chengjiaqiu1在2007-12-7 17:49:00的发言:[br]矽肺,左肺上叶陈旧性结核,肺气肿。中箭头所指乃下腔静脉。
| 欢迎光临 医影在线 (http://bbs.radida.com/bbs/) | Powered by Discuz! X3.2 |