医影在线

标题: CT10772:男性,48,右肾盂旁多囊性占位! [打印本页]

作者: 花凤凰    时间: 2007-12-8 06:08
标题: CT10772:男性,48,右肾盂旁多囊性占位!
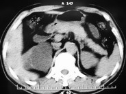
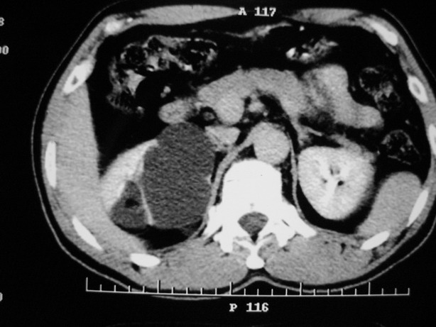
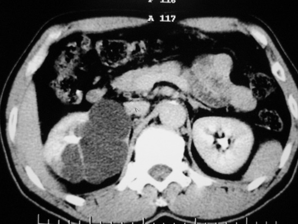
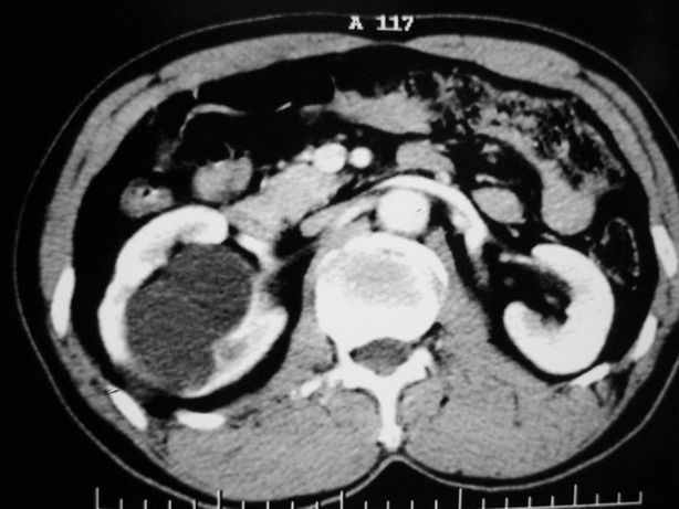
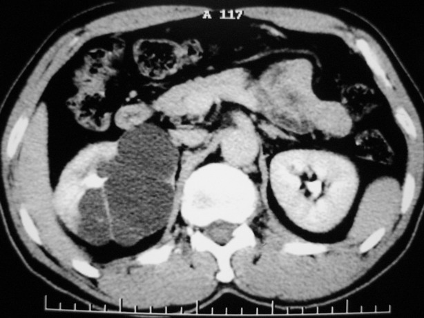
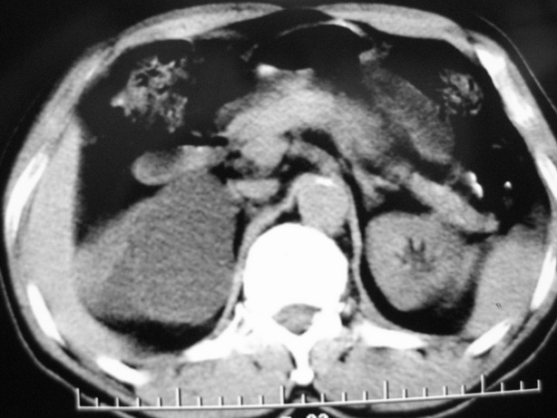
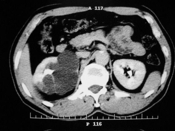
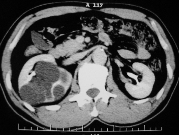
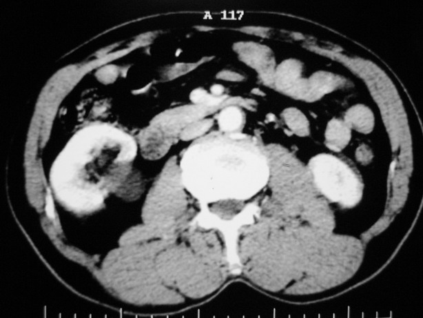
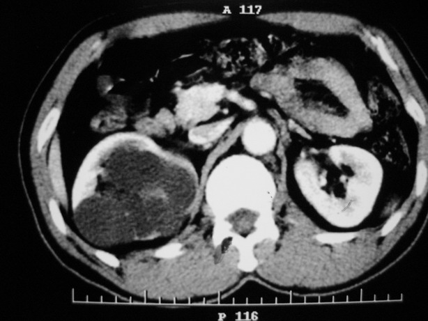
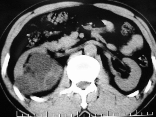
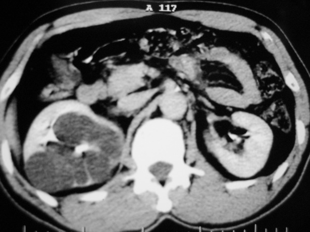
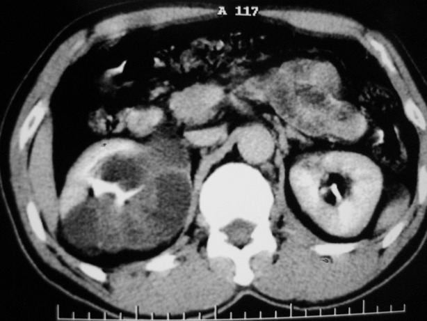
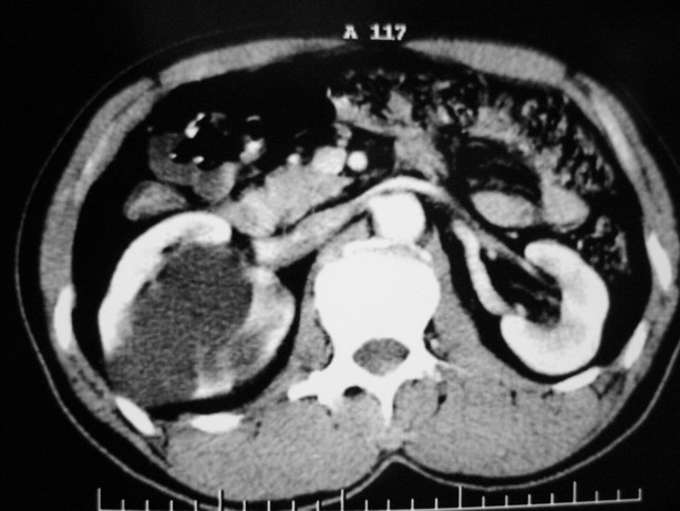
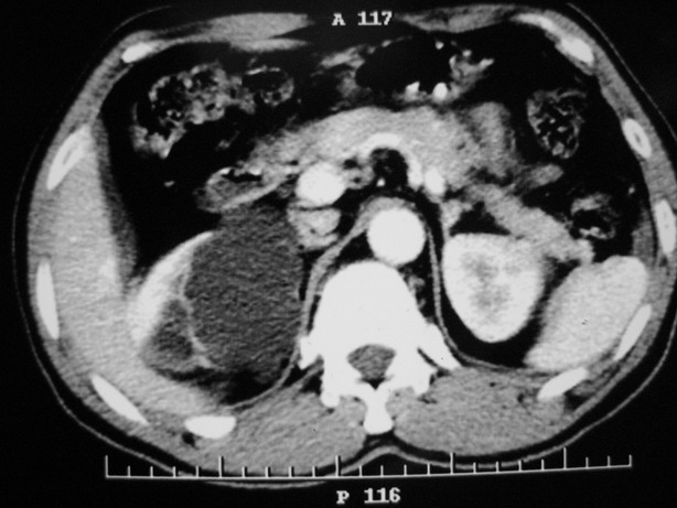
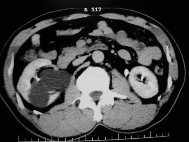
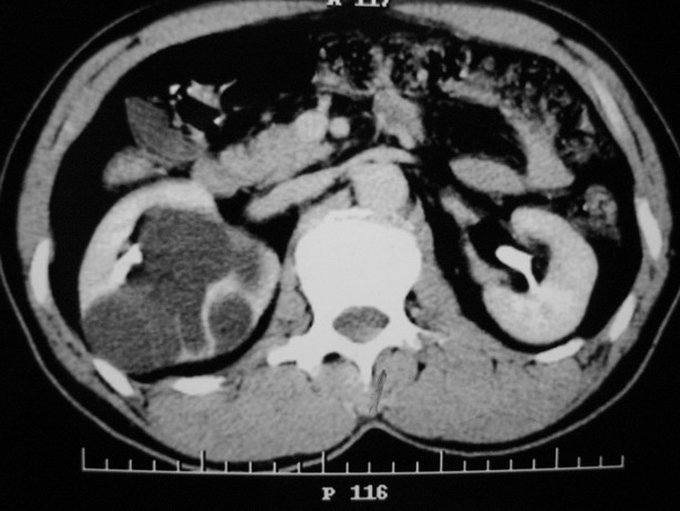
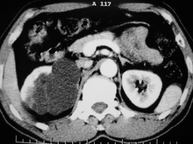
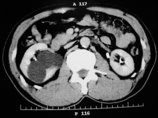
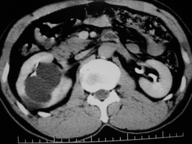
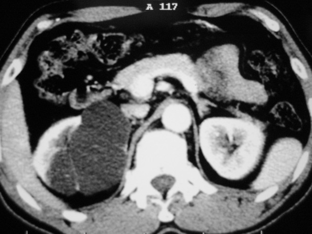
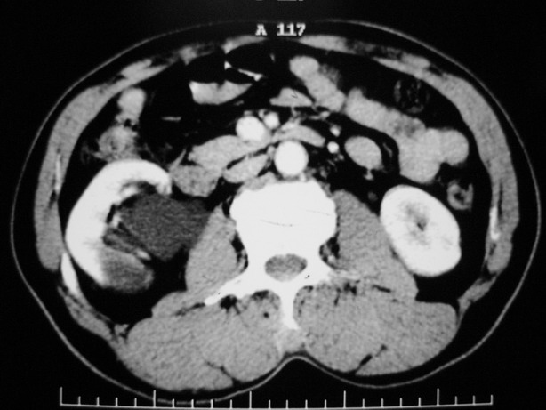
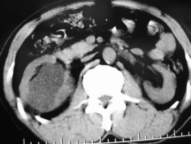
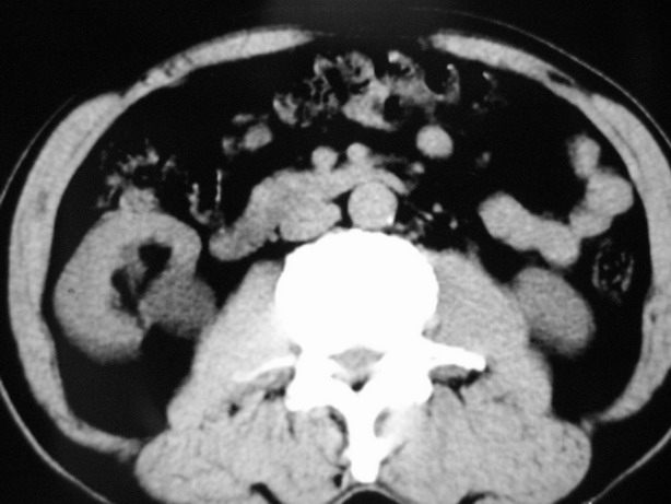
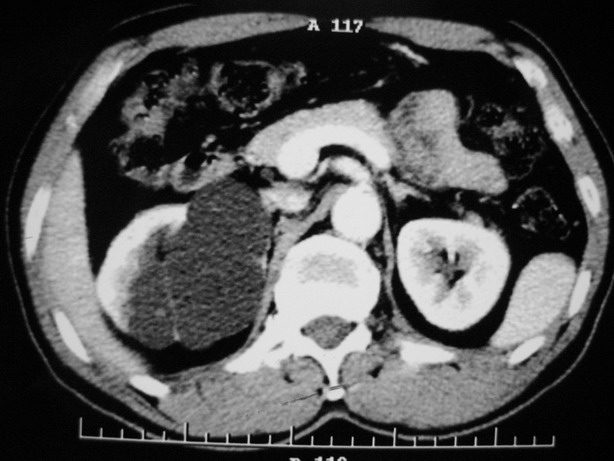
男性,48,体检发现,平时无症状。
平扫:










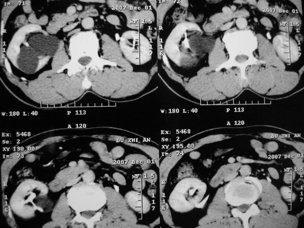
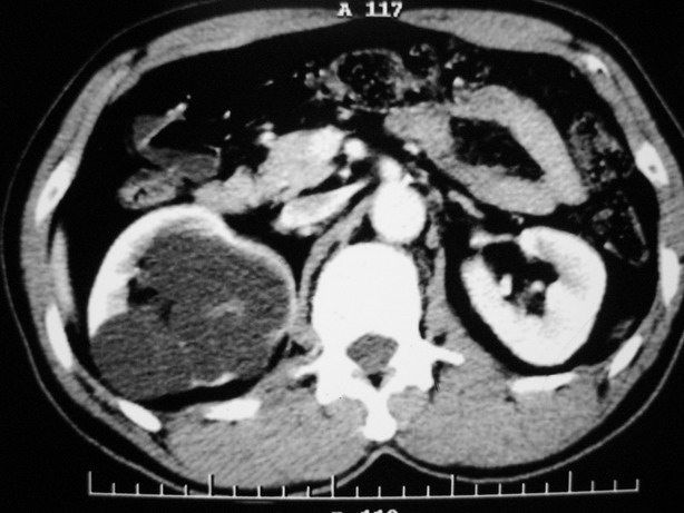
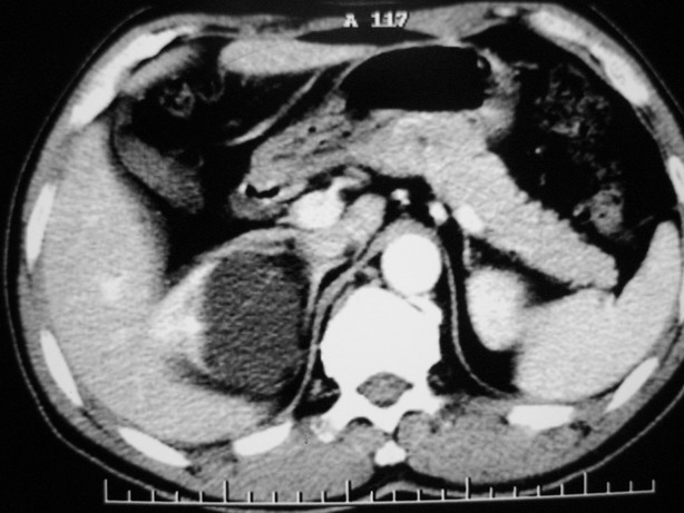
增强:

















收集期:















[本贴已被 jiajie 于 2007-12-7 22:35:01 修改过]

作者: zsl6918    时间: 2007-12-8 06:16
延迟期造影剂没有进入囊性病灶内考虑多发性肾囊肿,包括一个盂旁囊肿。
作者: 花凤凰    时间: 2007-12-8 06:17
肾盂旁多囊性占位,有实性成分,增强有轻度强化,收集期病变内无造影剂显影。诊断肾盂旁囊肿,有实性成分无法解释,查书后诊断为:多房性囊性肾瘤!!不知大家同意否?????????对本病知道不多,望大家不吝赐教!!
作者: liuhongling234    时间: 2007-12-8 07:00
标题: 回复:ct10772:男性,48,右肾盂旁多囊性占位!
以下是引用zsl6918在2007-12-7 22:16:00的发言:[br]延迟期造影剂没有进入囊性病灶内考虑多发性肾囊肿,包括一个盂旁囊肿。

作者: 石门之剑    时间: 2007-12-8 08:38
准确结果等待中。。。。。。。。。。。
作者: 云翔    时间: 2007-12-8 14:57
不除外囊性肾癌
作者: 小初学者    时间: 2007-12-8 15:20
支持囊性肾癌。
作者: gjj6818    时间: 2007-12-8 18:12
不除外囊性肾癌
作者: leihencan    时间: 2007-12-8 18:55
肾囊肿。
作者: 狙击手    时间: 2007-12-8 19:01
囊肿。
作者: 余辉    时间: 2007-12-8 19:54
囊间间隔强化与肾实质相仿,还是支持多发囊肿,定期复查
作者: ydx_74    时间: 2007-12-8 21:03
支持多发囊肿(所谓实质部分其实是肾实质)
作者: 拾荒者    时间: 2007-12-9 00:10
右肾多发囊性低密度影,囊内有增强的隔及实性组织,考虑囊性肾癌。
作者: jw-830    时间: 2007-12-9 00:39
考虑囊性肾癌
作者: xulianj    时间: 2007-12-9 02:54
右肾多发性囊肿
作者: 宝天曼    时间: 2007-12-9 03:38
延迟期造影剂没有进入囊性病灶内考虑多发性肾囊肿,包括一个盂旁囊肿。
作者: jinguoji    时间: 2007-12-9 20:53
右肾多发性囊肿。




欢迎光临 医影在线 (http://bbs.radida.com/bbs/) Powered by Discuz! X3.2