














































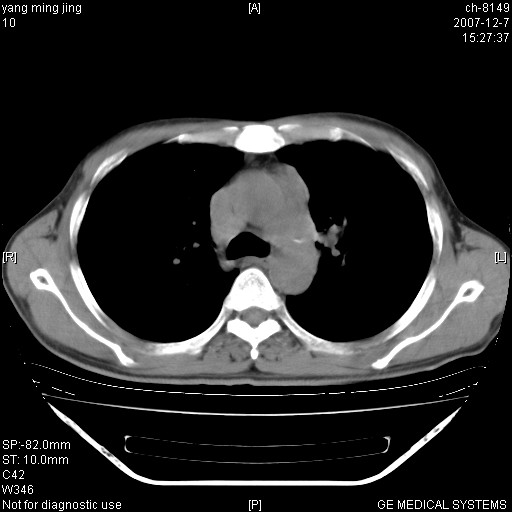
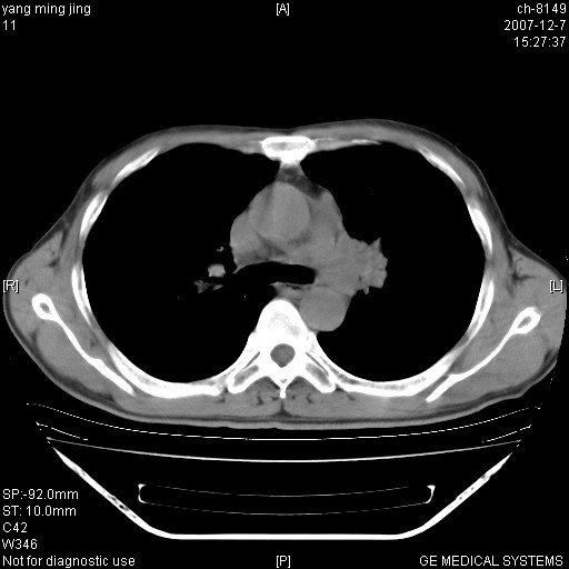
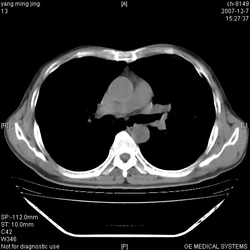
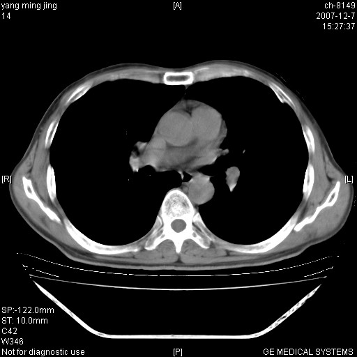
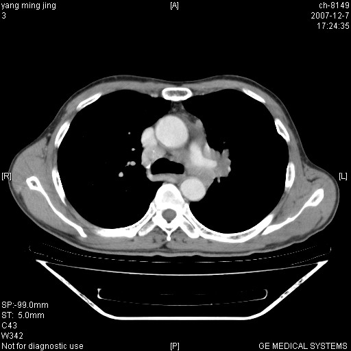
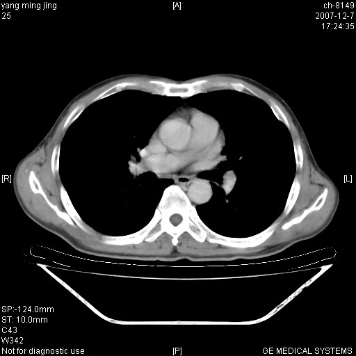
以下是引用zsl6918在2007-12-7 22:22:00的发言:[br]左肺上叶中心性肺癌并肺内及纵隔淋巴结转移,肝内转移。小细胞肺癌可能性大。
以下是引用zsl6918在2007-12-7 22:22:00的发言:[br]左肺上叶中心性肺癌并肺内及纵隔淋巴结转移,肝内转移。小细胞肺癌可能性大。
以下是引用zsl6918在2007-12-7 22:22:00的发言:[br]左肺上叶中心性肺癌并肺内及纵隔淋巴结转移,肝内转移。小细胞肺癌可能性大。
以下是引用狙击手在2007-12-8 11:03:00的发言:[br]考虑:左肺上叶中心性肺癌并肺内及纵隔淋巴结转移,肝内转移。
| 欢迎光临 医影在线 (http://bbs.radida.com/bbs/) | Powered by Discuz! X3.2 |