
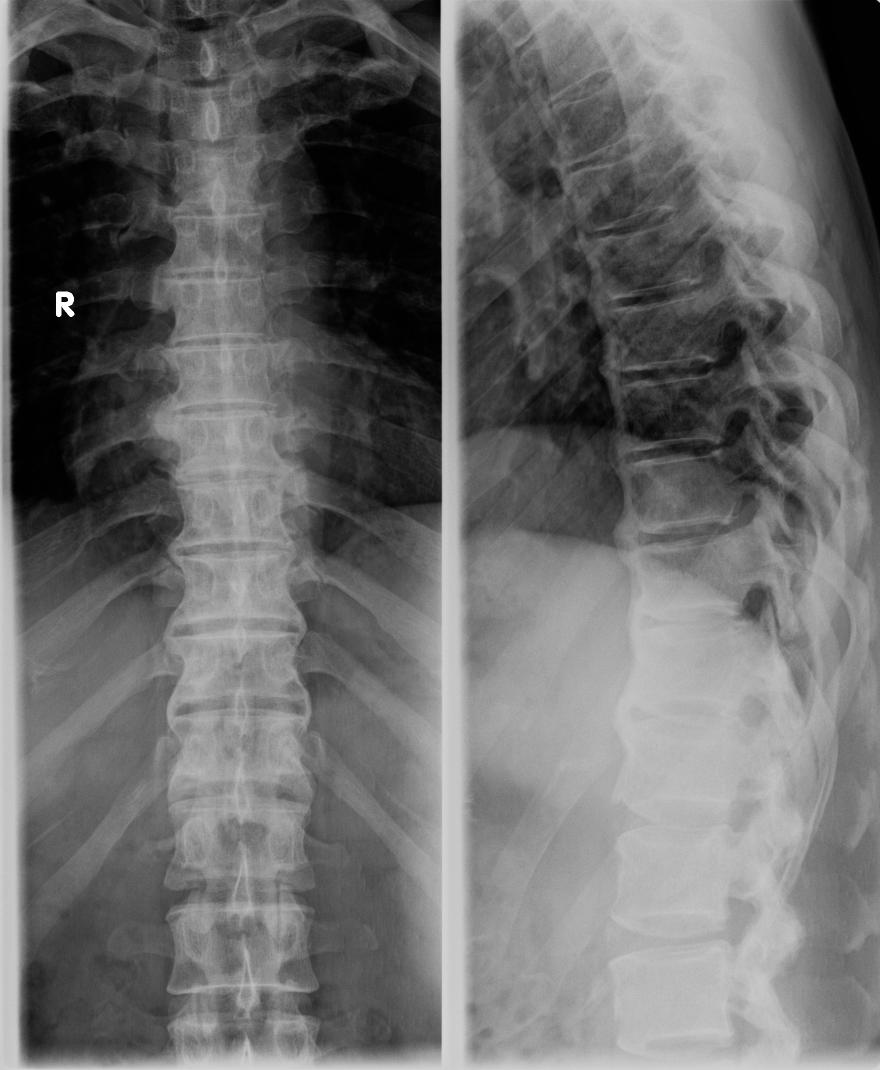
以下是引用zhangzhongshou在2007-12-9 12:45:00的发言:[br]典型弥漫性特发性骨质增生症,诊断依据年龄及影像表现,影像表现以胸椎前纵韧带广泛骨化为特征,椎体两侧缘亦见不规则骨化影,右侧较左侧著,可能与主动脉波动抑制了骨形成有关,显示腰椎大致正常,椎小关节未见明显异常。[br][br][本贴已被 zhangzhongshou 于 2007-12-9 13:41:29 修改过]
以下是引用zhangzhongshou在2007-12-9 12:45:00的发言:[br]典型弥漫性特发性骨质增生症,诊断依据年龄及影像表现,影像表现以胸椎前纵韧带广泛骨化为特征,椎体两侧缘亦见不规则骨化影,右侧较左侧著,可能与主动脉波动抑制了骨形成有关,显示腰椎大致正常,椎小关节未见明显异常。[br][br][本贴已被 zhangzhongshou 于 2007-12-9 13:41:29 修改过]
以下是引用zhangzhongshou在2007-12-9 12:45:00的发言:[br]典型弥漫性特发性骨质增生症,诊断依据年龄及影像表现,影像表现以胸椎前纵韧带广泛骨化为特征,椎体两侧缘亦见不规则骨化影,右侧较左侧著,可能与主动脉波动抑制了骨形成有关,显示腰椎大致正常,椎小关节未见明显异常。[br][br][本贴已被 zhangzhongshou 于 2007-12-9 13:41:29 修改过]
以下是引用dyqct在2007-12-9 16:17:00的发言:[br][quote]以下是引用zhangzhongshou在2007-12-9 12:45:00的发言:[br]典型弥漫性特发性骨质增生症,诊断依据年龄及影像表现,影像表现以胸椎前纵韧带广泛骨化为特征,椎体两侧缘亦见不规则骨化影,右侧较左侧著,可能与主动脉波动抑制了骨形成有关,显示腰椎大致正常,椎小关节未见明显异常。[br][br][本贴已被 zhangzhongshou 于 2007-12-9 13:41:29 修改过]
以下是引用zhangzhongshou在2007-12-9 12:45:00的发言:[br]典型弥漫性特发性骨质增生症,诊断依据年龄及影像表现,影像表现以胸椎前纵韧带广泛骨化为特征,椎体两侧缘亦见不规则骨化影,右侧较左侧著,可能与主动脉波动抑制了骨形成有关,显示腰椎大致正常,椎小关节未见明显异常。[br][br][本贴已被 zhangzhongshou 于 2007-12-9 13:41:29 修改过]
以下是引用wy232326在2007-12-9 18:51:00的发言:[br]支持弥漫性特发性骨质增生症
| 欢迎光临 医影在线 (http://bbs.radida.com/bbs/) | Powered by Discuz! X3.2 |