医影在线
标题: X3061:交流 [打印本页]
作者: lhlshr 时间: 2007-12-10 00:53
标题: X3061:交流

[本贴已被 cefcmj 于 2007-12-9 17:03:04 修改过]
作者: cefcmj 时间: 2007-12-10 01:05
请楼主注明临床基本资料,谢谢!
作者: ZHANGZHONGSHOU 时间: 2007-12-10 01:09
肺动脉狭窄?肺动脉瘤?请提供临床资料。
作者: leihencan 时间: 2007-12-10 01:33
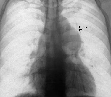
有侧位吗?
作者: yzh9939 时间: 2007-12-10 01:45
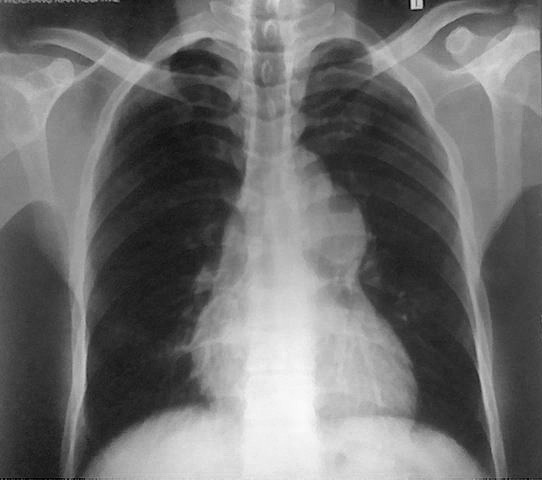
可符合肺动脉狭窄后扩张。
依据:
1.两肺纹理稀少,肺透亮度增高。(肺血减少)
2.心影增大,呈“梨形”;心尖圆钝,右心缘下段向右扩大(说明以右心室增大为主);肺动脉段膨隆。
鉴别:
1.室缺、房缺:可引起右室增大,肺动脉段扩大。但会引起肺血增多。
2.动脉导管未闭:引起肺动脉段扩大、肺血增多,左室增大为主,主动脉增宽。
3.与纵隔占位鉴别:纵隔占位一般无肺血改变。
作者: 天边 时间: 2007-12-10 02:32
考虑纵隔占位 如果肺动脉狭窄为什么右房右室无明显扩大
作者: wy232326 时间: 2007-12-10 02:41
肺动脉狭窄?肺动脉瘤?请提供临床资料
作者: wqs571018 时间: 2007-12-10 03:00
肺动脉狭窄?肺动脉瘤?请提供临床资料及侧位片。
作者: 731208 时间: 2007-12-10 03:40
肺动脉狭窄?肺动脉瘤?请提供临床资料
作者: aocct 时间: 2007-12-10 03:47
1、两肺纹理稀疏,肺叶透亮度增强。
2、肺动脉段显著膨隆,心影不大。
考虑:肺动脉狭窄?肺动脉瘤?
作者: 徐飞 时间: 2007-12-10 04:26
标题: 回复:x3061:交流
肺动脉夹层动脉瘤/?
作者: ml2007 时间: 2007-12-10 05:03
肺动脉瘤?淋巴结大?
作者: zhw974247 时间: 2007-12-10 05:30
肺动脉狭窄?肺动脉瘤?建议做心脏彩超。
作者: zhou555888 时间: 2007-12-10 05:31
室缺
作者: 余辉 时间: 2007-12-10 06:26
双肺野那个样子,就算纹理多也估计也看不见
作者: real520 时间: 2007-12-10 08:16
有侧位吗?
考虑:肺动脉狭窄?肺动脉瘤?
作者: 小红帽 时间: 2007-12-10 08:16
1、两肺纹理稀疏,肺叶透亮度增强。
2、肺动脉段显著膨隆,心影不大。
考虑:肺动脉狭窄?肺动脉瘤?
作者: jinguoji 时间: 2007-12-10 16:36
肺动脉狭窄?肺动脉瘤?建议做心脏彩超。
作者: shiqingfa 时间: 2007-12-10 16:53
肺动脉狭窄?肺动脉瘤?请提供临床资料
作者: 代课学生 时间: 2007-12-10 17:23
同意5楼楼主的意见。
作者: zxczxc 时间: 2007-12-10 19:41
肺动脉段突出,原因多多。
作者: liangshusheng 时间: 2007-12-10 21:18
肺动脉段突出膨隆
作者: zjzjr 时间: 2007-12-10 21:32
纵隔内占位可能性大,建议ct检查.
作者: ydx_74 时间: 2007-12-10 22:00
标题: 回复:x3061:交流
不支持肺动脉干狭窄,动脉瘤或纵隔占位(良性)
[本贴已被 ydx_74 于 2007-12-10 14:01:26 修改过]
作者: wangweiX001 时间: 2007-12-10 23:28
支持楼上
作者: zhangkening 时间: 2007-12-12 04:50
我认为是肺动脉狭窄后扩张.
作者: liweixi 时间: 2007-12-13 05:47
肺心病
作者: taky 时间: 2007-12-13 21:02
动脉瘤或纵隔占位
作者: huxi 时间: 2007-12-16 05:25
zonggezhanwei
作者: zhangxiangjun 时间: 2007-12-17 07:59
请提供病史。心脏病的病史很重要。
作者: hexue 时间: 2007-12-18 00:29
肺动脉瘤;纵隔肿瘤
作者: scw007 时间: 2007-12-18 00:41
主动脉瘤??
作者: shibing 时间: 2013-8-27 08:38
请提供临床资料。
| 欢迎光临 医影在线 (http://bbs.radida.com/bbs/) |
Powered by Discuz! X3.2 |