医影在线
标题: CT10809:F40Y,肾上腺 [打印本页]
作者: fytian 时间: 2007-12-10 17:09
标题: CT10809:F40Y,肾上腺
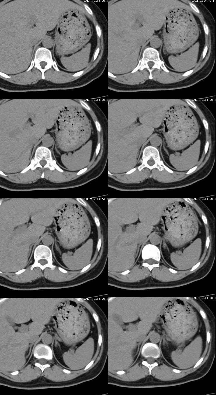
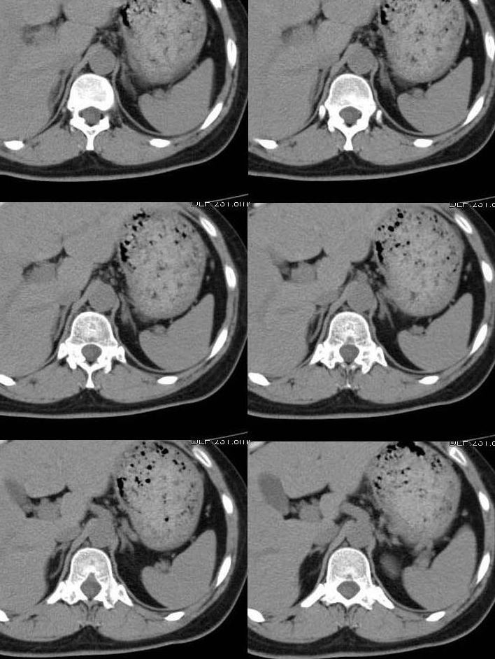
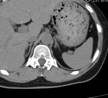
女,40岁,高血压病史,在外院ct增强扫描无异常强化,查激素水平去甲肾上腺素1100(正常<600)
ct平扫示左侧肾上腺内侧肢相对增粗,并似有一结节影.我考虑左侧肾上腺增生,大家意见?[


[本贴已被 jiajie 于 2007-12-10 13:08:25 修改过]
作者: hhcckk 时间: 2007-12-10 17:28
支持楼主
考虑左侧肾上腺内侧肢增粗(宽于同侧膈角最宽处)加上催产素异常增高,考虑左侧肾上腺增生
作者: 天南地北 时间: 2007-12-10 17:31
从上面的层面看
左侧肾上腺外侧支较同层面膈肌增粗。
我觉得左肾上腺内、外支都是增粗了
建议结合临床。
作者: qiuleiyu 时间: 2007-12-10 17:43
支持楼主
考虑左侧肾上腺内侧肢增粗(宽于同侧膈角最宽处)加上去甲异常增高,可符合左侧肾上腺增生.
作者: qiushi 时间: 2007-12-10 18:08
标题: 回复:肾上腺
左肾上腺内、外支都是增粗了,建议结合临床。
作者: LIAOQIANG 时间: 2007-12-10 19:11
支持楼主:左侧肾上腺内侧肢相对增粗,并似有一结节影。去甲肾上腺素升高。考虑左侧肾上腺增生。
作者: 宇宙ct 时间: 2007-12-10 19:28
支持楼主:左侧肾上腺内侧肢相对增粗,并似有一结节影。去甲肾上腺素升高。考虑左侧肾上腺增生。
作者: wansheng 时间: 2007-12-10 19:30
支持楼主:左侧肾上腺内侧肢相对增粗,并似有一结节影。去甲肾上腺素升高。考虑左侧肾上腺增生。支持!
作者: 宁娃 时间: 2007-12-10 19:40
考虑左侧肾上腺增生。支持!
作者: ydx_74 时间: 2007-12-10 21:10
左侧肾上腺内侧肢相对增粗,(同同层面膈肌最厚处相比无明显增粗),似有一结节影,增生或小腺瘤?
作者: zjzjr 时间: 2007-12-10 21:18
考虑左侧肾上腺增生。支持!
作者: 摘星空竹子 时间: 2007-12-10 22:28
左侧肾上腺增生.支持!
作者: 卜一 时间: 2007-12-10 22:54
支持楼主!
作者: yuxianw 时间: 2007-12-10 23:09
支持楼主.
作者: xixi1976 时间: 2007-12-11 01:06
左侧肾上腺内支增粗,未见确切占位征象,考虑为增生,
作者: cai 时间: 2007-12-11 01:20
支持楼主
作者: shiqingfa 时间: 2007-12-11 02:16
考虑左侧肾上腺内侧肢增粗(宽于同侧膈角最宽处)加上去甲异常增高,可符合左侧肾上腺增生.
作者: wzr 时间: 2007-12-11 02:28
左侧肾上腺增生。
作者: wqs571018 时间: 2007-12-11 03:05
考虑左侧肾上腺增生?
作者: xulianj 时间: 2007-12-11 03:23
支持楼主
作者: 拾荒者 时间: 2007-12-11 04:37
支持左侧肾上腺增生,建议随访复查。
作者: ZHANGZHONGSHOU 时间: 2007-12-11 06:17
标题: 回复:ct10809:f40y,肾上腺
以下是引用qiuleiyu在2007-12-10 9:43:00的发言:[br]支持楼主[br]考虑左侧肾上腺内侧肢增粗(宽于同侧膈角最宽处)加上去甲异常增高,可符合左侧肾上腺增生.
作者: jinguoji 时间: 2007-12-11 17:18
支持左侧肾上腺增生。
作者: zyx168 时间: 2007-12-23 06:18
考虑左侧肾上腺增生。支持!
| 欢迎光临 医影在线 (http://bbs.radida.com/bbs/) |
Powered by Discuz! X3.2 |