医影在线
标题: CT10811:M53Y,头痛一月.其它没有什么 [打印本页]
作者: 风云01 时间: 2007-12-10 18:14
标题: CT10811:M53Y,头痛一月.其它没有什么












[本贴已被 jiajie 于 2007-12-10 13:11:01 修改过]
[本贴已被 风云01 于 2007-12-12 11:06:41 修改过]
作者: qiushi 时间: 2007-12-10 18:35
病史?建议详细询问病史.
作者: LIAOQIANG 时间: 2007-12-10 19:19
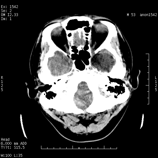
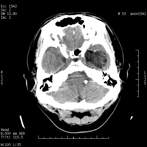
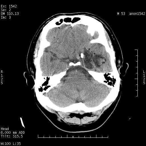
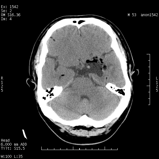
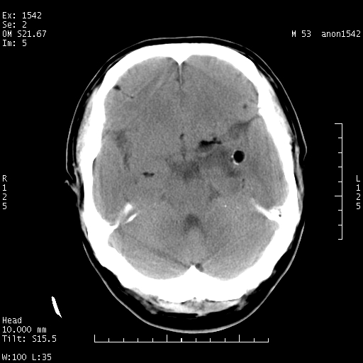
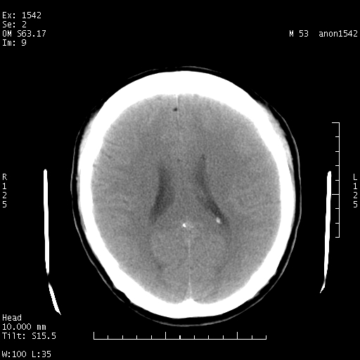
左侧鞍旁不规则低密度,此区域和侧脑室有液平。若无外伤史。考虑左侧鞍旁表皮样囊肿自发破溃。
作者: wansheng 时间: 2007-12-10 19:33
标题: 回复:头部
以下是引用liaoqiang在2007-12-10 11:19:00的发言:[br]左侧鞍旁不规则低密度,此区域和侧脑室有液平。若无外伤史。考虑左侧鞍旁表皮样囊肿自发破溃。
作者: 宇宙ct 时间: 2007-12-10 19:45
鞍旁颞叶低密度灶.其中散在空气影.还有侧脑室.是否考虑脑脓肿(请提供病史情况)
作者: andymaomao 时间: 2007-12-10 20:04
1.支持考虑左侧鞍旁表皮样囊肿自发破可能;
2.转移待排,其他?
作者: ydx_74 时间: 2007-12-10 21:05
有肿瘤样病变破溃,沿外侧裂生长,为什么不考虑胆脂瘤?
作者: zjzjr 时间: 2007-12-10 21:21
考虑左侧鞍旁表皮样囊肿自发破溃。
作者: 沙漠骆驼 时间: 2007-12-10 22:03
1 囊性肿物. 2 请楼主上传介少病人资料. 3 表皮样囊肿或胆脂瘤都在考虑范围内,确切的不知ct值是多少.4了解病史后在缺定.
作者: 沙漠骆驼 时间: 2007-12-10 22:09
1 是否有外伤或原发出血微创术后改变. 2 期待病史.
作者: 摘星空竹子 时间: 2007-12-10 22:13
支持胆脂瘤!
作者: 卜一 时间: 2007-12-10 22:51
考虑左侧鞍旁表皮样囊肿自发破溃。
支持!!!
作者: yuxianw 时间: 2007-12-10 23:13
支持楼上!
作者: sunxb1010 时间: 2007-12-11 00:55
此图像一定有创伤史才对,病史对明确判断很重要
作者: 天南地北 时间: 2007-12-11 00:57
标题: 回复:ct10811:m53y,头痛一月.
以下是引用zjzjr在2007-12-10 13:21:00的发言:[br]考虑左侧鞍旁表皮样囊肿自发破溃。
作者: 清风照影来 时间: 2007-12-11 01:00
楼主应该把病史传好,有没有发热病史或是外伤病史。
作者: shiqingfa 时间: 2007-12-11 02:11
考虑左侧鞍旁表皮样囊肿自发破溃。
支持!!!
期待结果
作者: wzr 时间: 2007-12-11 02:23
左侧鞍旁表皮样囊肿自发破溃
作者: xulianj 时间: 2007-12-11 03:20
考虑:表皮样囊肿或胆脂瘤。
作者: wqs571018 时间: 2007-12-11 03:22
考虑:左侧鞍旁表皮样囊肿自发破溃,是否合并感染?
作者: 拾荒者 时间: 2007-12-11 04:50
支持 左侧鞍旁表皮样囊肿自发破溃 。
作者: jinguoji 时间: 2007-12-11 17:05
支持左侧鞍旁表皮样囊肿自发破溃。
作者: zyx168 时间: 2007-12-23 06:12
考虑左侧鞍旁表皮样囊肿自发破溃。支持!
| 欢迎光临 医影在线 (http://bbs.radida.com/bbs/) |
Powered by Discuz! X3.2 |