医影在线
标题: CT10817:女,46,胸疼,无其他病史 [打印本页]
作者: 42573734 时间: 2007-12-11 03:34
标题: CT10817:女,46,胸疼,无其他病史






































[本贴已被 jiajie 于 2007-12-10 19:48:01 修改过]

[本贴已被 42573734 于 2007-12-10 21:02:14 修改过]
作者: 卜一 时间: 2007-12-11 03:42
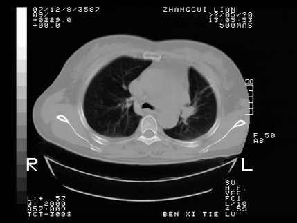
左侧上纵隔旁团块影,部分植入纵隔,与纵隔界限不清,另:左肺门明显见团块,气管隆突前方见肿大淋巴结。考虑:左上肺纵隔型肺癌伴左肺门及纵隔淋巴结转移!
作者: zjzjr 时间: 2007-12-11 04:11
首先考虑左侧中央型肺癌伴阻塞性肺炎、纵隔内、弓旁淋巴结转移可能性大(纵隔窗调的欠佳)
作者: 摘星空竹子 时间: 2007-12-11 05:14
2楼,3楼说的都有道理,建议增强扫描区分一下原发灶和转移的淋巴结.
作者: chry3 时间: 2007-12-11 05:34
有理、有理,同意、同意!
作者: wangzhengyuan 时间: 2007-12-11 05:44
左侧中央型肺癌伴阻塞性肺炎
作者: wangdch2008 时间: 2007-12-11 05:52
1左上肺中心型肺癌伴左肺上叶不张2主动脉弓旁淋巴结转移3左下肺炎症
作者: LLXXLL 时间: 2007-12-11 06:59
左侧上纵隔旁团块影,部分植入纵隔,与纵隔界限不清,另:左肺门明显见团块,气管隆突前方见肿大淋巴结。考虑:左上肺纵隔型肺癌伴左肺门及纵隔淋巴结转移!
作者: lijinzhu123 时间: 2007-12-11 07:03
左侧中央型肺癌伴阻塞性肺炎
作者: dzctdcq 时间: 2007-12-11 07:55
1 左侧中央型肺癌伴阻塞性肺炎 2 左肺门及纵隔淋巴结转移!3两侧胸腔及心包积液.
作者: ZHANGZHONGSHOU 时间: 2007-12-11 15:59
标题: 回复:ct10817:女,46,胸疼,无其他病史
以下是引用wangdch2008在2007-12-10 21:52:00的发言:[br]1左上肺中心型肺癌伴左肺上叶不张2主动脉弓旁淋巴结转移3左下肺炎症
作者: fytian 时间: 2007-12-11 16:13
左肺中央型肺癌伴左肺上叶阻塞性肺炎两侧胸腔积液纵隔窗不清楚
作者: 拾荒者 时间: 2007-12-12 03:04
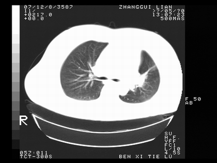
支持考虑左肺中心性肺癌并左肺门及纵隔淋巴结转移,左肺阻塞性肺炎,心包积液.
作者: dyqct 时间: 2007-12-12 04:53
标题: 回复:ct10817:女,46,胸疼,无其他病史
以下是引用拾荒者在2007-12-11 19:04:00的发言:[br]支持考虑左肺中心性肺癌并左肺门及纵隔淋巴结转移,左肺阻塞性肺炎,心包积液.
支持!!
作者: tanjiuzhe313 时间: 2007-12-12 06:57
标题: 回复:ct10817:女,46,胸疼,无其他病史
以下是引用dzctdcq在2007-12-10 23:55:00的发言:[br]1 左侧中央型肺癌伴阻塞性肺炎 2 左肺门及纵隔淋巴结转移!3两侧胸腔及心包积液. [br]
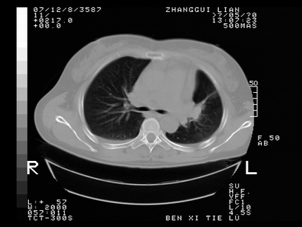
左侧胸廓塌陷,纵隔向左侧移位,左上肺不张。
作者: yuhg 时间: 2007-12-12 07:08
支持,建议支气管镜检,或穿刺纵隔病变
作者: 宝天曼 时间: 2007-12-13 04:46
1 左侧中央型肺癌伴阻塞性肺炎
2 左肺门及纵隔淋巴结转移!
3两侧胸腔及心包积液.
作者: wy232326 时间: 2007-12-13 18:04
首先考虑左侧中央型肺癌伴阻塞性肺炎、纵隔内、弓旁淋巴结转移可能性
支持
作者: zyx168 时间: 2007-12-22 07:41
1 左侧中央型肺癌伴阻塞性肺炎 2 左肺门及纵隔淋巴结转移!
作者: jinguoji 时间: 2007-12-22 21:56
考虑左侧中央型肺癌伴阻塞性肺炎、纵隔内、弓旁淋巴结转移
| 欢迎光临 医影在线 (http://bbs.radida.com/bbs/) |
Powered by Discuz! X3.2 |