医影在线

标题: CT10818:男,73,TB病史,现病史肺炎及直肠CANCER术后 [打印本页]

作者: 42573734    时间: 2007-12-11 04:07
标题: CT10818:男,73,TB病史,现病史肺炎及直肠CANCER术后






































[本贴已被 jiajie 于 2007-12-10 20:25:42 修改过]

作者: 42573734    时间: 2007-12-11 04:13
这个请版主删除掉,这个病例我发过的,发重了,此人病史是,f,46y,胸疼,无其他原因就诊
作者: zjzjr    时间: 2007-12-11 16:53
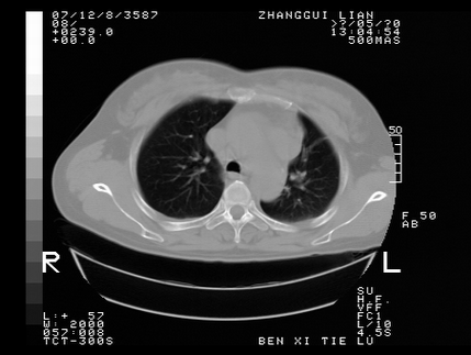
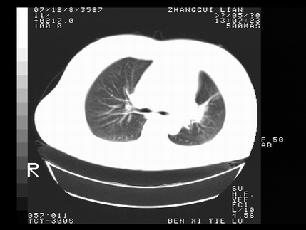
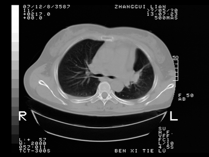
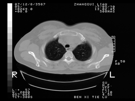
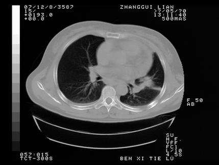
左侧中央型肺癌伴阻塞性肺炎\\不张,左侧前上纵隔亦增宽,建议上传纵隔窗除外淋巴结转移.
作者: wqs571018    时间: 2007-12-12 02:48
考虑:左侧中央型肺癌伴阻塞性肺炎,纵隔淋巴结转移。
作者: 随光逐影    时间: 2007-12-12 02:57
1)考虑为:左侧中央型肺癌伴阻塞性肺炎,纵隔淋巴结转移。2)双侧少量胸腔积液。3)心包积液。
作者: 拾荒者    时间: 2007-12-12 03:12
是发重了.
作者: dyqct    时间: 2007-12-12 04:32
发重了!
作者: zyx168    时间: 2007-12-22 07:38
左侧中央型肺癌伴阻塞性肺炎,纵隔淋巴结转移。
作者: jinguoji    时间: 2007-12-22 21:40
考虑左侧中央型肺癌伴阻塞性肺炎,纵隔淋巴结转移。




欢迎光临 医影在线 (http://bbs.radida.com/bbs/) Powered by Discuz! X3.2