医影在线
标题: CT10819:女,72,有高血压病史,突然寡言少语3日. [打印本页]
作者: lizhjie 时间: 2007-12-11 04:16
标题: CT10819:女,72,有高血压病史,突然寡言少语3日.
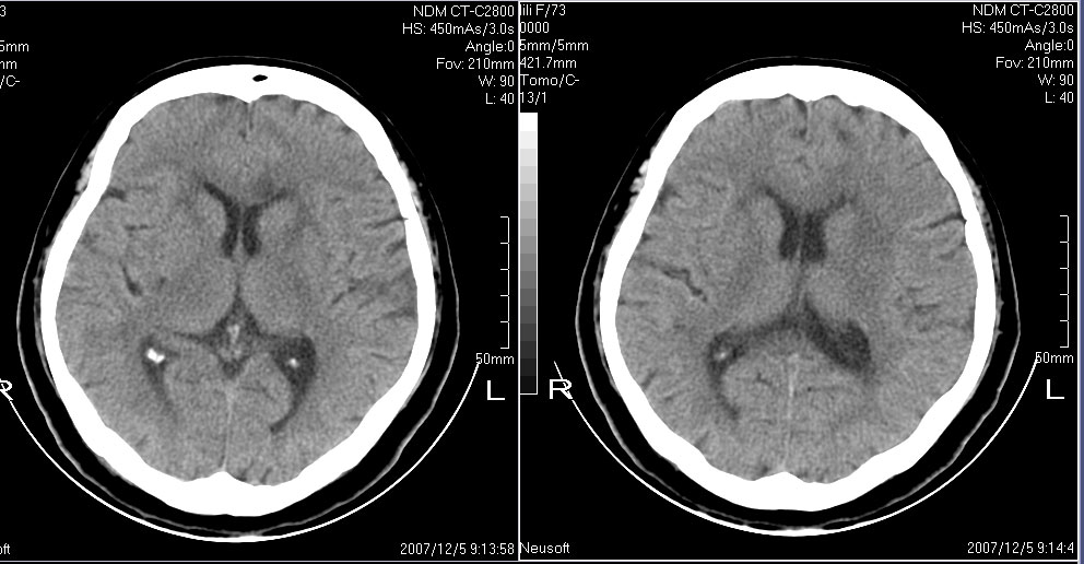
女,72,有高血压病史,突然寡言少语3日.







[本贴已被 jiajie 于 2007-12-10 20:26:05 修改过]
作者: qiushi 时间: 2007-12-11 04:30
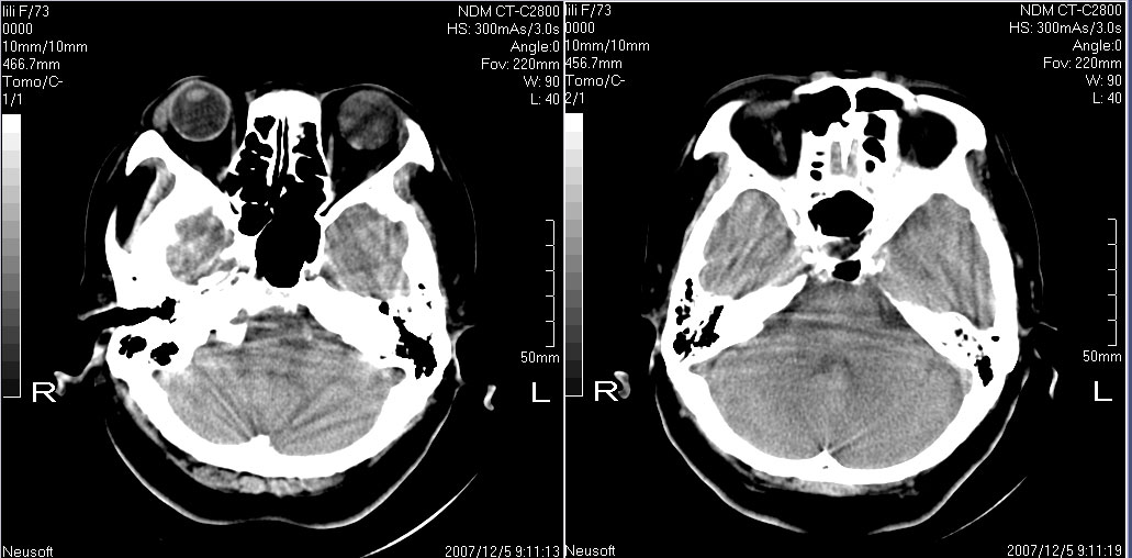
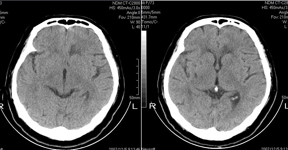
1.左额叶梗塞.
2.腔梗.
建议复查
作者: liuqiang 时间: 2007-12-11 04:54
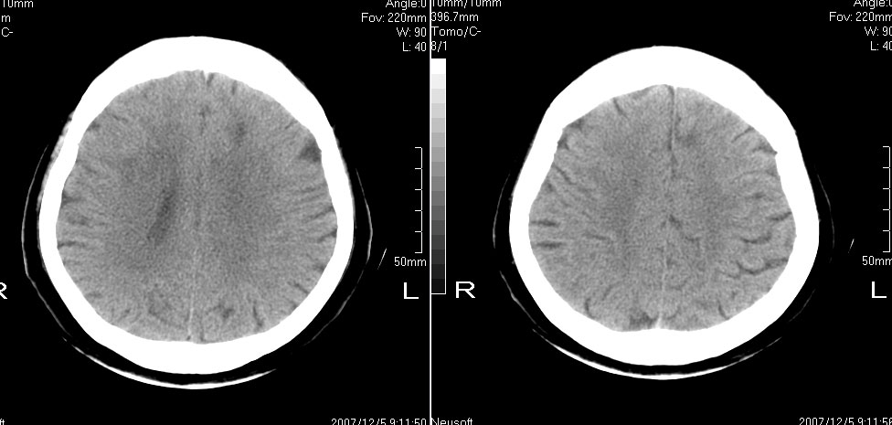
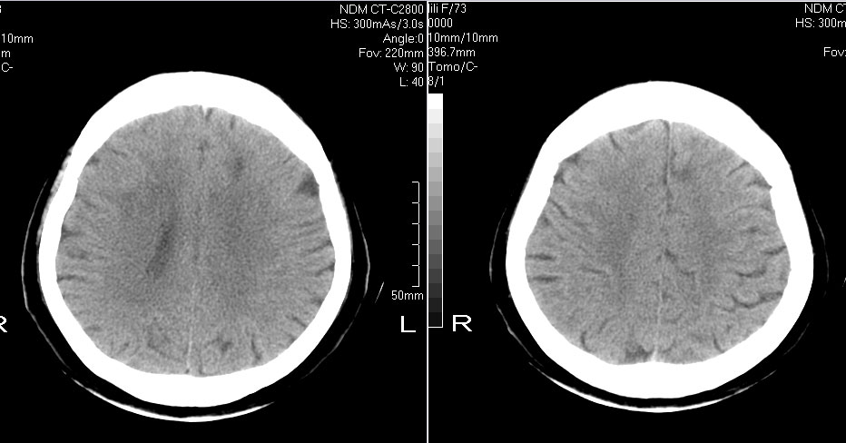
双侧基底节、胼胝体膝部多发腔隙性脑梗塞。
作者: lirenxiong 时间: 2007-12-11 04:56
多发腔梗!
作者: chry3 时间: 2007-12-11 05:10
额叶多发梗塞,直回与人的情感有关
作者: 卜一 时间: 2007-12-11 05:15
双侧基底节、左侧额叶 胼胝体膝部多发腔隙性脑梗塞。
作者: 徐飞 时间: 2007-12-11 05:16
1左额叶梗塞(多有情感障碍)2皮层下动脉硬化症
作者: 岚儿 时间: 2007-12-11 05:21
标题: 回复:ct10819:女,72,有高血压病史,突然寡言少语3日.
以下是引用卜一在2007-12-10 21:15:00的发言:[br]双侧基底节、左侧额叶 胼胝体膝部多发腔隙性脑梗塞。
作者: wangjj555 时间: 2007-12-11 05:33
双侧基底节、左侧额叶 胼胝体膝部多发腔隙性脑梗塞
作者: wangdch2008 时间: 2007-12-11 06:48
双侧基底节、左侧额叶 胼胝体膝部多发腔隙性脑梗塞
作者: 宇宙ct 时间: 2007-12-11 07:00
皮脑
作者: zjzjr 时间: 2007-12-11 16:51
双侧基底节、左侧额叶 胼胝体膝部多发腔隙性脑梗塞。
作者: jinguoji 时间: 2007-12-11 17:38
双侧基底节、左侧额叶 胼胝体膝部多发腔隙性脑梗塞。
作者: 小田 时间: 2007-12-11 17:52
多发腔梗!
作者: 平安是福 时间: 2007-12-11 17:55
多发性腔梗。
作者: 余辉 时间: 2007-12-11 18:43
双侧基底节、左侧额叶 胼胝体膝部多发腔隙性脑梗塞
作者: fytian 时间: 2007-12-11 18:48
fly双侧基底节、左侧额叶 胼胝体膝部多发腔隙性脑梗塞。/fly
作者: 晓杰 时间: 2007-12-11 22:35
双侧基底节、左侧额叶 胼胝体膝部多发腔隙性脑梗塞
作者: wansheng 时间: 2007-12-12 01:40
支持多发腔梗!
作者: 拾荒者 时间: 2007-12-12 03:19
双侧基底节、左侧额叶、胼胝体膝部多发腔隙性脑梗塞。支持!
作者: dyqct 时间: 2007-12-12 04:30
双侧基底节、左侧额叶 胼胝体膝部多发腔隙性脑梗塞。支持!!
作者: 宝天曼 时间: 2007-12-13 04:59
双侧基底节、胼胝体膝部多发腔隙性脑梗塞。
作者: wy232326 时间: 2007-12-13 18:50
双侧基底节、左侧额叶 胼胝体膝部多发腔隙性脑梗塞
支持
作者: zyx168 时间: 2007-12-22 07:33
双侧基底节、左侧额叶 胼胝体膝部多发腔隙性脑梗塞
| 欢迎光临 医影在线 (http://bbs.radida.com/bbs/) |
Powered by Discuz! X3.2 |