医影在线
标题: CT10820:男,73岁,病史肺TB,现病史肺炎,直肠CA术后 [打印本页]
作者: 42573734 时间: 2007-12-11 04:27
标题: CT10820:男,73岁,病史肺TB,现病史肺炎,直肠CA术后












































[本贴已被 jiajie 于 2007-12-10 20:29:54 修改过]
作者: lirenxiong 时间: 2007-12-11 04:53
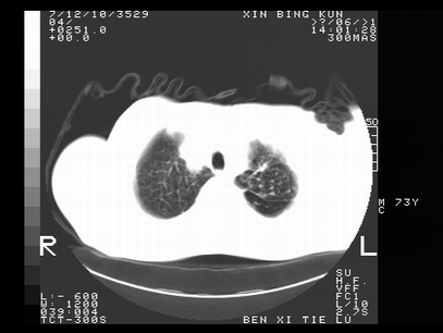
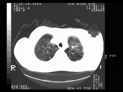
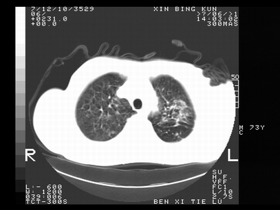
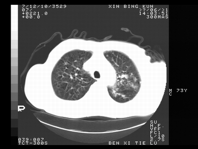
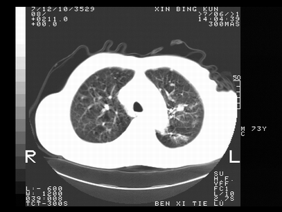
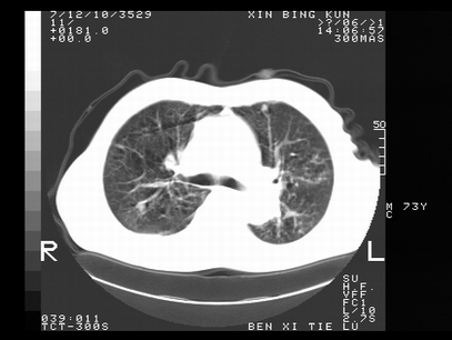
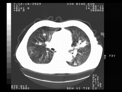
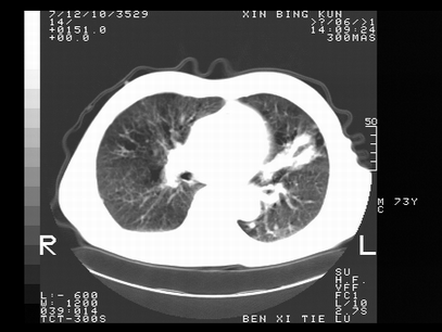
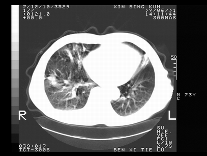
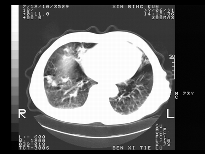
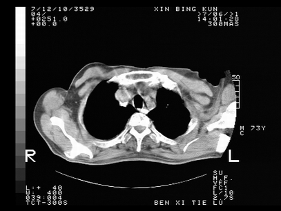
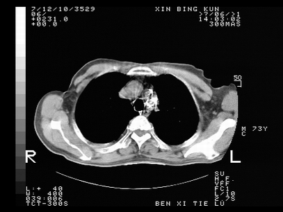
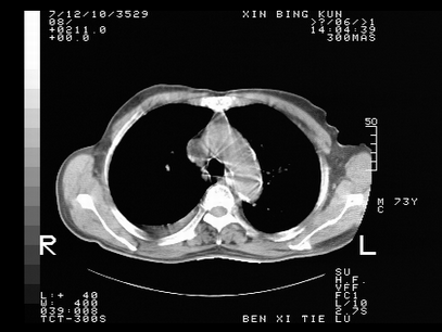
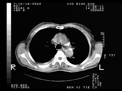
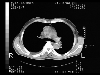
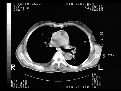
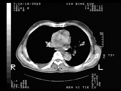
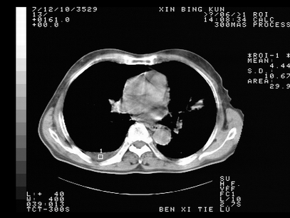
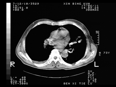
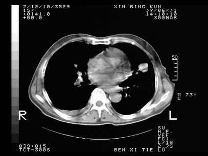
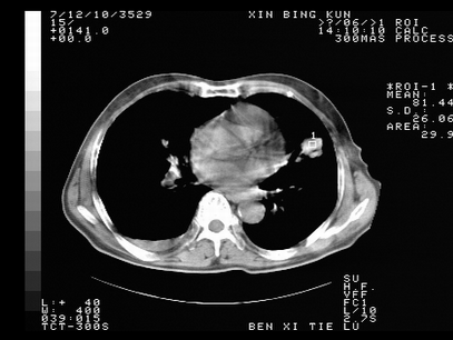
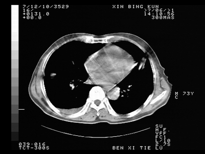
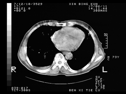
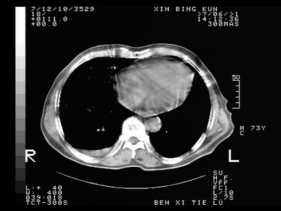
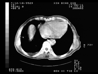
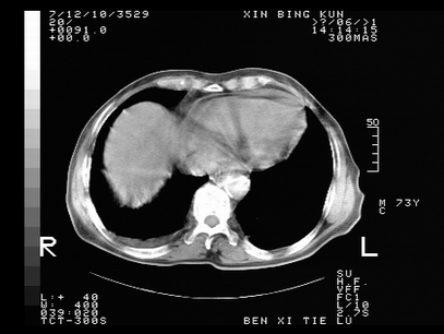
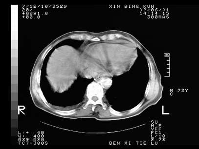
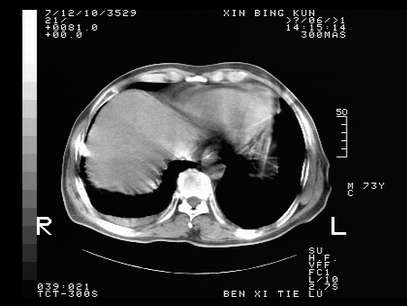
双肺间质改变,依据病史双肺多发结节灶考虑转移,少量胸水.
作者: 摘星空竹子 时间: 2007-12-11 04:56
1.两肺结核.2.两肺多发转移瘤.3右侧少量胸腔积液4.主动脉钙化.
作者: 卜一 时间: 2007-12-11 05:24
双肺多发结节及条片状致密影,右侧少量胸腔积液。临床:直肠ca术后,肺tb病史。综合考虑:1 双肺转移!2 继发性肺结核合并感染!
作者: wangdch2008 时间: 2007-12-11 05:36
1两肺结核2右侧胸腔积液3主动脉硬化
作者: bailaode 时间: 2007-12-11 05:48
此人病史较复杂,原有肺结核,直肠癌术后。肺部病灶形态亦呈多形性。因此,不可仅以一种病来解释肺部的病变。双肺多发的类圆形结节灶,结合病史还是首先考虑转移瘤,而双肺其余病灶还需结合化验室检查,结核或肺部感染在无其它检查资料的情况下不好排除。还是那句话----放射科医生不是开照像馆的,我们也是医生,看片一定要多结合临床及其它检查资料。要当一名合格的放射科医生,并不比当一名临床医生容易,我们可别把自已不当医生看。
作者: wangzhengyuan 时间: 2007-12-11 05:48
1.两肺结核.2.两肺多发转移瘤.3右侧少量胸腔积液4.主动脉钙化.
作者: qiushi 时间: 2007-12-11 05:53
1两肺结核2右侧胸腔积液.转移待排
作者: zhx119 时间: 2007-12-11 06:15
两肺多发结节影,并见滋养动脉与其相连,考虑 两肺转移. 右侧胸腔积液考虑胸膜转移.
作者: zjzjr 时间: 2007-12-11 16:47
1.两肺结核.2.两肺多发转移瘤.3右侧少量胸腔积液4.主动脉钙化.
作者: jinguoji 时间: 2007-12-11 17:10
1.两肺结核.2.两肺多发转移瘤.3右侧少量胸腔积液4.主动脉钙化.
作者: 312nanyang 时间: 2007-12-11 17:32
同意楼上的意见
作者: fytian 时间: 2007-12-11 17:57
左肺上叶下叶背段,右肺中下叶见多发斑片状、条索状高密度影,兵变周围小结节影形成“树芽”样改变。 左肺上叶舌段近前胸壁处及右肺中叶内侧段见结节影。右侧胸膜腔内见液体密度区。纵隔内未见明确增大淋巴结。考虑左肺上叶舌段近前胸壁处及右肺中叶转移瘤可能性大。两肺继发型肺结核。右侧胸腔积液。
作者: jiangjing 时间: 2007-12-11 20:00
考虑 1肺部感染。2陈旧性肺结核。3肺部结节影,转移瘤可能。
作者: ydx_74 时间: 2007-12-11 22:02
1.两肺结核.2.两肺多发转移瘤.3右侧少量胸腔积液4.主动脉钙化
作者: 晓杰 时间: 2007-12-11 22:05
双肺多发结节及条片状致密影,右侧少量胸腔积液。临床:直肠ca术后,肺tb病史。综合考虑:1 双肺转移!2 继发性肺结核合并感染!
作者: wqs571018 时间: 2007-12-12 02:42
支持:两肺结核.2.两肺多发转移瘤.3右侧少量胸腔积液4.主动脉钙化.
作者: 拾荒者 时间: 2007-12-12 03:23
标题: 回复:ct10820:男,73岁,病史肺tb,现病史肺炎,直肠ca术后
以下是引用晓杰在2007-12-11 14:05:00的发言:[br]双肺多发结节及条片状致密影,右侧少量胸腔积液。临床:直肠ca术后,肺tb病史。综合考虑:1 双肺转移!2 继发性肺结核合并感染!
作者: dyqct 时间: 2007-12-12 04:27
标题: 回复:ct10820:男,73岁,病史肺tb,现病史肺炎,直肠ca术后
以下是引用zjzjr在2007-12-11 8:47:00的发言:[br]1.两肺结核.2.两肺多发转移瘤.3右侧少量胸腔积液4.主动脉钙化.
还有心包少量积液。
作者: 宝天曼 时间: 2007-12-13 04:57
1两肺结核2右侧胸腔积液3主动脉硬化
作者: yugongyishan 时间: 2007-12-13 05:12
双肺结核,双肺转移瘤,右侧胸腔积液支持
作者: wy232326 时间: 2007-12-13 18:06
双肺多发结节及条片状致密影,右侧少量胸腔积液。临床:直肠ca术后,肺tb病史。综合考虑:1 双肺转移!2 继发性肺结核合并感染!
支持
作者: zyx168 时间: 2007-12-22 07:32
1两肺结核2右侧胸腔积液.转移待排
| 欢迎光临 医影在线 (http://bbs.radida.com/bbs/) |
Powered by Discuz! X3.2 |