医影在线

标题: PED0497:M 7 请教各位老师,看看是什么病? [打印本页]

作者: 蚂蚁    时间: 2007-12-12 04:03
标题: PED0497:M 7 请教各位老师,看看是什么病?
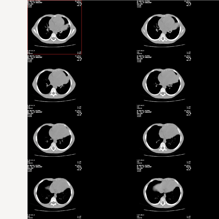
m 7
咳嗽、咯血半月。查体:双肺呼吸音粗,可及干湿鸣。自诉每年均有发作。
肺窗:





[本贴已被 jiajie 于 2007-12-11 21:18:06 修改过]

作者: 蚂蚁    时间: 2007-12-12 04:05
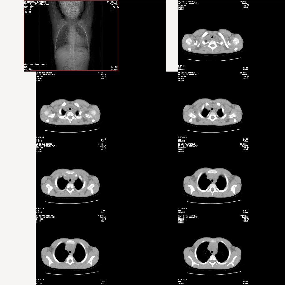
标题: 纵隔窗:




作者: zhangkai    时间: 2007-12-12 04:19
图像太小了,不好看,左肺出血、感染性病变?
作者: 卜一    时间: 2007-12-12 04:59
双肺感染性病变——结核可能性大!
作者: wangzhengyuan    时间: 2007-12-12 05:26
图像太小了,不好看
作者: 蚂蚁    时间: 2007-12-12 05:48
各位老师,我也没办法,图像大了就得一张张的传,谁叫大图像又不能上传呢。
作者: 代课学生    时间: 2007-12-12 16:38
首先考虑肺内炎症。
作者: dyqct    时间: 2007-12-12 17:39
支持肺炎,建议严格抗炎治疗后复查。
作者: 玊玉    时间: 2007-12-12 20:41
炎症应该有,排除一下有没有支扩吧
作者: jinguoji    时间: 2007-12-12 22:27
支持肺炎,建议抗炎治疗后复查。
作者: 同    时间: 2007-12-12 23:17
支持双侧肺炎.
作者: 前行    时间: 2007-12-13 05:28
左肺上叶上舌段不张实变,建议纤支镜检查
作者: 宝天曼    时间: 2007-12-13 05:32
首先考虑肺内炎症
作者: zzyy    时间: 2007-12-13 21:33
左肺炎症,是否为过敏性。
作者: jiangjing    时间: 2007-12-14 23:48
支持 肺发育不全伴感染与支气管扩张
作者: yzmw1979    时间: 2007-12-17 03:04
考虑肺炎,但支气管会不会有问题,建议抗炎治疗后复查。
作者: 石门之剑    时间: 2007-12-17 06:57
支持肺炎,建议严格抗炎治疗后复查。
作者: GUANAISHENGMING    时间: 2007-12-17 07:34
图像太小,不好看
作者: zjzjr    时间: 2007-12-18 17:25
支持肺炎,建议严格抗炎治疗后复查。




欢迎光临 医影在线 (http://bbs.radida.com/bbs/) Powered by Discuz! X3.2