医影在线
标题: CT10836:囊性占位,请大家做定位诊断 [打印本页]
作者: bailaode 时间: 2007-12-12 04:54
标题: CT10836:囊性占位,请大家做定位诊断
(结果公布:http://www.radida.com/bbs/forum.php?mod=viewthread&tid=32618)
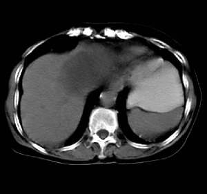
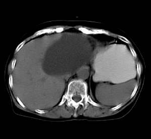
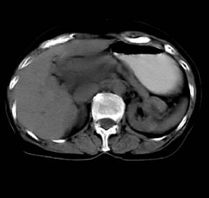
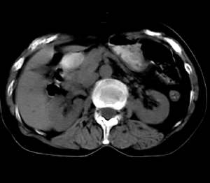
患者无任何不适及阳性体征,超声体检时发现,未做增强扫描。囊影密度均匀,ct值略高于水,囊影壁薄光滑,囊内密度均一。定性诊断不难,应是个囊肿。请大家做个定位诊断











[本贴已被 jiajie 于 2007-12-15 16:17:02 修改过]
作者: zhengjq76 时间: 2007-12-12 05:15
肝内的吧
作者: dyqct 时间: 2007-12-12 05:15
支持 肝左叶外侧段巨大囊肿。
作者: jmwangke 时间: 2007-12-12 05:24
1.无临床症状。2.小网膜囊组织受压推移。3.肝内胆管正常。纵上3点,考虑小网膜或肠系膜囊肿可能性大,最好mpvr多平面重建。
作者: wangzhengyuan 时间: 2007-12-12 05:45
肝左叶,做个冠状位应该能看清楚。
作者: chinazhouhua 时间: 2007-12-12 05:47
肝左叶外侧段囊肿
作者: 张海螺 时间: 2007-12-12 05:57
肝胃韧带(小网膜)
作者: 余辉 时间: 2007-12-12 06:02
病灶上部层面与肝脏交界清楚但不太截然,下部层面与肝之间可见线状高密度带,考虑由囊块压迫肝实质形成,考虑caroli氏病,其次考虑左肝囊肿向下向肝外生长,另外其他来源囊肿及消化道重复畸形不排除
作者: bao_bei 时间: 2007-12-12 06:22
肝左叶外侧段巨大囊肿
作者: bao_bei 时间: 2007-12-12 06:24
肝左叶外侧段巨大囊肿
作者: yuhg 时间: 2007-12-12 06:49
应该是肝内
作者: hexue 时间: 2007-12-12 06:52
肝内
作者: liuyue 时间: 2007-12-12 06:55
肝左叶外侧段囊肿。
作者: 沙漠骆驼 时间: 2007-12-12 07:01
肝胃韧带网膜囊肿>肝左叶巨大囊肿.
作者: 霉超人 时间: 2007-12-12 07:31
首先考虑小网膜囊肿,肝左叶囊肿不除外,建议mpr,应该不难。
作者: happyverycd 时间: 2007-12-12 13:27
标题: 回复:ct10836:囊性占位,请大家做定位诊断
不知有没有胰腺炎病史,考虑胰腺假囊肿.
作者: ZHANGZHONGSHOU 时间: 2007-12-12 15:36
支持肝囊肿
作者: zsl6918 时间: 2007-12-12 16:24
两种考虑,1.肝囊肿。2,先天性胆管囊肿。
作者: 西凡 时间: 2007-12-12 16:51
支持 肝左叶外侧段巨大囊肿。
作者: zjzjr 时间: 2007-12-12 17:05
支持 肝左叶外侧段巨大囊肿。
作者: 宁娃 时间: 2007-12-12 17:21
肝左叶囊肿
作者: ydx_74 时间: 2007-12-12 17:34
肝左叶外侧段巨大囊肿。
作者: wangtao 时间: 2007-12-12 18:15
支持肝左外侧段囊肿
作者: lirenxiong 时间: 2007-12-12 18:57
支持先天性胆管囊肿
作者: jingtao007 时间: 2007-12-12 20:19
我想应该为肝左叶的吧
作者: yuxianw 时间: 2007-12-12 21:24
支持左肝囊肿。
作者: jinguoji 时间: 2007-12-12 21:46
支持肝左叶外侧段巨大囊肿。
作者: 同 时间: 2007-12-12 23:07
考虑肝左叶外侧段巨大囊肿.
作者: suxunbo 时间: 2007-12-12 23:25
支持肝左叶囊肿
作者: xulianj 时间: 2007-12-13 02:27
肝左叶外侧段巨大囊肿。支持
作者: 拾荒者 时间: 2007-12-13 03:31
首先考虑肝左叶外侧段巨大囊肿。
作者: wqs571018 时间: 2007-12-13 03:37
也首先考虑肝左叶外侧段巨大囊肿。
作者: 鲁巨CT 时间: 2007-12-13 04:14
左叶囊肿
作者: 宝天曼 时间: 2007-12-13 04:35
肝左叶外侧段囊肿
作者: wy232326 时间: 2007-12-13 18:42
支持 肝左叶外侧段巨大囊肿。
作者: 齐原 时间: 2007-12-16 07:29
不增强就做手术啊
作者: jinguoji 时间: 2007-12-16 21:02
结果收到,谢谢!
作者: zyx168 时间: 2007-12-22 06:52
结果收到,谢谢!
| 欢迎光临 医影在线 (http://bbs.radida.com/bbs/) |
Powered by Discuz! X3.2 |