医影在线

标题: CT10837:男,47岁,纵隔、外伤! [打印本页]

作者: 西凡    时间: 2007-12-12 16:44
标题: CT10837:男,47岁,纵隔、外伤!
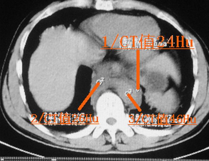
男性,47岁,车祸致胸痛2小时。





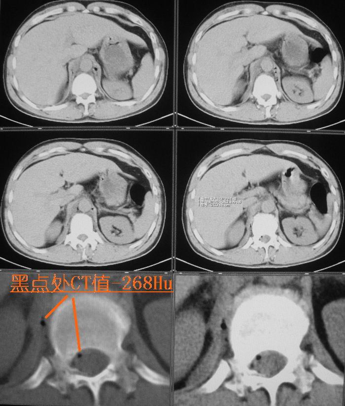
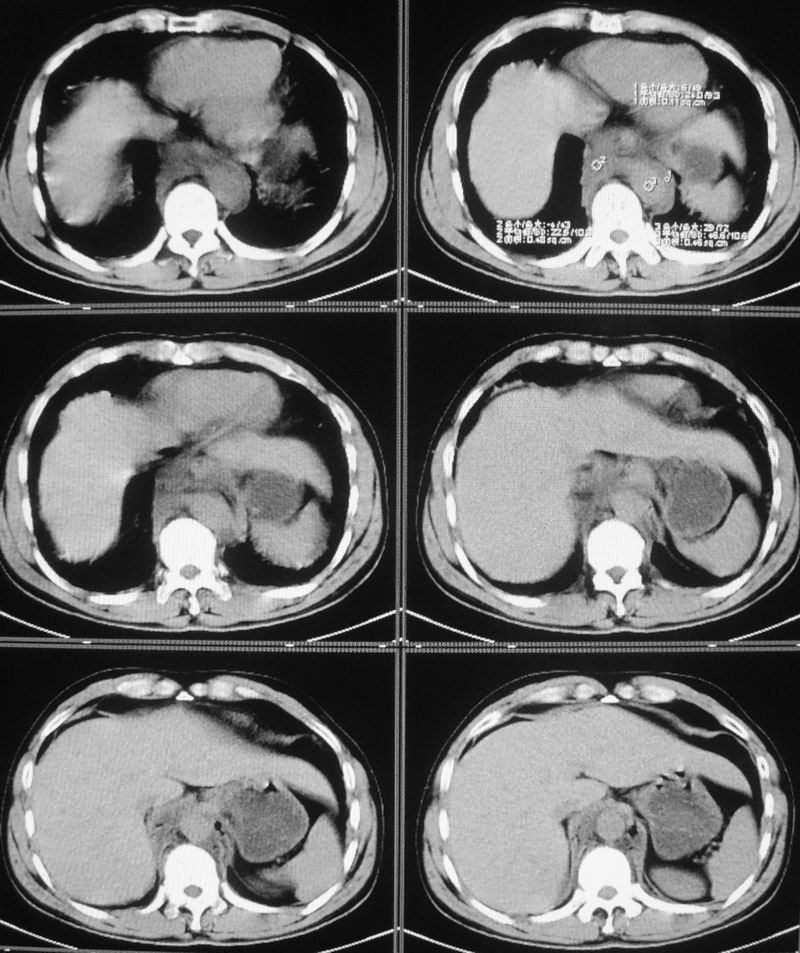
请大家看看后纵隔食道及降主动脉周围的软组织密度灶是什么?双侧膈肌脚内侧及椎管内的气体影是怎么回事?

[本贴已被 jiajie 于 2007-12-12 8:47:15 修改过]

作者: 西凡    时间: 2007-12-12 16:47
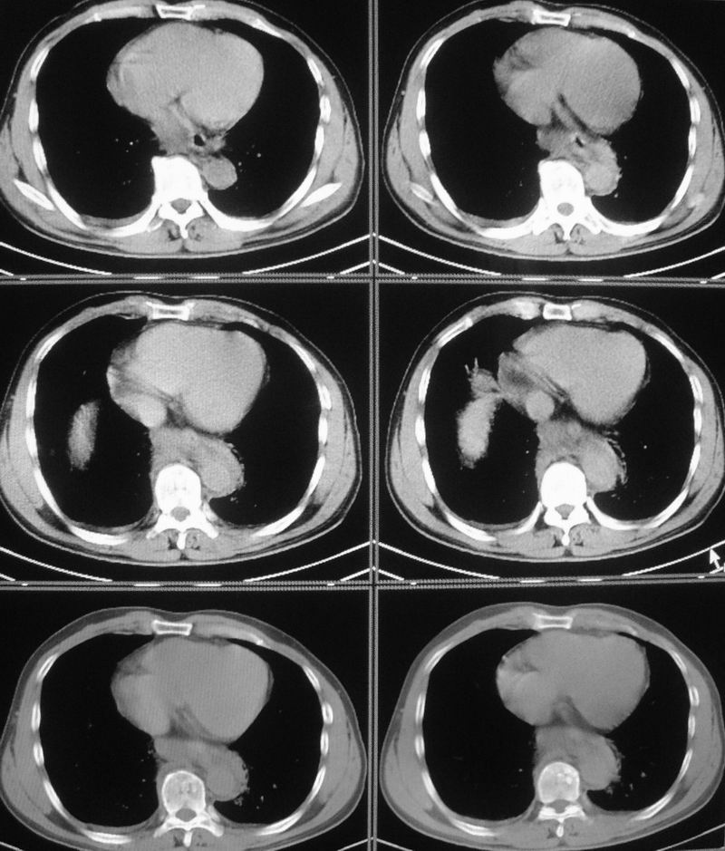
如果觉得不清晰,可以点击看大图!!
作者: ydx_74    时间: 2007-12-12 17:28
后纵隔纤维化,椎管内气影多为退化。
作者: hkdy1029    时间: 2007-12-12 19:13
考虑纵隔外伤后积血。
右肺下叶血肿形成。
作者: ZHANGZHONGSHOU    时间: 2007-12-12 20:26
食管裂孔疝可能性大,建议食管造影检查。
作者: 余辉    时间: 2007-12-12 20:46
结合病史多考虑纵隔血肿形成
作者: 沙漠骆驼    时间: 2007-12-12 20:58
可疑胸椎有问题? 建议进一步检查, 如果胸椎椎体没问题, 后纵隔纤维化及椎管内气影支持.
作者: yuxianw    时间: 2007-12-12 21:21
有外伤病史,两个征象应该认为是外伤所致出血;需再确认是否有骨折,导致的积气。
作者: dzctdcq    时间: 2007-12-12 21:41
是后纵隔出血还是出血合并有胸主动脉加层,增强扫描.
作者: zjzjr    时间: 2007-12-12 21:51
有外伤病史,两个征象应该认为是外伤所致出血;需再确认是否有骨折,导致的积气。
作者: 西凡    时间: 2007-12-12 21:59
标题: 回复:ct10837:男,47岁,纵隔、外伤!
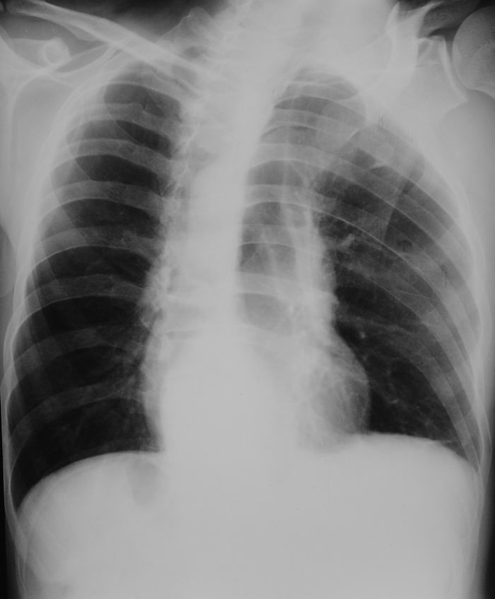
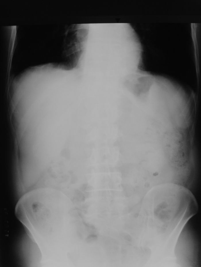
伤者今天上午又来照了胸正斜位、立腹片、腰椎片:




作者: 同    时间: 2007-12-12 23:09
标题: 回复:ct10837:男,47岁,纵隔、外伤!
以下是引用zjzjr在2007-12-12 13:51:00的发言:[br]有外伤病史,两个征象应该认为是外伤所致出血;需再确认是否有骨折,导致的积气。

作者: juwen73    时间: 2007-12-12 23:13
结合 临床考虑后纵隔血肿吧
作者: zsl6918    时间: 2007-12-12 23:15
应该是与外伤有关的影像表现。血肿不太象!会不会是创伤性膈疝
作者: 卜一    时间: 2007-12-13 00:49
支持:后纵隔外伤所致出血!
作者: clj20    时间: 2007-12-13 00:52
后纵隔血肿,右胸腔少量积液,建议排除外伤外其它病变
作者: xulianj    时间: 2007-12-13 02:51
血肿不太象!会不会是创伤性膈疝?
作者: 拾荒者    时间: 2007-12-13 03:38
结合病史多考虑纵隔血肿形成 ,椎管及右侧腰大肌内侧气体影也与外伤有关。
作者: 西凡    时间: 2007-12-13 04:14
要不要考虑食道中下段的损伤呢?这样血肿和气体影就都好解释了。
作者: 宝天曼    时间: 2007-12-13 04:14
考虑纵隔外伤后积血。
右肺下叶血肿形成。
作者: wy232326    时间: 2007-12-13 19:12
有外伤病史,两个征象应该认为是外伤所致出血;需再确认是否有骨折,导致的积气
支持
作者: zyx168    时间: 2007-12-22 06:51
后纵隔外伤所致出血




欢迎光临 医影在线 (http://bbs.radida.com/bbs/) Powered by Discuz! X3.2