医影在线
标题: CT10838:女性,56岁,是上腔静脉钙化还是淋巴结钙化? [打印本页]
作者: lirenxiong 时间: 2007-12-12 19:32
标题: CT10838:女性,56岁,是上腔静脉钙化还是淋巴结钙化?
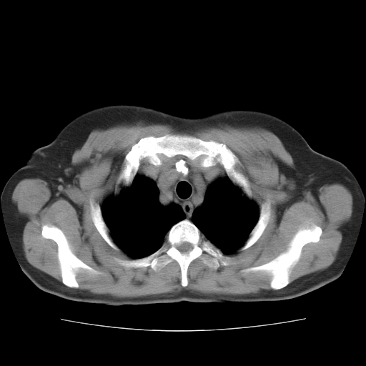
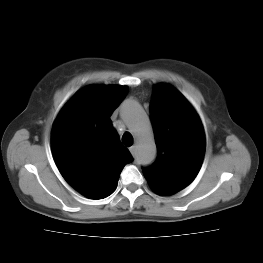
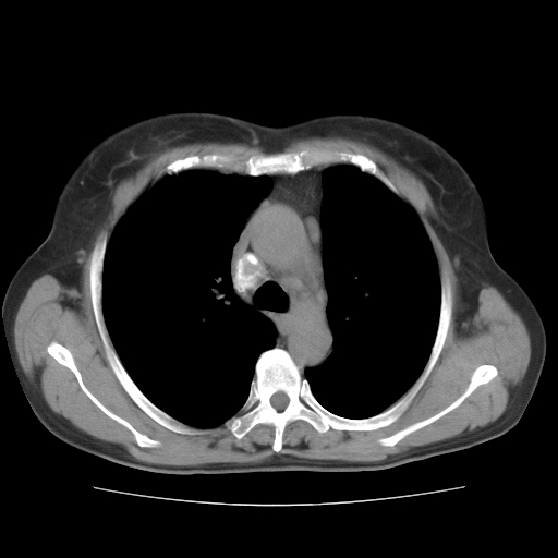
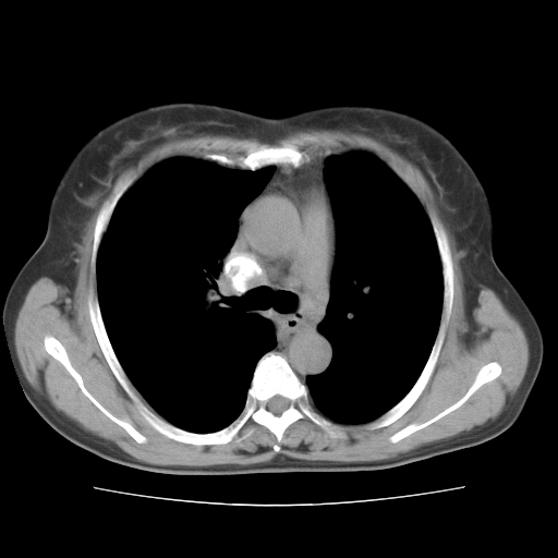
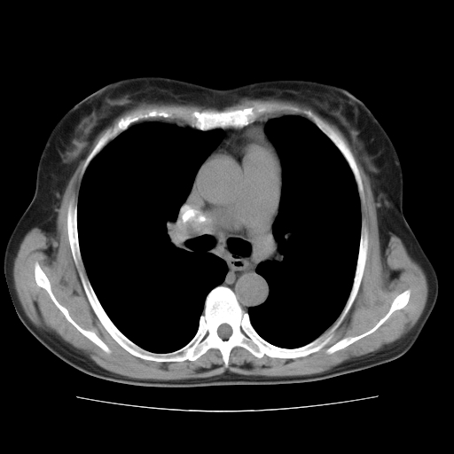
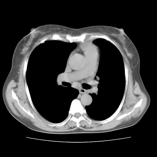
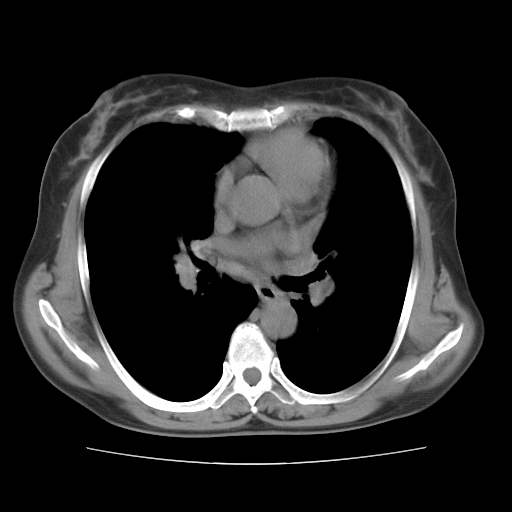
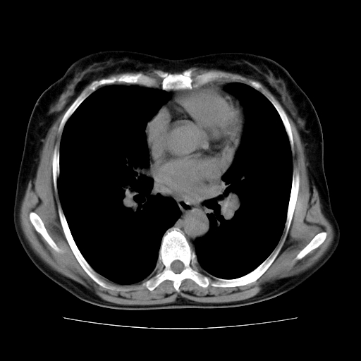
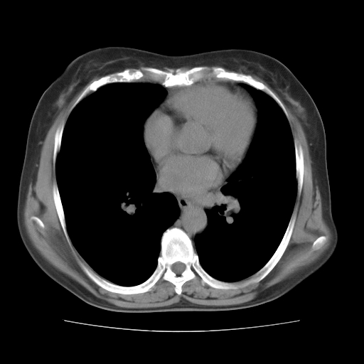
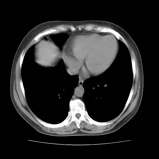
女性,56岁临床诊断为胃贲门ca,术前检查发现,此钙化灶,对此科内稍有争论!请各位老师看看!是上腔的还是淋巴结的?有意义吗?















[本贴已被 jiajie 于 2007-12-12 14:58:47 修改过]
作者: 王仕学 时间: 2007-12-12 19:49
考虑淋巴结钙化.
作者: 郭吉顺1 时间: 2007-12-12 20:08
上腔静脉和淋巴结
作者: jingtao007 时间: 2007-12-12 20:16
多考虑为淋巴结钙化
作者: 沙漠骆驼 时间: 2007-12-12 20:20
淋巴结钙化. 支持.
作者: ZHANGZHONGSHOU 时间: 2007-12-12 20:28
淋巴结钙化,无明显临床意义。
作者: jiawei780713 时间: 2007-12-12 20:40
淋巴结钙化可能性大,病灶较局限
作者: 余辉 时间: 2007-12-12 20:43
淋巴结钙化,没有什么意义
作者: strongmyself 时间: 2007-12-12 20:49
新人路过,看看大家的意见
作者: mengxc 时间: 2007-12-12 20:54
考虑淋巴结钙化
作者: dzctdcq 时间: 2007-12-12 21:26
淋巴结钙化,上腔静脉在外侧可看到.
作者: jinguoji 时间: 2007-12-12 21:43
考虑淋巴结钙化,没有什么意义。
作者: zjzjr 时间: 2007-12-12 21:48
支持淋巴结钙化,气管前胸骨后也有.
作者: chen123 时间: 2007-12-12 22:53
考虑淋巴结钙化
作者: zsl6918 时间: 2007-12-12 23:00
淋巴结的钙化,意义不大。
作者: 同 时间: 2007-12-12 23:11
应该是淋巴结钙化.
作者: fytian 时间: 2007-12-12 23:25
胸锁关节层面的是淋巴结钙化,气管前腔静脉后的钙化灶占了4个层面,不知层厚是多少?看样子应该是7--10毫米之间,那么这病灶最小纵径得有28毫米!应该提示点什么了,没传肺窗,估计肺内没有病变?
作者: suxunbo 时间: 2007-12-12 23:26
支持淋巴结钙化
作者: dyqct 时间: 2007-12-12 23:35
考虑:上腔静脉后淋巴结钙化,没有什么意义。
作者: 逸风 时间: 2007-12-12 23:42
左锁骨下静脉和头臂静脉会合后形成是上腔静脉,此钙化位于两血管回合的腔静脉后方、气管右前方,这个位置没有其他结构,应该是淋巴结钙化。一般多为淋巴结核后钙化,没有临床意义。
作者: wfq2222 时间: 2007-12-12 23:53
钙化淋巴结
作者: LIAOQIANG 时间: 2007-12-12 23:55
考虑淋巴结的钙化。
作者: 卜一 时间: 2007-12-13 00:47
淋巴结钙化,没有什么意义, 支持!
作者: xulianj 时间: 2007-12-13 02:47
淋巴结钙化,没有什么意义。
作者: 拾荒者 时间: 2007-12-13 03:43
支持淋巴结钙化,没临床意义。
作者: 鲁巨CT 时间: 2007-12-13 03:50
钙化淋巴结
作者: 宝天曼 时间: 2007-12-13 04:17
淋巴结钙化,无明显临床意义。
作者: wy232326 时间: 2007-12-13 19:09
淋巴结钙化. 支持
作者: zyx168 时间: 2007-12-22 06:46
考虑为淋巴结钙化
| 欢迎光临 医影在线 (http://bbs.radida.com/bbs/) |
Powered by Discuz! X3.2 |