医影在线
标题: CT10840: F/86 阑尾术后,B超发现腹部包块,强烈呼吁医疗安全 [打印本页]
作者: 52yingxiang 时间: 2007-12-12 21:46
标题: CT10840: F/86 阑尾术后,B超发现腹部包块,强烈呼吁医疗安全
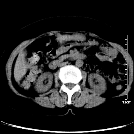
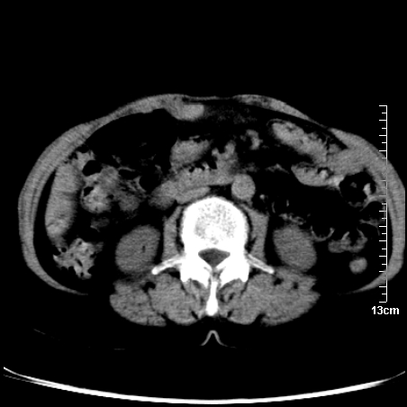
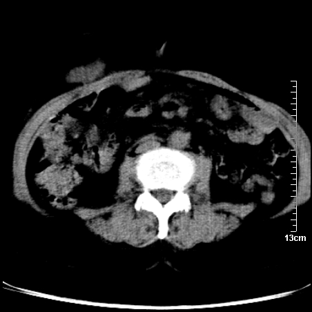
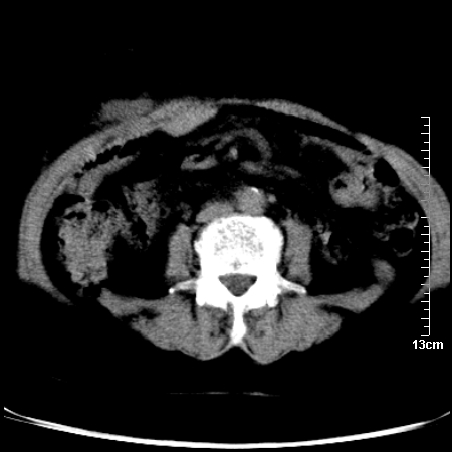
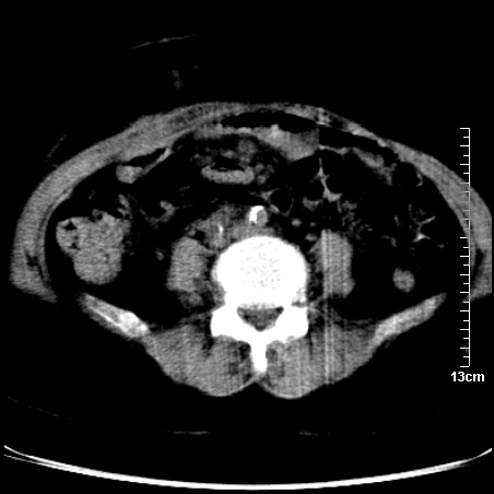
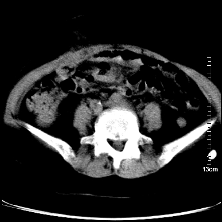
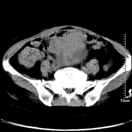
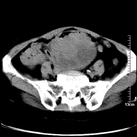
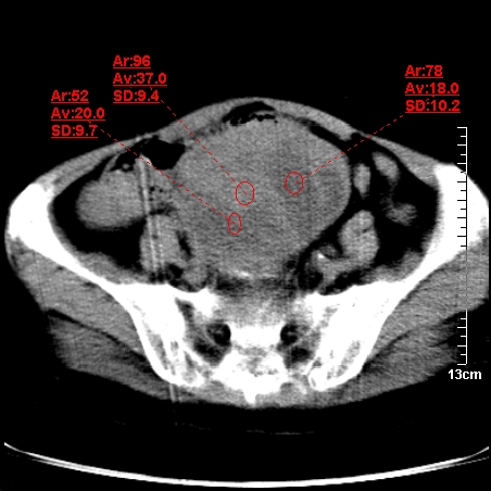
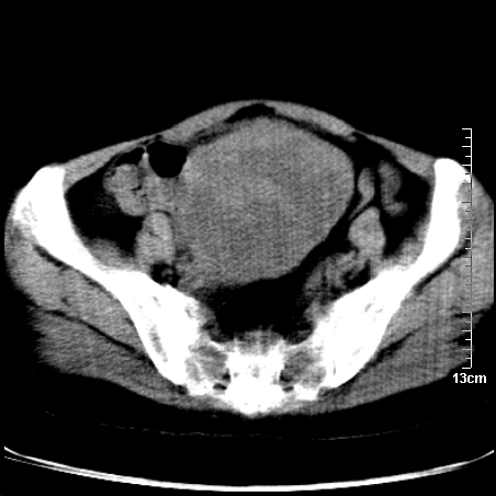
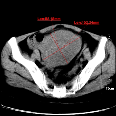
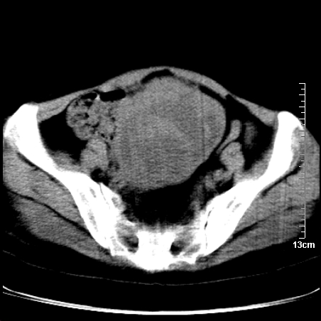
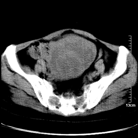
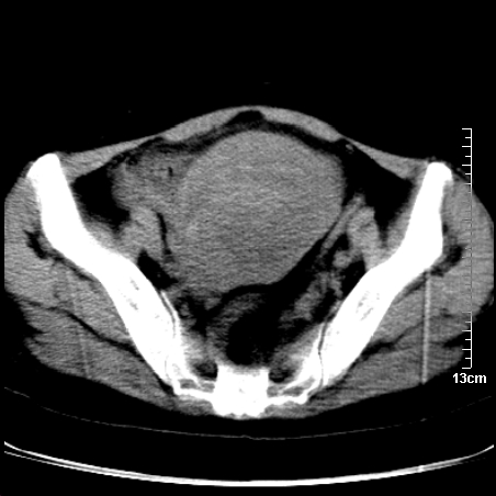
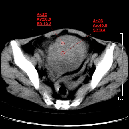
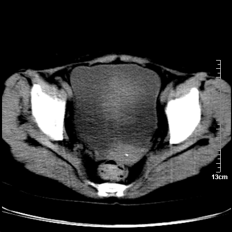
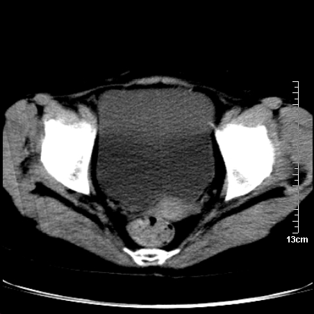
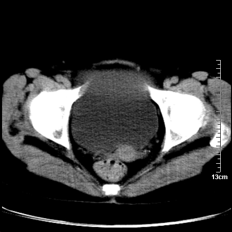
术前的疏忽,手术前诊断阑尾炎,但是没有常规做b超,导致术后1周检查发现 1。实性包块?2。腹腔术后脓肿?
病史:病人一周前诊断阑尾炎,未做b超,手术发现阑尾化脓,(没有留意有无包块),术后1周病人发热,血象:1.6万,做b超发现,随ct检查,上传图片























[本贴已被 jiajie 于 2007-12-12 15:02:14 修改过]
作者: zsl6918 时间: 2007-12-12 23:22
结合临床考虑炎性包块
作者: dyqct 时间: 2007-12-12 23:41
巨大囊实性包块,边界大部尚清楚,不太像脓肿的表现。应该做个增强检查除外盆腔肿瘤。
作者: 沙漠骆驼 时间: 2007-12-12 23:45
脓肿可能性大. 因回盲部区域化脓性兰尾切除残端感染改变征像与实性肿块关系密切.肿块上界至右下腹,下界至盆腔膀胱上缘, 如果是实性肿块在兰尾术中可能就会发现. 所以术后一周病人高烧, 白细胞增高,临床表现支持脓肿.
作者: LIAOQIANG 时间: 2007-12-12 23:49
盆腔一边界大部份清晰囊实性肿块,其周腹脂未见确切异常,其一端与右侧附件相连。考虑右侧附件肿瘤。
作者: 逸风 时间: 2007-12-12 23:58
如果能进行肠道准备就好了!盆腔内巨大囊实性包块,右前缘与周围肠管分界不清,病灶内前部的气体是否为肠管内气体形成的假象不能确定。
这么大一包快手术当中没有发现?值得怀疑!结合化脓性阑尾炎病史,首先考虑脓肿!不排外附件来源的肿瘤,建议增强扫描!!
作者: wfq2222 时间: 2007-12-13 00:02
考虑肿瘤,建议增强
作者: 卜一 时间: 2007-12-13 00:44
因术前未做相关检查,故漏诊完全有可能!若脓肿这么大,临床不会单纯是阑尾炎的体征!支持:盆腔肿瘤——首选:附件来源的肿瘤,建议增强扫描!!!
作者: xulianj 时间: 2007-12-13 02:45
因术前未做相关检查,故漏诊完全有可能!若脓肿这么大,临床不会单纯是阑尾炎的体征!支持:盆腔肿瘤——首选:附件来源的肿瘤,建议增强扫描!!!支持
作者: happyverycd 时间: 2007-12-13 03:16
我在为一名女高中生做阑尾炎术前b超常规检查时发现右侧附件区囊性占位,其中可见脂类回声,遂诊断畸胎瘤,后经妇科及外科联合手术证实,该病例不是与我的那例巧合吧.
作者: 鲁巨CT 时间: 2007-12-13 03:48
实质性囊腺瘤可能
作者: 拾荒者 时间: 2007-12-13 03:55
标题: 回复:ct10840: f/86 阑尾术后,b超发现腹部包块,强烈呼吁医
以下是引用dyqct在2007-12-12 15:41:00的发言:[br]巨大囊实性包块,边界大部尚清楚,不太像脓肿的表现。应该做个增强检查除外盆腔肿瘤。
支持!
作者: 宝天曼 时间: 2007-12-13 04:10
这么大一包快手术当中没有发现?值得怀疑!结合化脓性阑尾炎病史,首先考虑脓肿!不排外附件来源的肿瘤,建议增强扫描!!
作者: zjzjr 时间: 2007-12-13 06:10
结合化脓性阑尾炎病史,首先考虑脓肿!不排外附件来源的肿瘤,建议增强扫描!!
作者: 余辉 时间: 2007-12-13 06:42
这么大的肿块术中会发现不了啊,不过现在病灶的样子比较支持肿瘤,有没有可能子宫肌瘤?
作者: zyx168 时间: 2007-12-22 06:40
因术前未做相关检查,故漏诊完全有可能!若脓肿这么大,临床不会单纯是阑尾炎的体征!支持:盆腔肿瘤——首选:附件来源的肿瘤,建议增强扫描!!!支持
| 欢迎光临 医影在线 (http://bbs.radida.com/bbs/) |
Powered by Discuz! X3.2 |