医影在线
标题: CT10843:男 61岁,胸部CT平扫 [打印本页]
作者: 同 时间: 2007-12-12 23:25
标题: CT10843:男 61岁,胸部CT平扫
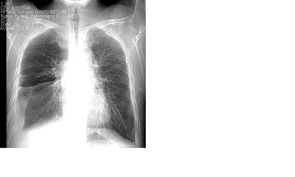
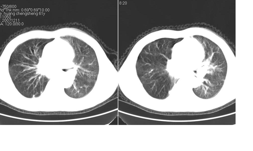
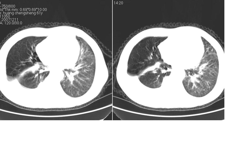
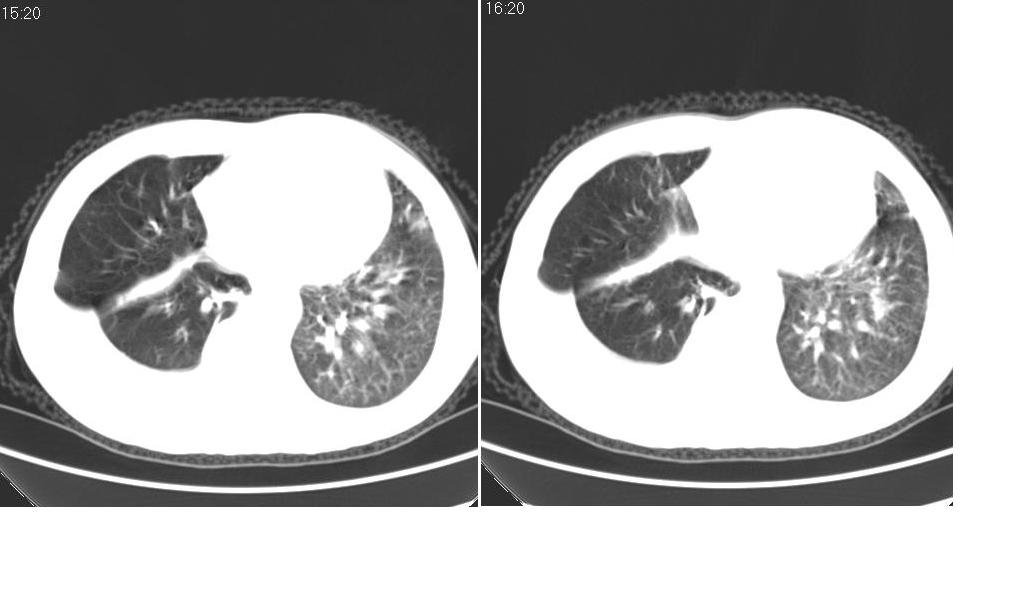
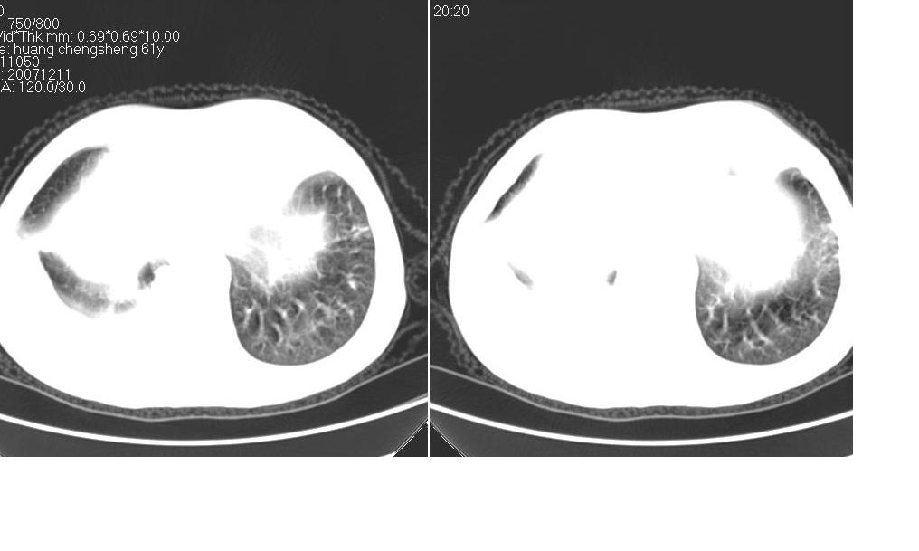
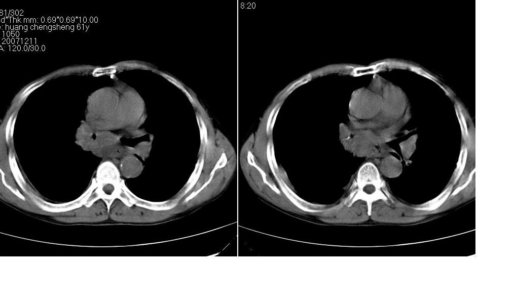
男 61岁,已确诊肺癌半年余.






















[本贴已被 jiajie 于 2007-12-12 15:28:52 修改过]
作者: zsl6918 时间: 2007-12-12 23:39
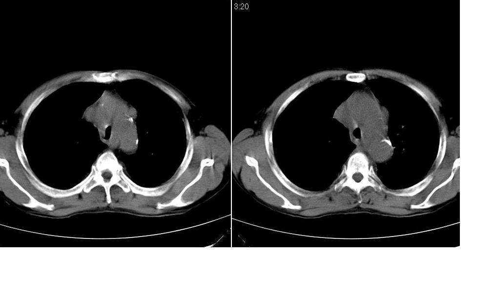
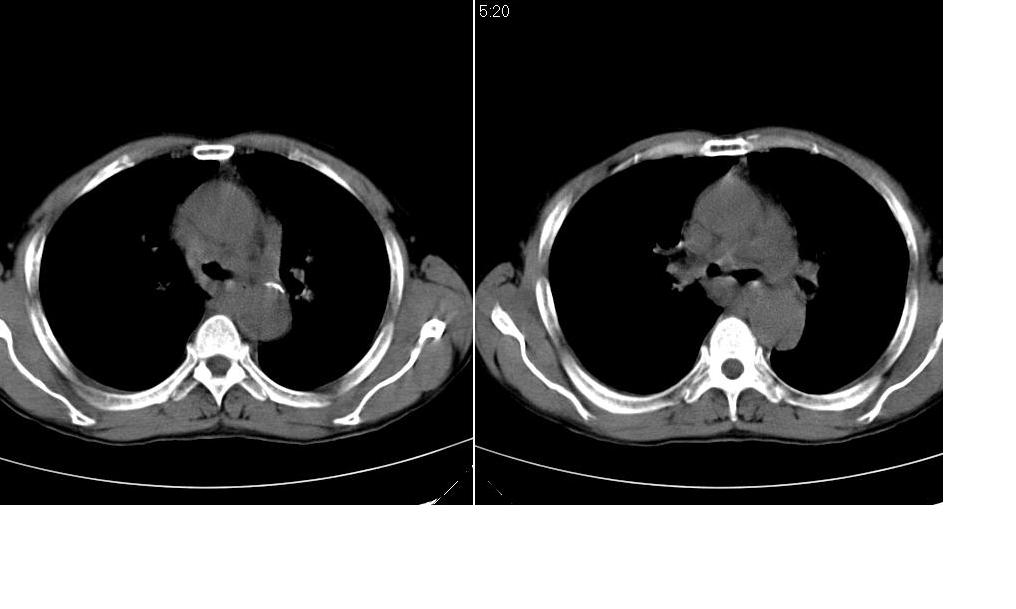
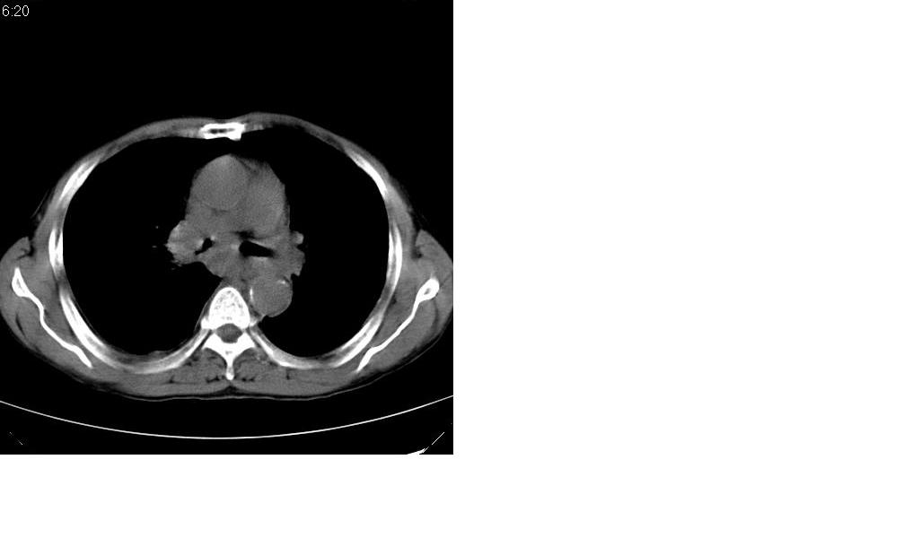
右肺小细胞肺癌并纵隔淋巴结转移。胸腔积液,心包少量积液。左肺改变不除外癌性淋巴管炎
作者: dyqct 时间: 2007-12-12 23:52
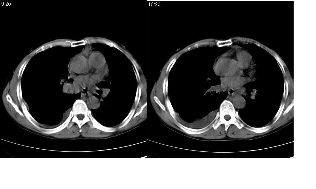
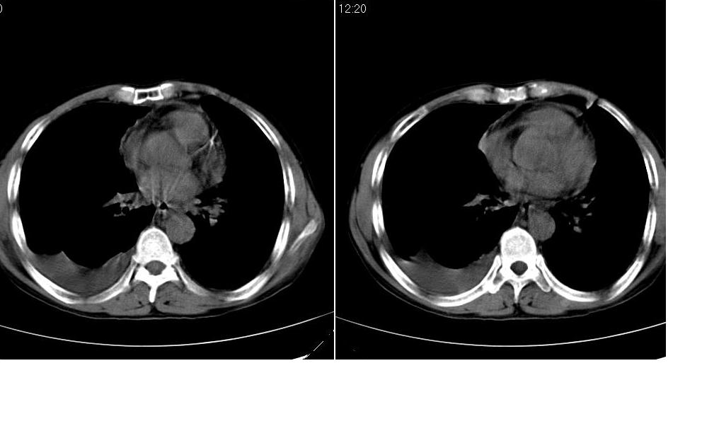
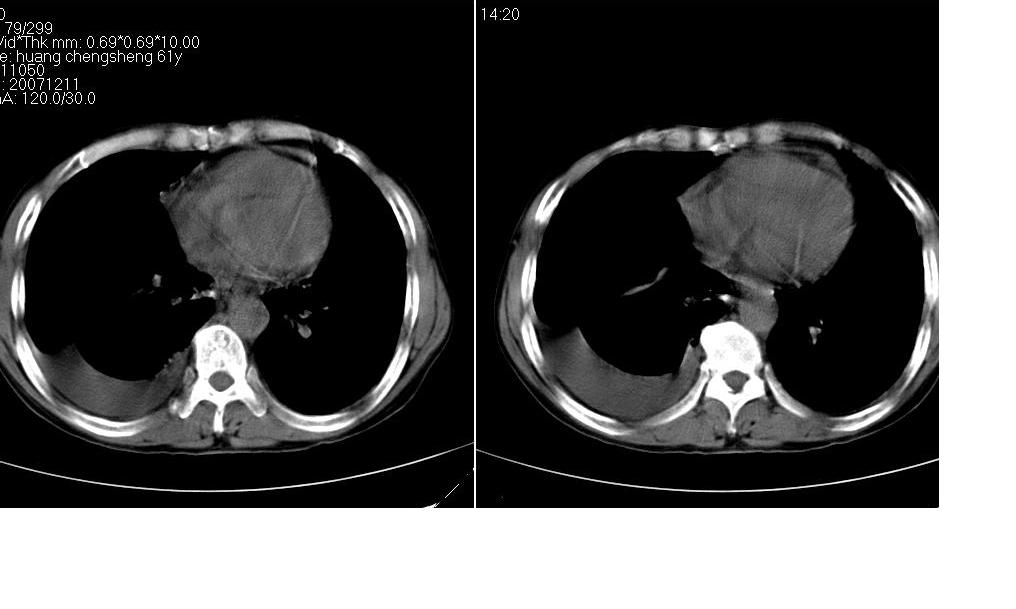
考虑:1、右肺下叶中心型肺癌并纵隔淋巴结转移。胸腔积液。
2、心包少量积液。
3、左肺改变不除外癌性淋巴管炎或化疗后肺间质纤维化。
作者: wfq2222 时间: 2007-12-12 23:55
标题: 回复:ct10843:男 61岁,胸部ct平扫
以下是引用dyqct在2007-12-12 15:52:00的发言:[br]考虑:1、右肺下叶中心型肺癌并纵隔淋巴结转移。胸腔积液。[br] 2、心包少量积液。[br] 3、左肺改变不除外癌性淋巴管炎或化疗后肺间质纤维化。
支持
作者: 逸风 时间: 2007-12-13 00:13
惭愧!愣是没有找到肿瘤在哪?终于更深切的体会到什么叫“距离”了!请楼主图示一下可以吗!
纵隔及右肺门淋巴结肿转移,右肺改变是否为阻塞性肺气肿改变?左肺改变支持淋巴管炎的诊断;化疗后肺改变应该双肺都有改变。
作者: 卜一 时间: 2007-12-13 00:36
考虑:1、右肺下叶中心型肺癌并纵隔淋巴结转移。胸腔积液。
2、心包少量积液。
3、左肺改变不除外癌性淋巴管炎或化疗后肺间质纤维化。
支持!另:右肺癌性淋巴管炎!
作者: 沙漠骆驼 时间: 2007-12-13 00:41
1 右肺下叶中心型肺癌.纵隔内淋巴结转移.右侧胸腔积液. 2 心包少量积液.3 肺间性改变考虑与化疗有关.
作者: happyverycd 时间: 2007-12-13 02:10
标题: 回复:ct10843:男 61岁,胸部ct平扫
见笑了,病变在中叶、下叶?右肺中叶综合怔?
[本贴已被 happyverycd 于 2007-12-12 18:10:39 修改过]
作者: xulianj 时间: 2007-12-13 03:00
考虑:1、右肺下叶中心型肺癌并纵隔淋巴结转移。胸腔积液。
2、心包少量积液。
3、左肺改变不除外癌性淋巴管炎或化疗后肺间质纤维化。
作者: wangjj555 时间: 2007-12-13 03:18
1 右肺下叶中心型肺癌.纵隔内淋巴结转移.右侧胸腔积液. 2 心包少量积液.3 肺间性改变考虑与化疗有关.
作者: 徐中佑 时间: 2007-12-13 03:19
标题: 回复:ct10843:男 61岁,胸部ct平扫
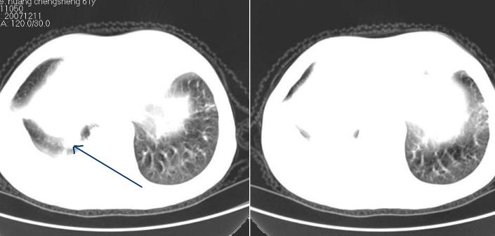
补充一下:右肺底好象有一个类圆形的结节影,可考虑为肺部转移。如图示。[
[本贴已被 徐中佑 于 2007-12-12 19:20:02 修改过]
作者: wqs571018 时间: 2007-12-13 04:18
右肺是否做过肺叶手术?
作者: 拾荒者 时间: 2007-12-13 04:32
以下是引用dyqct在2007-12-12 15:52:00的发言:
考虑:1、右肺下叶中心型肺癌并纵隔淋巴结转移。胸腔积液。
2、心包少量积液。
3、左肺改变不除外癌性淋巴管炎或化疗后肺间质纤维化。
支持
作者: zjzjr 时间: 2007-12-13 06:02
考虑:1、右肺下叶中心型肺癌并纵隔及左肺门淋巴结转移。胸腔积液。
2、心包少量积液。
3、左肺改变与左肺门肿大淋巴结影压迫主支气管有关。
作者: wzr 时间: 2007-12-13 06:35
考虑:1、右肺下叶中心型肺癌并纵隔淋巴结转移。胸腔积液。
2、心包少量积液。
3、左肺改变不除外癌性淋巴管炎或化疗后肺间质纤维化。
支持
作者: zyx168 时间: 2007-12-22 06:32
考虑:1、右肺下叶中心型肺癌并纵隔淋巴结转移。胸腔积液。
2、心包少量积液。
3、左肺改变不除外癌性淋巴管炎或化疗后肺间质纤维化。
支持
| 欢迎光临 医影在线 (http://bbs.radida.com/bbs/) |
Powered by Discuz! X3.2 |