医影在线

标题: CT10845:肝占位? [打印本页]

作者: xclzq_910    时间: 2007-12-13 00:47
标题: CT10845:肝占位?
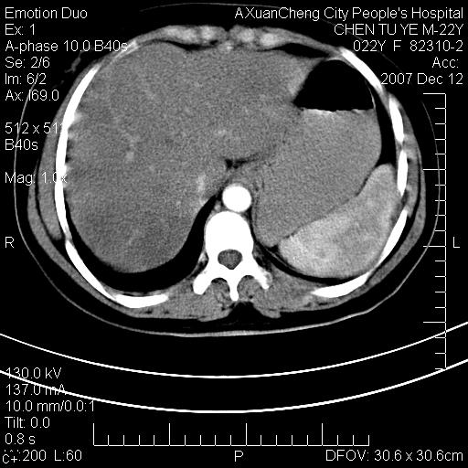
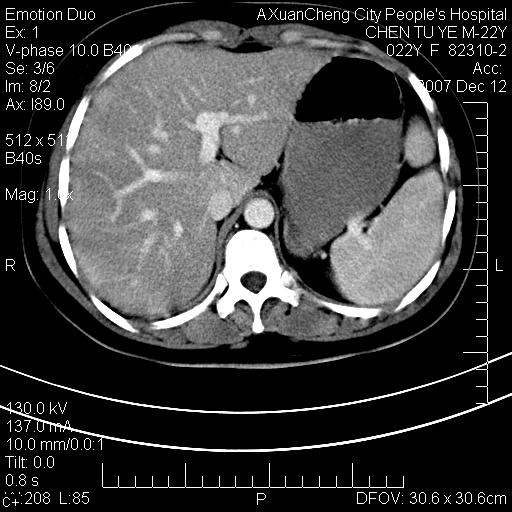
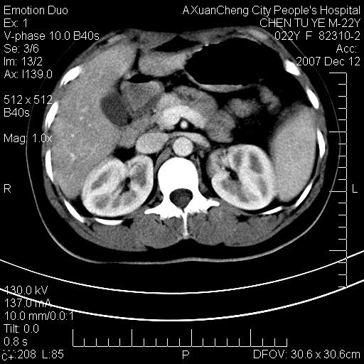
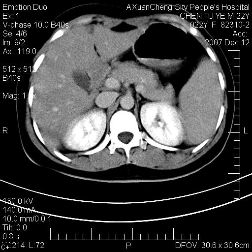
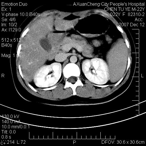
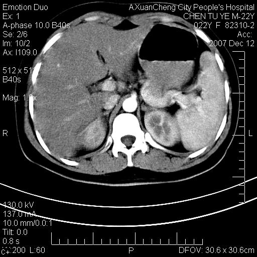
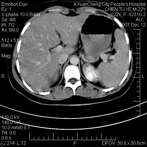
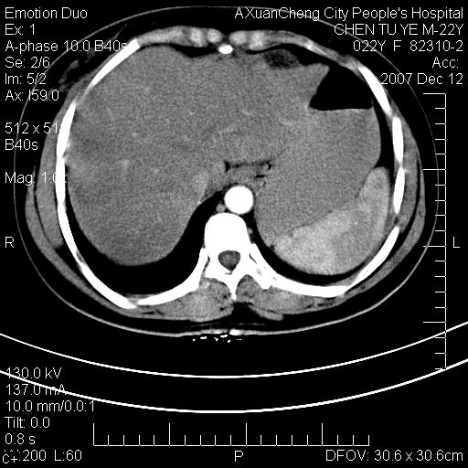
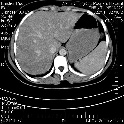
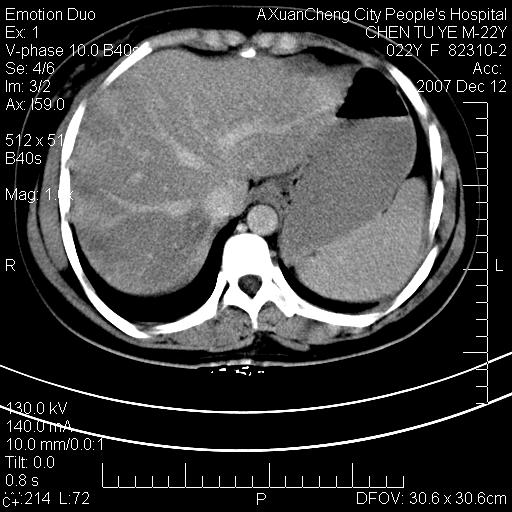
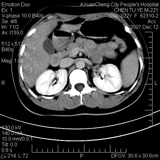
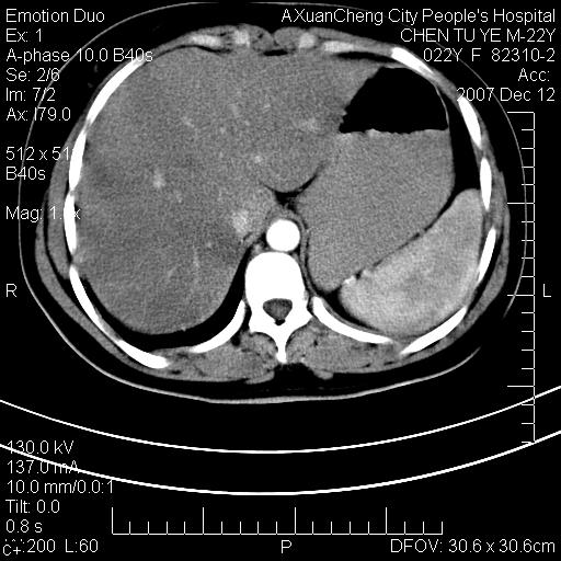
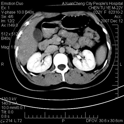
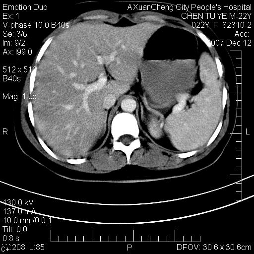
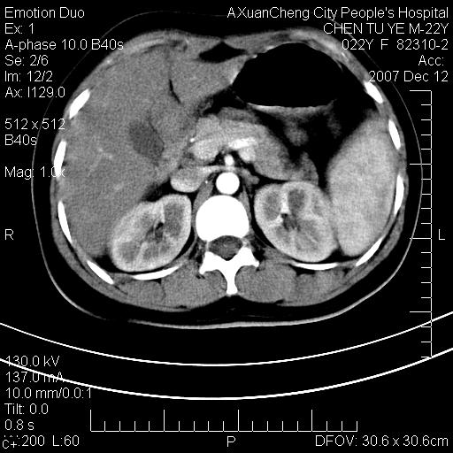
超声提示肝右前叶占位,约2.5cm.
各位战友看看病灶在什么地方,可是右前叶进肝裂部低密度影,平扫ct值约10以下,增强后增高明显






























[本贴已被 翁志蓬 于 2007-12-12 20:34:00 修改过]

作者: yanghaochen88    时间: 2007-12-13 01:23
没事.
作者: happyverycd    时间: 2007-12-13 01:54
标题: 回复:肝占位?

作者: chinazhouhua    时间: 2007-12-13 02:30
肝圆韧带
作者: wzr    时间: 2007-12-13 03:06
肝圆韧带
作者: xulianj    时间: 2007-12-13 03:07
没有异常发现
作者: wangjj555    时间: 2007-12-13 03:11
应该不是问题吧
作者: 沙漠骆驼    时间: 2007-12-13 03:12
1 脾大,慢性肝损伤. 2 肝脏脂肪侵润.  3 你所指的部位疑点,我没看出有问题.
作者: 宝天曼    时间: 2007-12-13 03:55
应该不是问题吧
作者: dyqct    时间: 2007-12-13 04:05
怎么没有平扫。
脂肪肝。运动伪影。
作者: wqs571018    时间: 2007-12-13 04:11
应该不是问题。
作者: 拾荒者    时间: 2007-12-13 04:17
脂肪肝.楼主所指部位不考虑异常,为肝圆韧带影.
作者: 求知若渴    时间: 2007-12-13 04:19
把钱捐给做不起强化的病人吧.
作者: gdxiaozhe    时间: 2007-12-13 04:40
1 脾大,慢性肝损伤. 2 肝脏脂肪侵润.
作者: yugongyishan    时间: 2007-12-13 04:46
脂肪肝,脾大
作者: lirenxiong    时间: 2007-12-13 05:31
平扫与增强ct值差>10hu的话,应该列为高度疑似病例,我们的职责就是不能放过这样小的病灶.再次b超对比
确定是否同一病灶!运到伪影我坚决反对!
作者: zjzjr    时间: 2007-12-13 05:53
重度脂肪肝.
作者: wy232326    时间: 2007-12-13 17:33
应该不是问题吧
作者: zsl6918    时间: 2007-12-13 18:50
不均匀脂肪浸润,版主所说的病灶为肝园韧带服着点。
作者: hkdy1029    时间: 2007-12-13 22:26
考虑肝圆韧带。
作者: zyx168    时间: 2007-12-22 06:29
脂肪肝,
作者: yxwsd    时间: 2007-12-22 06:38
像是病灶,再做b超吧。
作者: dr.yang    时间: 2011-11-13 10:00
怎么没有平扫。
脂肪肝。运动伪影。




欢迎光临 医影在线 (http://bbs.radida.com/bbs/) Powered by Discuz! X3.2