














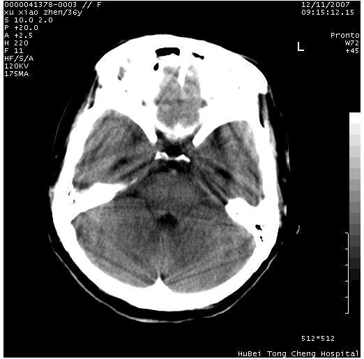
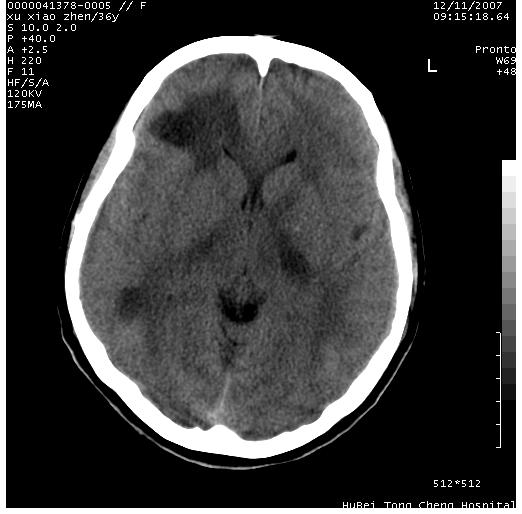
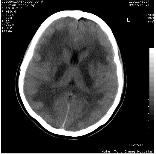
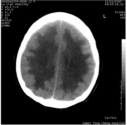
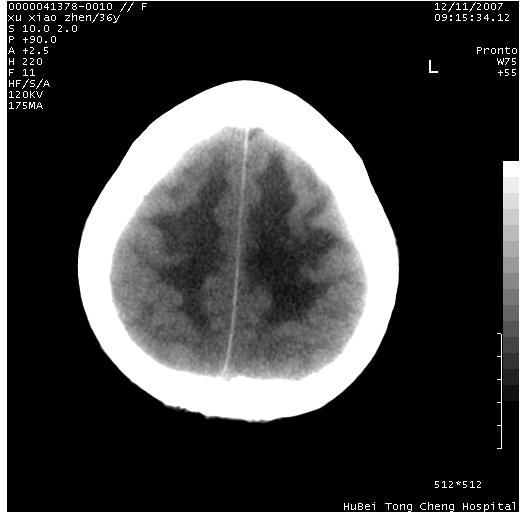
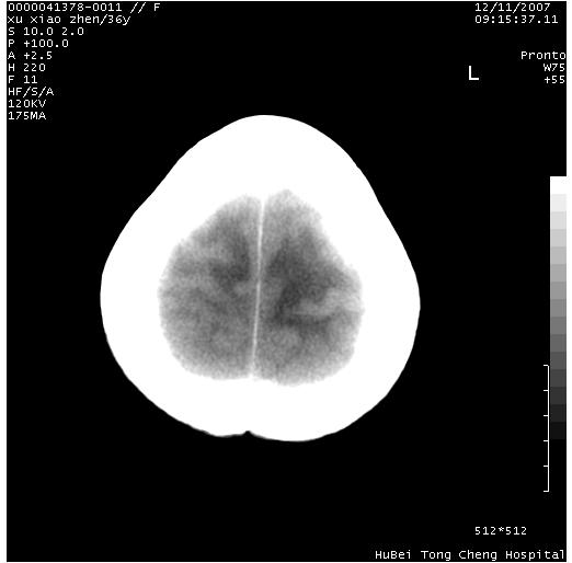
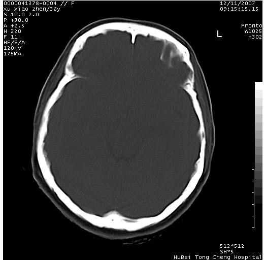
以下是引用wzr在2007-12-12 18:58:00的发言:[br]以脑白质受累,脑肿胀明显,脑室变窄,多考虑炎性改变,建议进一步ce或mri明确.
以下是引用wqs571018在2007-12-12 19:48:00的发言:[br]脑白质受累,脑肿胀明显,脑室变窄,多考虑炎性改变,脑膜炎可能性大;建议mri明确.。
以下是引用wqs571018在2007-12-12 19:48:00的发言:[br]脑白质受累,脑肿胀明显,脑室变窄,多考虑炎性改变,脑膜炎可能性大;建议mri明确.。
以下是引用wqs571018在2007-12-12 19:48:00的发言:[br]脑白质受累,脑肿胀明显,脑室变窄,多考虑炎性改变,脑膜炎可能性大;建议mri明确.。
| 欢迎光临 医影在线 (http://bbs.radida.com/bbs/) | Powered by Discuz! X3.2 |