

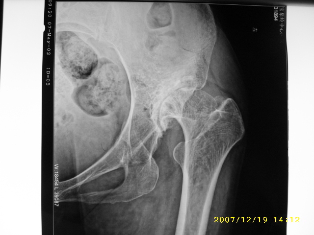
以下是引用逸风在2007-12-19 16:34:00的发言:[br]左侧髋关节间隙变窄,关节面硬化,其下方可见小囊状影,髋臼相对较浅,股骨头未见明显变形,关节面未见塌陷改变;考虑成人髋臼发育不良性骨关节病。
以下是引用逸风在2007-12-19 16:34:00的发言:[br]左侧髋关节间隙变窄,关节面硬化,其下方可见小囊状影,髋臼相对较浅,股骨头未见明显变形,关节面未见塌陷改变;考虑成人髋臼发育不良性骨关节病。
以下是引用逸风在2007-12-19 16:34:00的发言:[br]左侧髋关节间隙变窄,关节面硬化,其下方可见小囊状影,髋臼相对较浅,股骨头未见明显变形,关节面未见塌陷改变;考虑成人髋臼发育不良性骨关节病。
以下是引用逸风在2007-12-19 16:34:00的发言:[br]左侧髋关节间隙变窄,关节面硬化,其下方可见小囊状影,髋臼相对较浅,股骨头未见明显变形,关节面未见塌陷改变;考虑成人髋臼发育不良性骨关节病。
| 欢迎光临 医影在线 (http://bbs.radida.com/bbs/) | Powered by Discuz! X3.2 |