医影在线
标题: CT10994:右附件区域病变。 [打印本页]
作者: 狙击手    时间: 2007-12-22 04:19
标题: CT10994:右附件区域病变。
(结果公布:http://www.radida.com/bbs/forum.php?mod=viewthread&tid=33006)
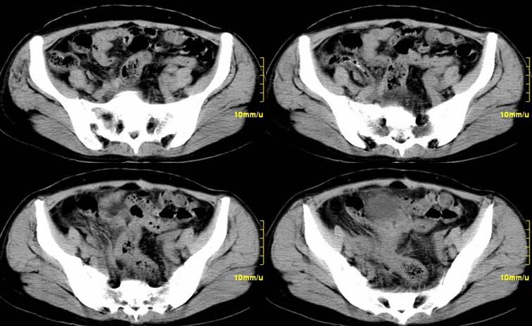
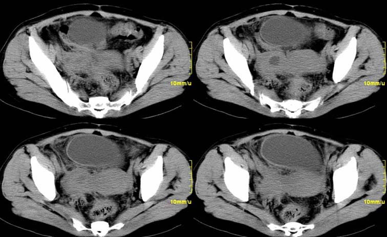
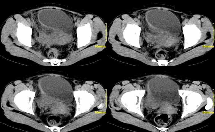
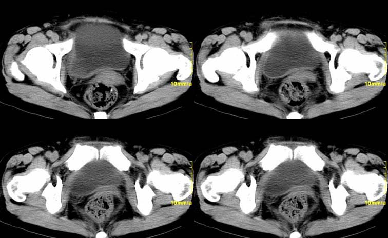
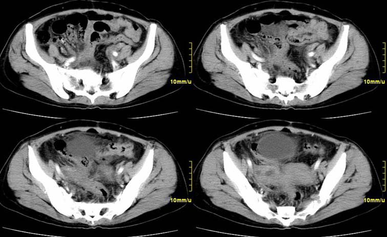
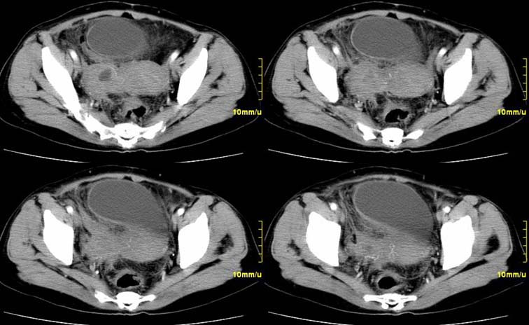
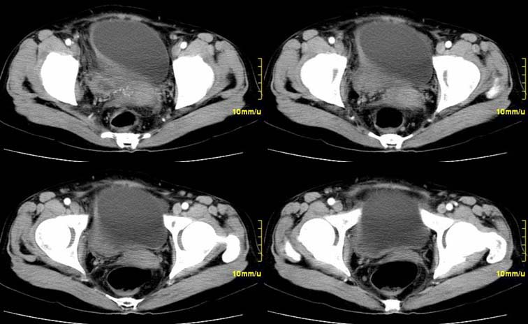
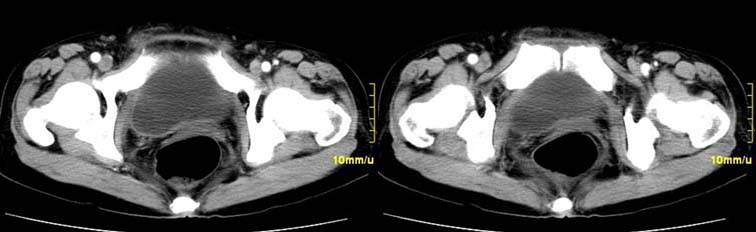
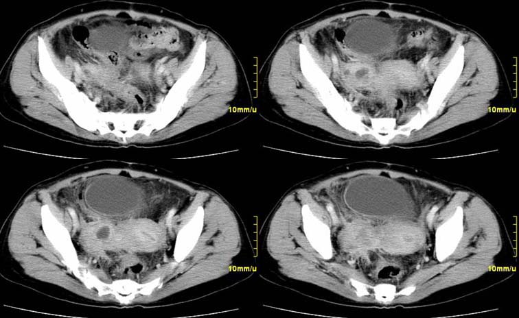
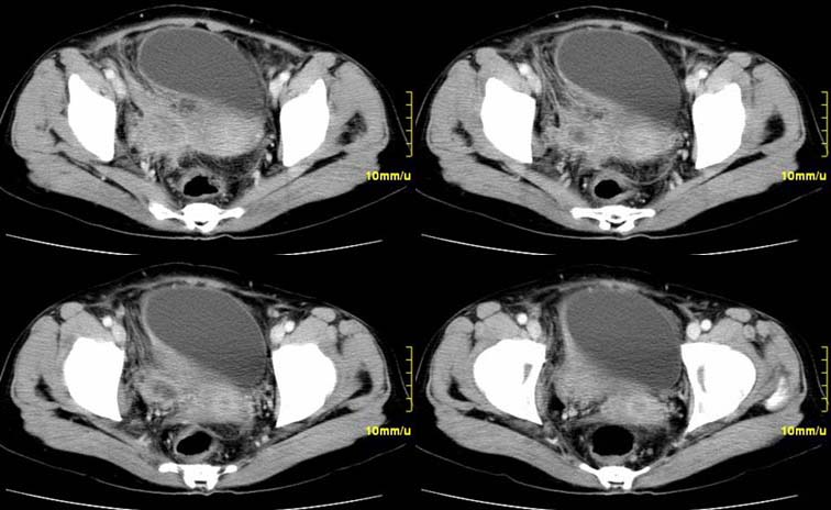
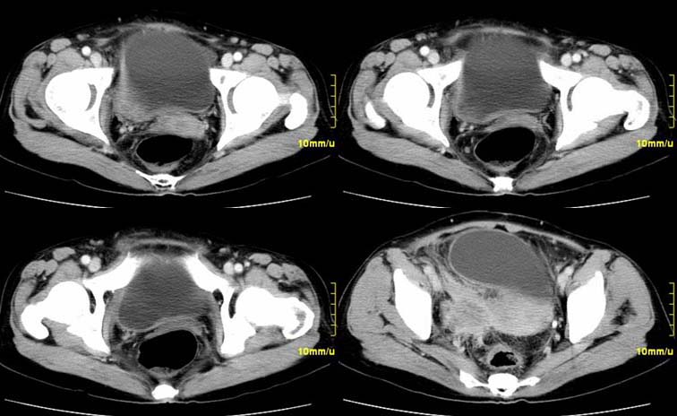
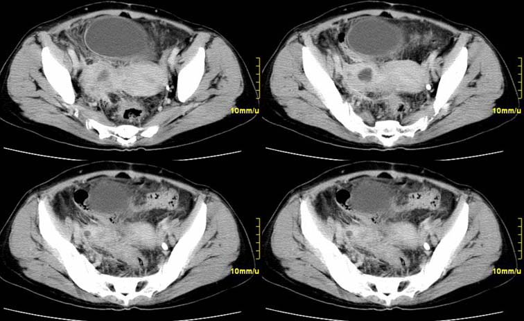
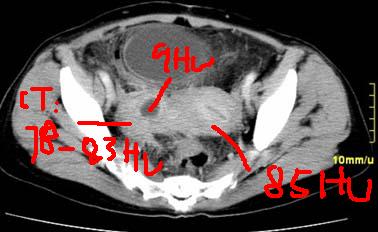
患者,52,右下腹疼痛一月,当时有发热,抗炎治疗20余天,至今仍疼痛,且有低热。





增强








[本贴已被 jiajie 于 2007-12-25 12:56:36 修改过]
作者: mzh123    时间: 2007-12-22 04:40
子宫 肌瘤
作者: guanaishengming    时间: 2007-12-22 04:50
象不象炎性包裹,中心部位为坏死液化区
作者: 卜一    时间: 2007-12-22 04:57
盆腔脓肿——实质性团块,界限尚清,与子宫关系密切,中心坏死。
作者: liaizhi    时间: 2007-12-22 05:25
右附件区软组织包块,内囊变坏死,边缘模糊,与子宫,与膀胱分界不清,增强强化与子宫密度相近.盆腔内无肿大淋巴结考虑炎性包块可能性大。
作者: lijifeng5432    时间: 2007-12-22 05:45
右附件区软组织包块,内囊变坏死,边缘模糊,与子宫,与膀胱分界不清,增强强化与子宫密度相近.盆腔内无肿大淋巴结考虑炎性包块可能性大。
作者: zyyzzy    时间: 2007-12-22 05:52
右附件区软组织包块,内可见坏死,边界不清,周围软组织及脂肪组织可见密度增高,膀胱右侧壁增厚,并且呈膨胀不全的改变,考虑炎性包裹,不知道有没有手术史??
作者: xulianj    时间: 2007-12-22 05:53
考虑炎性包块可能性大
作者: 龙刚    时间: 2007-12-22 07:42
卵巢脓肿可能性大
作者: zjzjr    时间: 2007-12-22 17:01
右侧附件区脓肿.
作者: wansheng    时间: 2007-12-22 18:07
考虑炎性包块可能性大
作者: qiushi    时间: 2007-12-22 21:11
考虑炎性包块,脓肿可能性大.
作者: wangdch2008    时间: 2007-12-22 21:17
右侧附件区炎性包块
作者: 捉水    时间: 2007-12-22 21:23
子宫?
作者: qiuleiyu    时间: 2007-12-22 22:10
支持;右侧附件区炎性包块.
作者: 九目段    时间: 2007-12-22 22:43
临床特点:
右下腹疼痛一月,当时有发热,抗炎治疗20余天,至今仍疼痛,且有低热,具有典型炎症的临床表现。
ct表现:
右侧附件见一肿块,边缘与周围组织分界不清,增强扫描见肿块明显强化,越到后期强化越明显,中央见坏死,内壁光整,与临近子宫壁、直肠及膀胱后壁均见炎症波及。这种厚壁肿块、内缘光整外缘模糊、增强扫描强化越后越强是附件脓肿典型的ct表现。
诊断:
右侧卵巢输卵管慢性脓肿,炎症波及临近子宫、直肠及膀胱形成粘连。
作者: 宝天曼    时间: 2007-12-23 04:27
右附件区软组织包块,内可见坏死,边界不清,周围软组织及脂肪组织可见密度增高,膀胱右侧壁增厚,并且呈膨胀不全的改变,考虑炎性包裹
作者: zhanghuaweii    时间: 2007-12-23 04:37
标题: 回复:ct10994:右附件区域病变。
以下是引用zjzjr在2007-12-22 9:01:00的发言:[br]右侧附件区脓肿.
作者: 拾荒者    时间: 2007-12-23 06:16
标题: 回复:ct10994:右附件区域病变。
以下是引用九目段在2007-12-22 14:43:00的发言:[br]临床特点:[br]右下腹疼痛一月,当时有发热,抗炎治疗20余天,至今仍疼痛,且有低热,具有典型炎症的临床表现。[br]ct表现:[br]右侧附件见一肿块,边缘与周围组织分界不清,增强扫描见肿块明显强化,越到后期强化越明显,中央见坏死,内壁光整,与临近子宫壁、直肠及膀胱后壁均见炎症波及。这种厚壁肿块、内缘光整外缘模糊、增强扫描强化越后越强是附件脓肿典型的ct表现。[br]诊断:[br]右侧卵巢输卵管慢性脓肿,炎症波及临近子宫、直肠及膀胱形成粘连。
谢谢!这几天帖子难度太大。象版主这样的应该多发言,好指点迷津。
作者: 天地睹狭    时间: 2007-12-23 07:23
标题: 回复:ct10994:右附件区域病变。
以下是引用九目段在2007-12-22 14:43:00的发言:[br]临床特点:[br]右下腹疼痛一月,当时有发热,抗炎治疗20余天,至今仍疼痛,且有低热,具有典型炎症的临床表现。[br]ct表现:[br]右侧附件见一肿块,边缘与周围组织分界不清,增强扫描见肿块明显强化,越到后期强化越明显,中央见坏死,内壁光整,与临近子宫壁、直肠及膀胱后壁均见炎症波及。这种厚壁肿块、内缘光整外缘模糊、增强扫描强化越后越强是附件脓肿典型的ct表现。[br]诊断:[br]右侧卵巢输卵管慢性脓肿,炎症波及临近子宫、直肠及膀胱形成粘连。
作者: jinguoji    时间: 2007-12-23 10:06
标题: 回复:ct10994:右附件区域病变。
以下是引用九目段在2007-12-22 14:43:00的发言:[br]临床特点:[br]右下腹疼痛一月,当时有发热,抗炎治疗20余天,至今仍疼痛,且有低热,具有典型炎症的临床表现。[br]ct表现:[br]右侧附件见一肿块,边缘与周围组织分界不清,增强扫描见肿块明显强化,越到后期强化越明显,中央见坏死,内壁光整,与临近子宫壁、直肠及膀胱后壁均见炎症波及。这种厚壁肿块、内缘光整外缘模糊、增强扫描强化越后越强是附件脓肿典型的ct表现。[br]诊断:[br]右侧卵巢输卵管慢性脓肿,炎症波及临近子宫、直肠及膀胱形成粘连。
作者: cai    时间: 2007-12-23 16:55
作者: tao772    时间: 2007-12-23 21:10
临床特点:
右下腹疼痛一月,当时有发热,抗炎治疗20余天,至今仍疼痛,且有低热,具有典型炎症的临床表现。
ct表现:
右侧附件见一肿块,边缘与周围组织分界不清,增强扫描见肿块明显强化,越到后期强化越明显,中央见坏死,内壁光整,与临近子宫壁、直肠及膀胱后壁均见炎症波及。这种厚壁肿块、内缘光整外缘模糊、增强扫描强化越后越强是附件脓肿典型的ct表现。
诊断:
右侧卵巢输卵管慢性脓肿,炎症波及临近子宫、直肠及膀胱形成粘连。
分析的很好啊,学习了。
作者: gedong    时间: 2007-12-23 22:14
考虑炎性包块可能大
作者: 琥珀人    时间: 2007-12-25 00:55
下是引用九目段在2007-12-22 14:43:00的发言:
临床特点:
右下腹疼痛一月,当时有发热,抗炎治疗20余天,至今仍疼痛,且有低热,具有典型炎症的临床表现。
ct表现:
右侧附件见一肿块,边缘与周围组织分界不清,增强扫描见肿块明显强化,越到后期强化越明显,中央见坏死,内壁光整,与临近子宫壁、直肠及膀胱后壁均见炎症波及。这种厚壁肿块、内缘光整外缘模糊、增强扫描强化越后越强是附件脓肿典型的ct表现。
诊断:
右侧卵巢输卵管慢性脓肿,炎症波及临近子宫、直肠及膀胱形成粘连。
作者: yixianman001011    时间: 2007-12-26 03:23
病变定位在右侧附件,肿块内见有低密度灶,周围结构模糊,增强肿块实质部分明显强化,因患者起病有发烧,故首先考虑右侧附件炎性包块并脓肿形成,不除外以实质部分为主的不典型卵巢癌的可能。
作者: 随光逐影    时间: 2007-12-26 03:53
符合右侧附件区炎性包块改变。
作者: wy232326    时间: 2007-12-26 04:41
符合右侧附件区炎性包块改变。
学习了
作者: dyqct    时间: 2007-12-27 00:09
易混摇的病例。
| 欢迎光临 医影在线 (http://bbs.radida.com/bbs/) | 
Powered by Discuz! X3.2 |