医影在线

标题: CT11005:男,40岁,左股骨骨折术后10余天,现在感右上腹痛。 [打印本页]

作者: ydx_74    时间: 2007-12-22 22:01
标题: CT11005:男,40岁,左股骨骨折术后10余天,现在感右上腹痛。
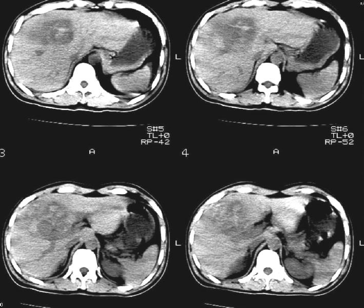
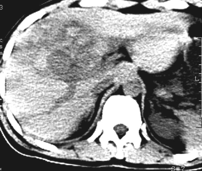
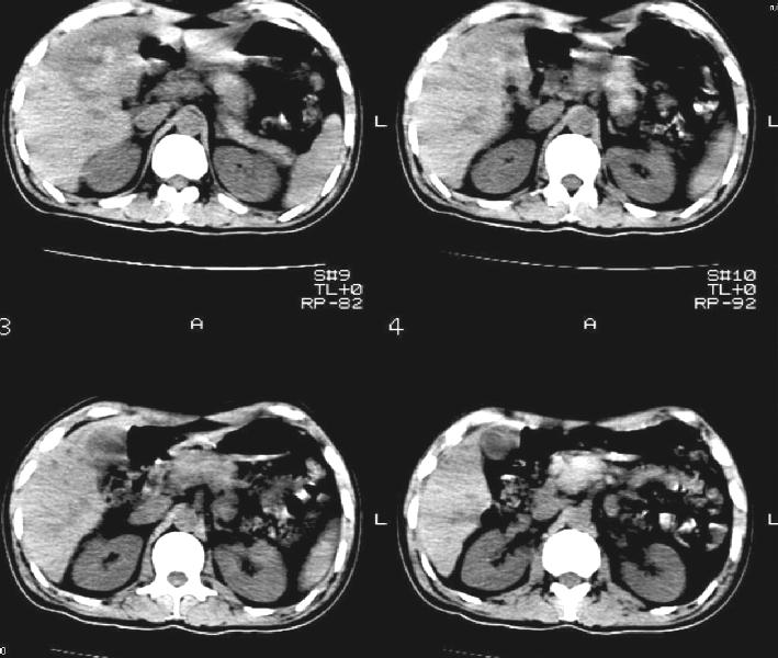
b超:右前叶不均质占位。是肿瘤出血还是肝挫伤?以前没有症状啊,10多天后腹部才疼痛。







[本贴已被 jiajie 于 2007-12-22 19:18:32 修改过]

作者: zjzjr    时间: 2007-12-22 23:34
肝挫裂伤伴血肿形成.
作者: LIAOQIANG    时间: 2007-12-22 23:38
右侧胸腔积液,又有外伤史,肝脏混杂密谋影,考虑肝挫伤可能性大.
作者: 312nanyang    时间: 2007-12-22 23:39
肝右叶脓肿可能,请结合临床或增强检查
右侧胸水(外伤性胸膜炎?)
作者: xulianj    时间: 2007-12-23 00:19
肝挫裂伤伴血肿形成.支持
作者: qiushi    时间: 2007-12-23 01:07
右侧胸腔积液,又有外伤史,肝脏混杂密度影,考虑肝钝性挫伤可能性大。
           建议增强扫描
作者: dyqct    时间: 2007-12-23 01:11
标题: 回复:男,40岁,左股骨骨折术后10余天,现在感右上腹痛
以下是引用zjzjr在2007-12-22 15:34:00的发言:[br]肝挫裂伤伴血肿形成.

支持!!另外有右侧胸腔积液。
作者: zhangkai    时间: 2007-12-23 01:43
结合病史考虑肝挫伤。
作者: 随光逐影    时间: 2007-12-23 01:50
结合病史,考虑为:肝挫裂伤。建议:追踪复查。
作者: shiqingfa    时间: 2007-12-23 02:42
肝挫裂伤伴血肿形成.支持
作者: 前行    时间: 2007-12-23 02:55
建议mr检查
作者: liuhongling234    时间: 2007-12-23 03:40
标题: 回复:ct11005:男,40岁,左股骨骨折术后10余天,现在感右上
以下是引用liaoqiang在2007-12-22 15:38:00的发言:[br]右侧胸腔积液,又有外伤史,肝脏混杂密谋影,考虑肝挫伤可能性大.建议增强进一步检查

作者: 宝天曼    时间: 2007-12-23 04:02
右侧胸腔积液,又有外伤史,肝脏混杂密度影,考虑肝钝性挫伤可能性大。
           建议增强扫描
作者: zyyzzy    时间: 2007-12-23 04:12
结合病史,考虑为:肝挫裂伤。建议复查。
作者: 卜一    时间: 2007-12-23 04:27
肝挫裂伤伴血肿形成.支持!另:外伤性胸腔积液!
作者: wei98ying    时间: 2007-12-23 06:12
肝挫裂伤伴血肿形成.右侧胸腔积液。建议复查.
作者: 拾荒者    时间: 2007-12-24 05:01
以下是引用liaoqiang在2007-12-22 15:38:00的发言:
右侧胸腔积液,又有外伤史,肝脏混杂密谋影,考虑肝挫伤可能性大.建议增强进一步检查
作者: 琥珀人    时间: 2007-12-26 17:57
肝挫裂伤伴血肿形成.右侧胸腔积液。建议复查.




欢迎光临 医影在线 (http://bbs.radida.com/bbs/) Powered by Discuz! X3.2