医影在线

标题: PED0514双胞胎,1岁10个月,走路不稳。 [打印本页]

作者: ydx_74    时间: 2007-12-22 22:43
标题: PED0514双胞胎,1岁10个月,走路不稳。
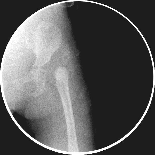
老二:













[本贴已被 jiajie 于 2007-12-22 20:18:09 修改过]

作者: ydx_74    时间: 2007-12-22 22:45
标题: 回复:双胞胎,1岁10个月,走路不稳。
有什么好的办法吗?等到2岁半手术,不手术可以吗?
作者: dyqct    时间: 2007-12-23 01:28
为什么两个都一样?双胞胎吗!!
作者: 随光逐影    时间: 2007-12-23 03:48
先天性左侧髋关节脱位。
作者: 平安是福    时间: 2007-12-23 05:12
考虑左髋关节先性脱位。
作者: liaizhi    时间: 2007-12-23 05:21
左侧先天性髋关节脱位.
作者: wuxin7374    时间: 2007-12-23 06:57
应该是典型的先髋。蛙式复位就可以了,何必ct呢。
作者: zjzjr    时间: 2007-12-23 17:40
左侧先天性髋关节脱位.
作者: 卜一    时间: 2007-12-23 18:25
先天性左侧髋关节脱位。
作者: wei98ying    时间: 2007-12-23 18:51
先天性左侧髋关节脱位。
作者: 黑白光影    时间: 2007-12-23 21:41
先天性左侧髋关节脱位
作者: qiuleiyu    时间: 2007-12-23 21:42
支持;先天性髋关节脱位.
作者: 同    时间: 2007-12-23 23:21
支持先天性左侧髋关节脱位.
作者: clj20    时间: 2007-12-24 19:40
支持先天性左侧髋关节脱位.
作者: muzi888    时间: 2007-12-24 20:06
左侧先天性髋关节脱位.典型!
作者: jiangjing    时间: 2007-12-24 21:44
先天性左侧髋关节脱位。
作者: LIAOQIANG    时间: 2007-12-24 23:23
左侧先髋。
作者: hexue    时间: 2007-12-25 01:18
标题: 回复:ped0514双胞胎,1岁10个月,走路不稳。
左侧先天性髋关节脱位.
作者: zhangxiangjun    时间: 2007-12-26 06:12
支持大家的观点。统一!
作者: zyx168    时间: 2007-12-27 07:00
考虑左髋关节先性脱位。




欢迎光临 医影在线 (http://bbs.radida.com/bbs/) Powered by Discuz! X3.2