医影在线
标题: CT11015:M19Y,请教 胸部平扫 [打印本页]
作者: xg410 时间: 2007-12-23 18:07
标题: CT11015:M19Y,请教 胸部平扫
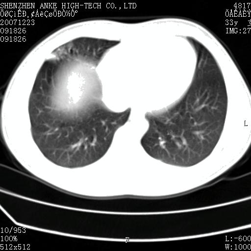
患者:男,19岁,长期咳嗽,咯血3年余,近2月渐渐感觉右侧胸部涨痛不适.2年前胸片见右下肺见片状高密度影,长期抗炎治疗无明显效果.痰菌培养阴性.


































[本贴已被 jiajie 于 2007-12-23 11:21:54 修改过]
作者: 卜一 时间: 2007-12-23 18:20
右下肺片状实变影,,密度不均,内见含气支气管征及柱状支气管扩张。多考虑:右下肺支气管扩张伴感染!
作者: 宇宙ct 时间: 2007-12-23 18:50
右肺中叶的支扩合并感让
作者: 探路者 时间: 2007-12-23 19:01
右肺中叶外侧段大片状高密度影影内可见小圆形透亮影;右肺中叶支扩伴感染。
作者: 光线 时间: 2007-12-23 19:08
支持以上意见
作者: tao772 时间: 2007-12-23 20:53
考虑右肺中叶支扩合并感染。
作者: 胡宇 时间: 2007-12-23 21:10
右肺中叶外侧段大片状高密度影影内可见小圆形透亮影;右肺中叶支扩伴感染。
作者: zjzjr 时间: 2007-12-23 22:03
右肺中叶外侧段大片状高密度影影内可见小圆形透亮影;右肺中叶支扩伴感染。
作者: xulianj 时间: 2007-12-23 22:22
右肺中叶外侧段大片状不均匀性高密度影影内可见小圆形透亮影;右肺中叶支扩伴感染可能。
作者: dyqct 时间: 2007-12-23 22:47
标题: 回复:ct11015:m19y,请教 胸部平扫
以下是引用卜一在2007-12-23 10:20:00的发言:[br]右下肺片状实变影,,密度不均,内见含气支气管征及柱状支气管扩张。多考虑:右下肺支气管扩张伴感染!
支持!!
作者: 同 时间: 2007-12-23 22:57
考虑右肺中叶支扩伴感染.
作者: qiuleiyu 时间: 2007-12-23 23:39
右肺中叶支扩伴感染可能大,不除外结核.
作者: ydx_74 时间: 2007-12-24 00:12
右肺中叶支扩伴感染
作者: andymaomao 时间: 2007-12-24 00:22
支持考虑支扩伴感染可能。
作者: wxy7406 时间: 2007-12-24 00:48
建议ppd试验,除外结核,虽不是结核的好发部位,但随着结核的发病率增高,非好发部位结核的发病率也越来越多,且该患者抗炎效果不佳。
作者: 一剑飘红 时间: 2007-12-24 02:14
影像表现结合病史,符合支扩并肺部感染
作者: shenhs 时间: 2007-12-24 02:31
右肺中叶支扩伴感染可能。
支持
作者: 拾荒者 时间: 2007-12-24 06:07
右肺中叶支扩伴感染可能大,不除外结核.支持!毕竟病灶抗炎治疗效果不佳,结合ppd检查,多考虑些没坏处。
作者: caoyuanlang 时间: 2007-12-24 06:18
右下肺片状实变影,密度不均,内可见含气支气管征及拄状支气管扩张.多考虑:右下肺支气管扩张伴感染.
作者: 宁娃 时间: 2007-12-24 18:56
支持右下肺支气管扩张伴感染!
作者: lirenxiong 时间: 2007-12-24 19:07
右肺中叶支扩伴感染可能大,不除外结核.支持!毕竟病灶抗炎治疗效果不佳,结合ppd检查,多考虑些没坏处。
作者: zyx168 时间: 2007-12-26 06:52
考虑右肺中叶支扩合并感染。
| 欢迎光临 医影在线 (http://bbs.radida.com/bbs/) |
Powered by Discuz! X3.2 |