医影在线

标题: CT11016:M63Y,上腹部平扫 [打印本页]

作者: xg410    时间: 2007-12-23 18:20
标题: CT11016:M63Y,上腹部平扫
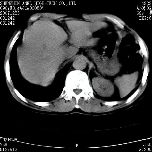
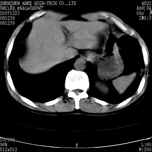
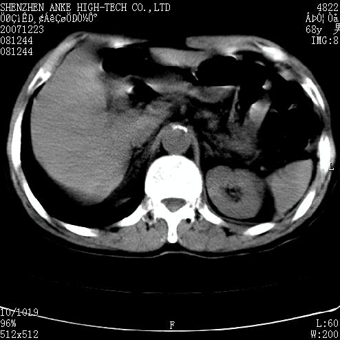
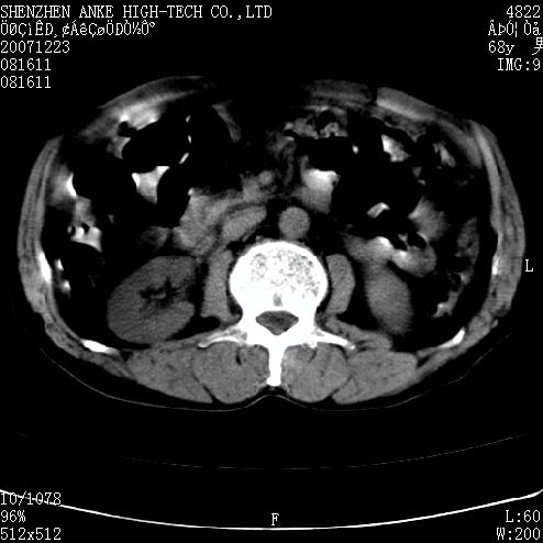
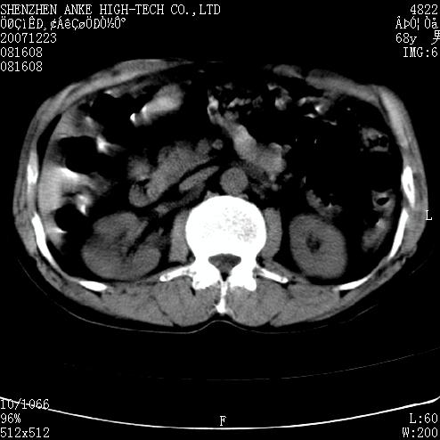
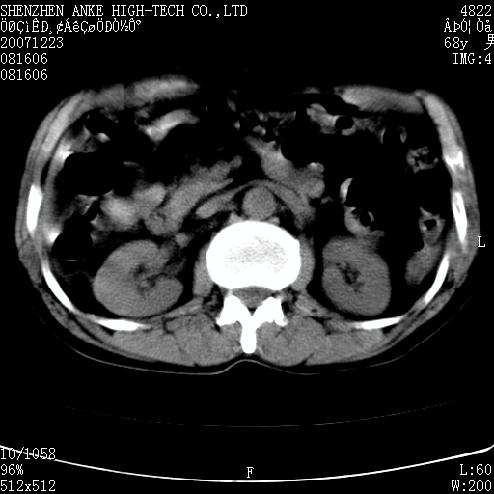
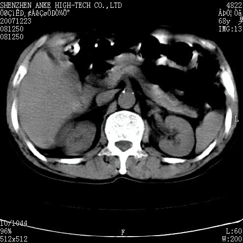
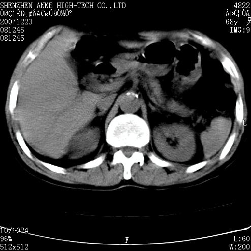
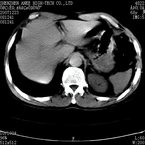
患者:男,63岁,2年前胆囊切除术后,现右上腹部剧烈疼痛近2天.

































[本贴已被 jiajie 于 2007-12-23 11:23:36 修改过]

作者: 宇宙ct    时间: 2007-12-23 18:58
什么意思?
作者: 光线    时间: 2007-12-23 19:05
有无外伤史?右肾包膜下血肿可疑。
作者: xg410    时间: 2007-12-23 19:25
标题: 回复:ct11016:m63y,上腹部平扫
主要是问右肾有没有问题?患者无明显外伤史.
作者: zjzjr    时间: 2007-12-23 22:02
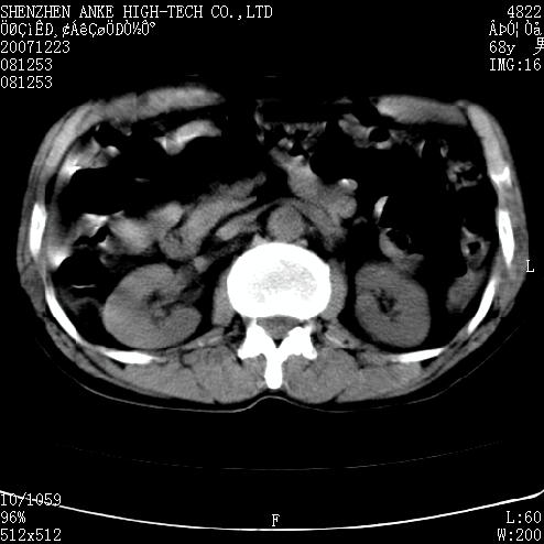
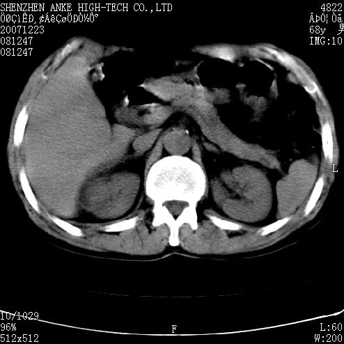
未见异常,病人差闭气,伪影较多.
作者: xulianj    时间: 2007-12-23 22:25
平扫未见明确异常
作者: dyqct    时间: 2007-12-23 22:46
上腹部ct平扫未见明显异常。
作者: 同    时间: 2007-12-23 23:01
肠管积气明显.
作者: ydx_74    时间: 2007-12-24 00:15
肠道准备不好,干扰影大。
作者: andymaomao    时间: 2007-12-24 00:20
肠道气体伪影干扰太大了,应该是干扰所致,未见明显异常。
作者: 悬壶济世    时间: 2007-12-24 00:37
标题: 回复:ct11016:m63y,上腹部平扫
以下是引用同在2007-12-23 15:01:00的发言:[br]肠管积气明显.

作者: 王仕学    时间: 2007-12-24 00:41
上腹部ct平扫未见明显异常。
作者: yy杨洋    时间: 2007-12-24 02:26
标题: 回复:ct11016:m63y,上腹部平扫
以下是引用王仕学在2007-12-23 16:41:00的发言:[br]上腹部ct平扫未见明显异常。

作者: 宇宙ct    时间: 2007-12-24 02:45
我也是看不出啥问题
作者: 拾荒者    时间: 2007-12-24 02:48
肠道准备不好,胃底后壁显示不清,右肾改变考虑为伪影。
作者: 国王    时间: 2007-12-24 04:04
上腹部ct平扫未见明显异常
作者: liuyue    时间: 2007-12-24 04:13
上腹部ct平扫未见明显异常。(肠道气体较多,患者呼吸了)
作者: wy232326    时间: 2007-12-24 04:27
平扫未见明确异常
作者: zsh0009    时间: 2007-12-24 04:30
平扫未见明确异常.
作者: 徐飞    时间: 2007-12-24 06:48
请看第一张正位片,胸主动脉象有扩张,胸主动脉瘤?
作者: 眼睛    时间: 2007-12-24 07:04
平扫未见明确异常
作者: 琥珀人    时间: 2007-12-24 22:19
上腹部ct平扫未见明显异常
作者: HARRY    时间: 2007-12-25 03:44
检查前最好叫病人喝些泛影葡胺,胃肠准备一下比较好
作者: zyx168    时间: 2007-12-26 06:50
平扫未见明确异常




欢迎光临 医影在线 (http://bbs.radida.com/bbs/) Powered by Discuz! X3.2